Cookie Consent byPrivacyPolicies.comEsthétique suite paro - Eugenol

Esthétique suite paro

Pierre logo clykpp - Eugenol
Denteo33

28/06/2022 à 23h29

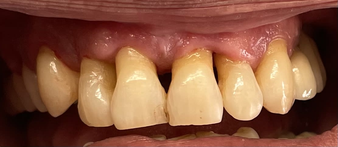
Juste pour montrer le cas realisé
Pas fier pourtant le patient est ravi

Sv5azrlxtr1hxjst3btiahrni7u5 - Eugenol
W2m7jfeigi0tuphc3ha22sxa5lz7 - Eugenol

Osaekomi

29/06/2022 à 07h14

Bonjour,
Je ne reviendrai pas sur l'étiologie du problème parodontal qui n'était pas l'objet de ta question.

D'un point de vue esthétique, c'est vrai qu'une dent triangulaire associée à une perte osseuse proximale, c'est pas terrible.

Pour ce genre de cas, si tu fais une facette, tu rentres tes toboggans proximaux bien en interdentaire pour aider le prothesiste à combler les trous noirs. Sinon en composite direct, le kit de matrice Black Triangle de bisico fait un job de ouf. Surtout que tu peux mettre une digue hyper facilement sur ces dents.

N'oublie pas de réévaluer la taille des brossettes avec ton patient !


12