Cookie Consent byPrivacyPolicies.com22 a remplacer, crête fine, conduite a tenir. - Eugenol

22 a remplacer, crête fine, conduite a tenir.

Utilisateur banni

03/04/2023 à 11h47

Hokusai écrivait:
-------
> une autre anomalie dans ce cas, donc vous avez fait le choix de poser les
> implants distaux en supra-osseux pour simplifier le cas afin d utiliser des
> piliers droits... mais a cote de ca fallait metttre en charge le jour de la pose
> ? quelle est l utilite ?
>
> pourquoi ne pas avoir pose des multiunit a 17º en profitant d un guide indexé
> pour les aligner parfaitement ??... ca aurait permis de poser convenablement les
> implants en juxta crestal... et dans un second temps la réalisation de la
> prothese.
>
> ca me semble bien plus intéressant de poser convenablement les implants que de
> mettre en charge immédiatement...

Hokusai écrivait:
-------
> posit écrivait:
> -----
> > Merci de nous faire part de ta grande expérience en implantologie
>
> mais y'a que toi postiti... "nous" n'existe pas...

Merci de nous faire part de ton experience en réhabilitation implantaire sur greffe de péroné.


Hok 1b hgd3rj - Eugenol
Hokusai

03/04/2023 à 12h43

posit écrivait:
-----
> Merci de nous faire part de ton experience

posit la seule chose que tu as "explique" ici c est les déformations sur les panoramiques qui ne s appliquent pas ici comme te l explique bouboule...

rien par exemple... sur le fait de chercher la stabilisation primaire dans les corticales... en posant des implants au col à conicité inversee... chapeau ;)


Utilisateur banni

03/04/2023 à 13h03

Hokusai écrivait:
-------
> posit écrivait:
> -----
> > Merci de nous faire part de ton experience
>
> posit la seule chose que tu as "explique" ici c est les déformations sur les
> panoramiques qui ne s appliquent pas ici comme te l explique bouboule...
>
> rien par exemple... sur le fait de chercher la stabilisation primaire dans les
> corticales... en posant des implants au col à conicité inversee... chapeau ;)

Comment tu expliques la disparition d'éléments anatomique sur cette pano ?

0hzmxxtdzoxfhn5lqt01sjcajqfi - Eugenol

Utilisateur banni

03/04/2023 à 18h02

bouboule écrivait:
--------
> Posit, je sais lire une coupe pano… et à moins que le plan de coupe fasse des
> zigzags entre les implants, il y a un endroit où les implants ne sont pas
> enfouis.
> Même remarque pour l’apex qui n’est pas dans la corticale basse. La déformation
> radio existe, celle de la pano aussi. Mais en aucun cas cette déformation ne
> peut expliquer que l’implant ne soit pas dans la corticale ET qu’il y ait
> pourtant une trace de forage. Ou alors t’as une pano farceuse qui fabrique des
> artefacts en forme de forêts…
> Merci de ne pas me prendre pour une truffe!!

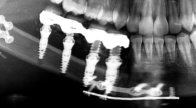
En suivant ton affirmation si le col des implants distaux ne sont pas enfouies les spires des implants mésiaux ont perforés la corticale. Pourquoi ses perforations ne sont pas apparentes en clinique ?

PS je te laisse pour ce que tu es !!

Sbhqx00eu5qc4xucrrsh1gt07rfd - Eugenol
N878vifvwvmvncl04tew6idas9wv - Eugenol

bouboule

03/04/2023 à 18h27

T’es magique!!!. Je pensais quand même que tu connaissais le principe d’une coupe pano et que tu essayais juste de noyer le poisson, mais vu la bêtise de ta question je comprends que non.
J’aurai pu te l’expliquer , mais vu le haut niveau de ton PS, en fait non, j’ai pas envie .
Quand je pense qu’il y a quelques mois je m’intéressais à ton travail… tu as inventé l’antipub avec tes saillies hargneuses, chapeau!


Vw campersurfvan bmnk1q - Eugenol
enlaye

03/04/2023 à 18h59

bon , en même temps ce n est pas Posit qui fore et pose les implants .
c est déjà bien qu il montre ce qu une équipe a fait .
et toi aussi , t es con , t aurais pas pu dire que tu t enfilais un suppo de fiser tous les matins ?? :-)


bouboule

03/04/2023 à 19h08

enlaye écrivait:
------
> bon , en même temps ce n est pas Posit qui fore et pose les implants .
> c est déjà bien qu il montre ce qu une équipe a fait .
> et toi aussi , t es con , t aurais pas pu dire que tu t enfilais un suppo de
> fiser tous les matins ?? :-)
Mais c’est ce que j’arrête pas de lui dire!! En vrai on s’en tape. Il est là à sortir des explications toutes plus fumeuses et grotesques les unes que les autres, tout ça pour essayer de clouer le bec à son copain.
L’image renvoyée est détestable. J’espère au moins pour lui qu eugenol est gratuit pour sa boite, sinon c’est grandiose .
C’est quoi un suppo de fiser? J’ai du mal à te suivre parfois enlaye ;-)


Utilisateur banni

03/04/2023 à 19h19

Ho enlaye, une pano c'est comme la plus belle fille du monde, elle ne donne que ce qu'elle peux!
Bien sur que sur cette pano le col des 2 implants distaux son bien supra osseux et les mésiaux et surtout le second infra-osseux mais indéniablement les spires apicales semble avoir perforés la corticale, alors !!!
Une pano est elle faite pour contrôler un volume ???
En montrant la partie de la greffe positionné en lingual il n'ya pas de perforation et de spires apparente, Pourquoi ???

X8d4mdxbzfn2q6e06chaf3jd373q - Eugenol

bouboule

03/04/2023 à 19h21

Va falloir d’urgence te mettre aux cours du soir avec toutes ces questions qui tournent dans ta tête


Utilisateur banni

03/04/2023 à 19h49

bouboule écrivait:
--------
> Va falloir d’urgence te mettre aux cours du soir avec toutes ces questions qui
> tournent dans ta tête

Stop bouboule, reprend le truc à la base. T'es partie sur affirmation d'hokusai :

"bin si tu trouves qu ils sont bien posés c est cool 👍
l implant le plus distal avec ces 5 spires en dehors de l os... chapeau l artiste.
une gestion de la profondeur de forage aux petits oignons..."..."t aurais du faire carriere chez pinder"

1 / Les spires c'est à l'apex > voila pourquoi la photo de la greffe montrant le coté où ces spires pourraient apparaitre
2/ Les spires des implants en mésial qui semblent perforer la corticale sur la pano ne le font pas en clinique et tu voudrais que je ne me pose pas de question ?
3 /si tu as une explication, je suis preneur parce que l'autre compte sur toi

Hokusai écrivait:
-------
> posit la seule chose que tu as "explique" ici c est les déformations sur les
> panoramiques qui ne s appliquent pas ici comme te l explique bouboule...


Dentarue

03/04/2023 à 20h38

CAP, le dernier de la classe.


Utilisateur banni

04/04/2023 à 07h34

Est-ce que vous pensez que c’est le chirurgien qui s’est raté ? Ou est-ce que c’est le guide de Posit qui est en cause ?

Parce que quand on regarde tout le reste ça a l’air parfaitement adapté (en ce qui concerne la greffe d’os).


Utilisateur banni

04/04/2023 à 07h39

vas savoir ?


Utilisateur banni

04/04/2023 à 07h48

bouboule écrivait:
--------
> T’as perdu l’usage de ton clavier? Et du coup ton encrage cortical bas, pour les
> deux du fond on fait pas? Tu t’enfonces . Je comprends pas pourquoi t’insistes

Parce que :
j'était présent lors de la pose
j'ai vu le moteur bloquer à 50nw
que l'enfouissement à été vérifié par le fenêtre du guide
que cet implant de 10 à été foré avec le foré de 11.5
que pour un cas comme celui là perdre l'ancrage par des spires qui arrachent la matière en butant sur la corticale compromettraient toute l'intervention
qu'hokusai a extrait un détail pour transformer la réalité et que tu l'as suivi sans prendre le temps d'analyser ou poser des questions avant de tirer des conclusions

Whneoctu3nbs52exmghokka8cwes - Eugenol

Dentarue

04/04/2023 à 07h55

C’est bien joli tout ça mais tu mens quand tu affirmes que les deux derniers implants sont ok.
Tu mens ou tu n’y connais rien, pas d’autre choix.
Tu mens et tu n’y connais rien ?


Utilisateur banni

04/04/2023 à 07h58

Quand j’y pense le chirurgien aurait pu poser des implants cylindriques par l’apex vu que le forage est traversant :) ça aurait été une « nouvelle » technique, on passe par le dessous de la mandibule :) (quoique ce type d’implants et ce type de chirurgie ça a déjà existé par le passé)

Cyyf42bfci9o1vls9evfouumwrtx - Eugenol

Dentarue

04/04/2023 à 08h00

C’est une illusion d’optique due à la différence de taille des flèches !
C’est bien connu, et le rouge ne fait qu’augmenter l’illusion.
J’en faisais beaucoup à l’école quand mes camarades apprenaient l’orthographe.


Dentarue

04/04/2023 à 08h03

S’il n’arrive pas à accepter une telle évidence, pour le covid c’est mort de chez mort.


Jack 2 wm3tqs - Eugenol
Treponem

04/04/2023 à 08h11

Etonnant qu'aucun de nos experts n'ait proposé le contre écrou à l'apex des implants, là, ça aurait de la gueule :)


Dentarue

04/04/2023 à 08h22

Ils y sont ! Tu ne sais juste pas lire une radio !


Utilisateur banni

04/04/2023 à 08h24

Glenn écrivait:
-----
> Bonjour posit,
> Étant donné que tu as un scan qui date d'un an après la chirurgie, tu pourrais
> montrer des coupes au niveau des implants postérieurs, ce qui permettrait de
> mettre les choses au clair.
> Voir même, rêvons un peu, de clore ce sujet.

J'espère que tu apprécies la perception de l'éclaircissement

0cg9pkew85u90ffuuf73jjox6i2y - Eugenol

Utilisateur banni

04/04/2023 à 08h27

Treponem écrivait:
--------
> Etonnant qu'aucun de nos experts n'ait proposé le contre écrou à l'apex des
> implants, là, ça aurait de la gueule :)

Tiens je vais te montrer un truc qui devrait te plaire : les implants de Small , on passe par le dessous de la mandibule :)

L6pyb54fv25arp5n1wjs2t5hvj8u - Eugenol

bouboule

04/04/2023 à 10h32

A touché le fond, mais creuse encore.


Utilisateur banni

04/04/2023 à 10h43

bouboule écrivait:
--------
> Posit, je sais lire une coupe pano… et à moins que le plan de coupe fasse des
> zigzags entre les implants, il y a un endroit où les implants ne sont pas
> enfouis.
> Même remarque pour l’apex qui n’est pas dans la corticale basse. La déformation
> radio existe, celle de la pano aussi. Mais en aucun cas cette déformation ne
> peut expliquer que l’implant ne soit pas dans la corticale ET qu’il y ait
> pourtant une trace de forage. Ou alors t’as une pano farceuse qui fabrique des
> artefacts en forme de forêts…
> Merci de ne pas me prendre pour une truffe!!

bouboule écrivait:
--------
> A touché le fond, mais creuse encore.
.
L'apex des implants sont dans la corticale.

Ro8lj9pjsqe3sa1zi4m0wfe7g361 - Eugenol

Dentarue

04/04/2023 à 10h48

Et les marmottes elles emballent le chocolat.


1...8910...