Cookie Consent byPrivacyPolicies.comTrop optimiste ? - Eugenol

Trop optimiste ?

FGUI

20/06/2022 à 18h48

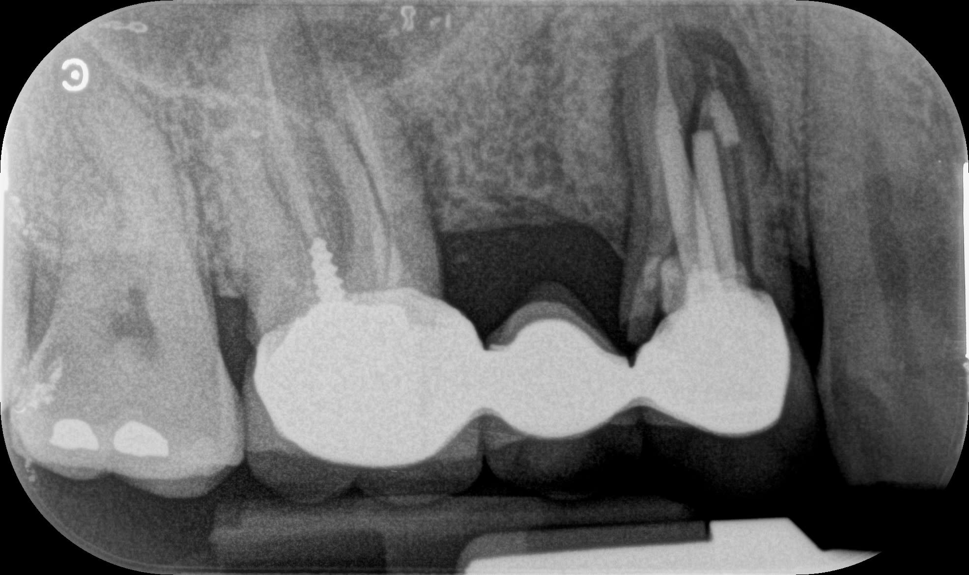
Un petit cas fini il y a deux ans, de l'omni pratique de bout en bout.
Est-ce bien raisonnable? ou trop de facteurs de risque.
Je me pose toujours la question.

Fuh5wq9tlhh0yywpdxzky5yv31qm - Eugenol
Dl5bnzknvvxvlmw2ufte1sqdph79 - Eugenol

Jf35

20/06/2022 à 20h10

Continue. Bravo.
Je pense que chez un spécialiste la molaire serait aujourd’hui un implant et pas une molaire avec une amputation radiculaire.
Sinon tu dors bien la nuit?


Android jyzura - Eugenol
Tavéca

20/06/2022 à 21h35

Bravo, très bien manager.
Il faudrait juste pour finir virer 18 et 48
Et pour ma part je n'aurais pas solidarisé.


Android jyzura - Eugenol
Tavéca

20/06/2022 à 21h37

doublon


moritooth

20/06/2022 à 21h49

Jolie gestion du cas.
Avec des implants courts au maxillaire, la solidarisation ne me choque pas, au contraire.
Mais au bout de 2 ans arrête les questions et soit fier de ton boulot !