Cookie Consent byPrivacyPolicies.comref implant - Eugenol

ref implant

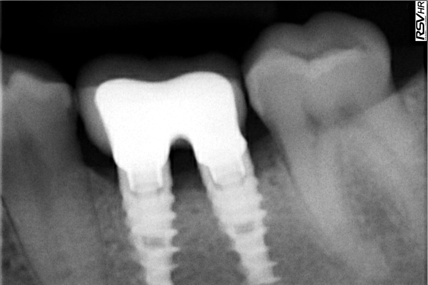
philippeg

23/06/2022 à 09h22

Bonjour ,
je recherche les ref de ces implants pour changer les vis ...l'une d'elle vient de casser , et le praticien a pris sa retraite ...
je pense que ça doit être un alpha bio mais pas sur !
tournevis tête hexa de 1.2 mm , longueur 8 mm
merci d'avance !
Philippe

5mdzdok7y4boy2hckqxs44e4sxhx - Eugenol
Htn0q9ki5ykynjj3c0udv21j8eyy - Eugenol

Photo pluton1b h9n4ea - Eugenol
pluton

23/06/2022 à 13h14

Oui, alphabio….vis en M 1.8


philippeg

23/06/2022 à 14h29

merci pluton , toujours aussi genial !
au plaisir
Philippe