Cookie Consent byPrivacyPolicies.comNon mais ça c'est pas bien, faut pas ! - Eugenol

Non mais ça c'est pas bien, faut pas !

Ulysse90

08/09/2025 à 20h11

Hokusai écrivait:
-------
> Prunelles écrivait:
> ---------
> >et de retirer tous
> > les PIR du fauteuil…
>
> bin c'est leur place unique...
> avec les cotons qui se prennent les sprays sur le plateau... miam.
>
> la pile de plateaux... bordel comme c'est dégueu... heuresement que le miroir
> est ensachetté... quelle idiotie.

Très important le petit kit miroir sonde précelle en sachet, ça inspiré confiance aux patients...


Gabzou

27/09/2025 à 02h39

Petit devis reçu récemment, je vous laisse apprécier la variété des actes, histoire de multiplier les fraudes plutôt que de facturer un bloc à 800 balles (je précise qiue ce n'est pas pour de l'AG au passage, juste une avulsion des 4 dds en ambulatoire sans traitement paro) . Ca c'est pas bien, faut pas.

Cza6r9i1pkxb80i4dctyv59x0n1b - Eugenol

Hok 1b hgd3rj - Eugenol
Hokusai

27/09/2025 à 06h53

oui du coup moi je fais plus les dds... j adresse.


bouboule

27/09/2025 à 12h55

Hokusai écrivait:
-------
> oui du coup moi je fais plus les dds... j adresse.

Idem. Et pourtant je fais de la chir. Je ne fais que les DDS des patients sur lesquels il y a autre chose à faire. Sinon j’envoie chez le stomatologue qui lui a le droit de se faire payer au juste prix.


Capture d  cran 2015 03 12 12.28 - Eugenol
chicot29

27/09/2025 à 13h39

Gabzou écrivait:
------
> Petit devis reçu récemment, je vous laisse apprécier la variété des actes,
> histoire de multiplier les fraudes plutôt que de facturer un bloc à 800 balles
> (je précise qiue ce n'est pas pour de l'AG au passage, juste une avulsion des 4
> dds en ambulatoire sans traitement paro) . Ca c'est pas bien, faut pas.

Les endos c'est pareil faut adresser. Du coup les endos sont over bookés. Les soins à 2 balles pour tous tu parles d'un résultat.

--
Dentiste qui en a plein le cul.


Hok 1b hgd3rj - Eugenol
Hokusai

27/09/2025 à 14h36

les endos c est pas pareil t as du NPC quand meme... y aurait possibilite de se rattraper avec du npc en chir je ferais les dds... mais au tarif secu c est juste impossible.

sauf si c est la cueillette et que j ai le temps... mais même la c est a perte.

a la place je fais des gouttières d alignement... comme les dermato qui font du détatouage.


king_zoulou

27/09/2025 à 16h14

LoL
1500 balles quatre sagesses même pas incluses mdrrrr


Bkrn47s83sbteqas8ocnwc4tsmqu - Eugenol
éponge magique

27/09/2025 à 18h07

On n'est pas dans le forum Eugénologie ici ?


Hok 1b hgd3rj - Eugenol
Hokusai

28/09/2025 à 07h14

king_zoulou écrivait:
-----------
> LoL
> 1500 balles quatre sagesses même pas incluses mdrrrr

y en a qui demande ça pour poser un implant qui montre en main tu poses en 15 min...


Ulysse90

28/09/2025 à 08h47

Hokusai écrivait:
-------
> king_zoulou écrivait:
> -----------
> > LoL
> > 1500 balles quatre sagesses même pas incluses mdrrrr
>
> y en a qui demande ça pour poser un implant qui montre en main tu poses en 15
> min...

Oui, c'est rigolo cette manie des dentistes de penser que la réelle valeur d'un acte dépend des honoraires qui peuvent être demandés pour le pratiquer.
Ça ne pose de problème à personne, par exemple, que l'implantologie ou l'orthodontie soient facturées 8 ou 10 fois ce qu'est facturée une endo sur une 17. Du coup, on voit tous les jours le résultat de ce grand cinéma sur les radio de nos nouveaux patients...
Taper sur les mecs qui cherchent des solutions, se mettent en danger, pour pratiquer des actes que personne d'autre ne veut faire, y compris à l'hôpital, c'est au mieux totalement con : récemment, un patient m'a raconté qu'un maxillo hospitalier lui aurait dit franco : "ça ne m'intéresse pas de vous extraire votre dent si je ne vous pose pas d'implant", imaginez un seul instant qu'un patient appelle le cdocd pour lui raconter un truc pareil venant d'un dentiste, le mec se ferait démonter, les médecins sont quand même moins cons en général, pas de cinéma comme les dentistes, les dentistes jouent une grossière comédie...


king_zoulou

28/09/2025 à 12h03

Hokusai écrivait:
-------
> king_zoulou écrivait:
> -----------
> > LoL
> > 1500 balles quatre sagesses même pas incluses mdrrrr
>
> y en a qui demande ça pour poser un implant qui montre en main tu poses en 15
> min...

Bah c’est completement con aussi.
La chir exclu du cabinet prend 700 tout compris les quatre sagesses incluses (30 minutes de boulot, pratiquement zéro coût matériel)
Et 800 boules la pose d’un implant simple.


bouboule

28/09/2025 à 12h31

king_zoulou écrivait:
-----------
> Hokusai écrivait:
> -------
> > king_zoulou écrivait:
> > -----------
> > > LoL
> > > 1500 balles quatre sagesses même pas incluses mdrrrr
> >
> > y en a qui demande ça pour poser un implant qui montre en main tu poses en 15
> > min...
>
> Bah c’est completement con aussi.
> La chir exclu du cabinet prend 700 tout compris les quatre sagesses incluses (30
> minutes de boulot, pratiquement zéro coût matériel)
> Et 800 boules la pose d’un implant simple.


Bah si on suit ta logique c’est complètement con aussi! 700 balles les 30 minutes soit 1400€ de l’heure avec quasi zéro matos, c’est très au delà du tarif conventionnel c’est une honte :-) Et encore heureux que l’implant ne soit qu’à 800€!! Un exclu ne fait quasi que du soin qui marge, et chez toi manifestement, pour le peu d’acte non rentables, vu ce que t’écris il fait des dépassements … (700 boules!!).

J’ai jamais compris cette manie de commenter les tarifs du voisin. Si ça lui chante de mettre ses DDS à 2000, grand bien lui fasse. Dans un monde qui fonctionne correctement, la hausse des tarifs s’arrête quand la demande se barre. Et c’est d’autant plus rigolo que quelque soit les tarifs qu’on pratique on hésite jamais à cracher sur le collègue.

Tu en es un bonne exemple King. Tu glousses en donnant le taro chez toi ( certes deux fois moindre) mais celui ci est toujours 2 fois supérieur à celui de bon nombre de voisins qui à leur tour pourraient venir glousser.
Si chacun se contentait de faire son boulot à peu près correctement, tout irait vachement mieux.

Il m’arrive de voir des devis monstrueusement plus coûteux que chez moi. Quand les patients me demandent ce que j’en pense, ma réponse est invariable: la seule chose qui compte c’est que le boulot soit fait correctement et que vous ayez le choix d’y consentir de manière éclairée. Quand c’est mal fait c’est toujours trop cher. Quand tout est nickel, le tarif n’a que peu d’importance.
Peut être que là bas le collègue est plus rapide que moi, plus efficace ou même offre un café en salle d’attente avec deux ou trois assistantes. Peut être aussi qu’il a un relationnel incroyable, peu importe. Je propose mon plan de traitement, mon devis et au patient de choisir!


O1axgfa3wz9a4zf6qedj9s4gj223 - Eugenol
ELGY

28/09/2025 à 17h27

bouboule écrivait:
--------

> Peut être que là bas le collègue est plus rapide que moi, plus efficace ou même
> offre un café en salle d’attente avec deux ou trois assistantes.


Non t'as pas tout compris....Il passe pas son temps à venir baver ici.


P2eqdh3csim6s7nb09ktdq3e7ev8 - Eugenol
barbabapat

29/09/2025 à 20h50



https://www.armes-ufa.com/spip.php?article3822

Une nouvelle loi à la con. On est sauvé les politique ont fait une connerie de plus.


Et7jtaj0pdi18gzjlxjiamlx15gs - Eugenol
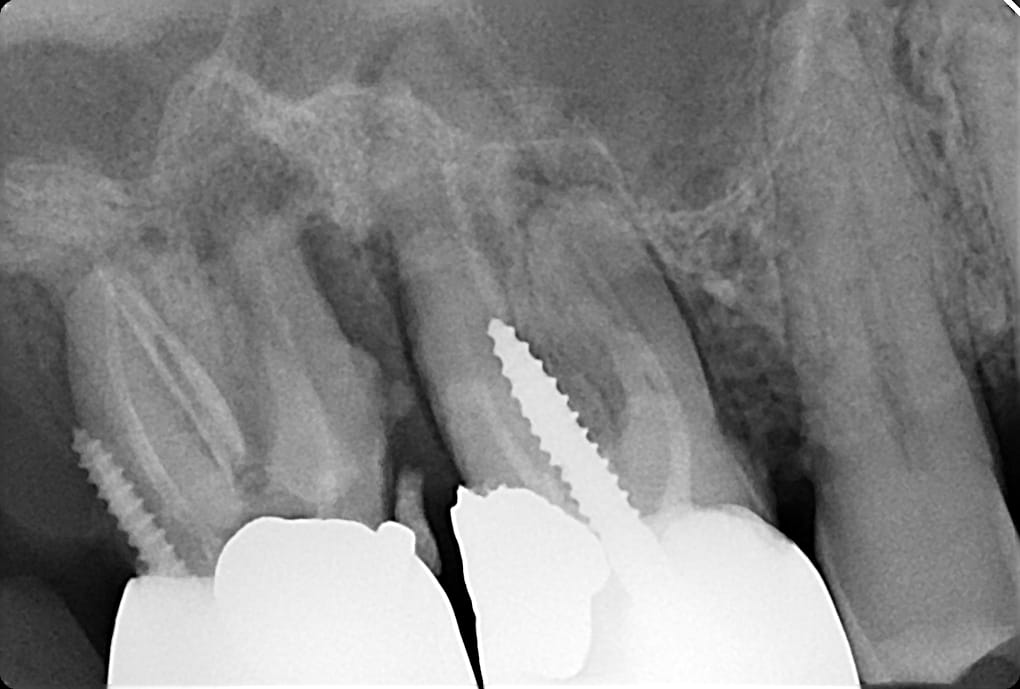
Prunelles

09/10/2025 à 15h40

Admirez le parallélisme... l'aéro-intégration...

Si l'ancrage radiculaire n'est pas dans la racine, peut on toujours parler d'ancrage radiculaire ?

Sc3wmcq9jwtq5ul2a10bg4f45xfc - Eugenol

croc1765

09/10/2025 à 16h38

oui car c'est pas ecrit intra canalaire et donc une fausse route est un ancrage radiculaire ,ils avaient cas etre precis :)
serieusement c'est quoi cette difference d'opacite des tenons


6szjws718sv1jksw54v4mpj3a6cu - Eugenol
vulpi

02/02/2026 à 15h24

https://www.ledauphine.com/faits-divers-justice/2026/02/01/il-se-coince-un-obus-de-la-premiere-guerre-dans-l-anus-des-demineurs-appeles-a-l-aide-aux-urgences


Grifix-Gezucri

02/02/2026 à 16h21

@ vulpi: C'est aussi une façon de se détendre. Serait il membre du cercle des dentistes détendus ??🥳🥳


1...56