Cookie Consent byPrivacyPolicies.comabus de faiblesse ? - Eugenol

abus de faiblesse ?

Pubg2 rjl8jc - Eugenol
lemondestvaste

27/06/2022 à 18h33

Le tout SANS DEVIS préalable biensur sinon ce ne serait pas drôle. Je trouve les honoraires un peu élévés. Un avis ?

Bsvl06ssuuqf0qtjphxokp4j0ml3 - Eugenol

Pubg2 rjl8jc - Eugenol
lemondestvaste

27/06/2022 à 18h37

En tout cas les parisiens ne s’embarrassent pas avec les centimes ... tout tombe rond !


Morgan ztbb1b - Eugenol
BONNET jc

27/06/2022 à 18h52

Moi, ce que j'aime c'est : sur la même dent, avulsion racine, gingivectomie, alvéolectomie, curetage alvéole, comblement. Remarquez que l'ordonnance est gratuite...il a du oublié de la faire payer.


dcs67

27/06/2022 à 19h01

A ce prix la ,un implant serait bienvenue.
la radio panoramique est a étudier.
confiance totale. tout est fait sans acompte . .


Pubg2 rjl8jc - Eugenol
lemondestvaste

27/06/2022 à 19h01

attend je te fais passer la radio ... meme les cotation des extractions ne sont pas comme chez nous ! ...


dcs67

27/06/2022 à 19h02

A ce prix la ,un implant serait bienvenue.
la radio panoramique est a étudier.
confiance totale. tout est fait sans acompte . .


Pubg2 rjl8jc - Eugenol
lemondestvaste

27/06/2022 à 19h05

47 ... racine incluse ?

je n'ai pas la même définition.

Y37lx30oefpctgqxdit90yfwspbm - Eugenol

Pubg2 rjl8jc - Eugenol
lemondestvaste

27/06/2022 à 19h08

J'hésite entre me marrer, et quand même être un peu désespéré par l'attitude du confrère. Le papi est sourd comme un pot. Un peu diminué. Mais est blindé.


moritooth

27/06/2022 à 19h18

Le temps qu'il a du passer à écrire une telle note d'honoraires à la main ! Avec une extraction à 1300€ il va pouvoir enfin s'acheter un ordi !
C'est drôle et triste à la fois.


Blue eye thumb medium dx1i0w - Eugenol
bill

28/06/2022 à 00h35

moritooth écrivait:
---------
> C'est drôle et triste à la fois.

C'est juste la honte de la profession...


--
https://docudent.fr
Tous les documents du cabinet dentaire
& l'aide à la cotation du Reste à Charge 0
________________________________________


Vw campersurfvan bmnk1q - Eugenol
enlaye

28/06/2022 à 08h11

Pour mes statistiques, c est une femme , non ? :-)))
Ahhh elle doit être bonne.


Hok 1b hgd3rj - Eugenol
Hokusai

28/06/2022 à 08h36

putain mais comme ca me revolte...

sans deconner, tout ca c'est 3 rdv grands max !!! faut regrouper les actes bordel !!!!!!!


doc.yoyo

28/06/2022 à 09h01

Et après on passe tous pour des voleurs


Pubg2 rjl8jc - Eugenol
lemondestvaste

28/06/2022 à 09h21

Je me suis régalé avec les photos de son cabinet ... C'est paaaaaarisien, toile de maitre et tout le tsoin tsoin ... tu m'étonnes ...

Le papi était gestionnaire de fortune. Mais, est ce une raison ?

Oui c'est une consoeur.


Pubg2 rjl8jc - Eugenol
lemondestvaste

28/06/2022 à 09h27

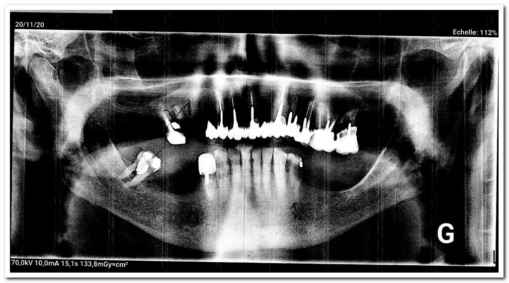
Et la bouche actuelle du patient est dégueu : 16 pas extraite, provisoire 32 tombée, les dents manquantes non remplacées sur le stelite mandibulaire. Rien n'est proposé pour la 27.

C'est très déroutant. Elle doit pas être débordée car elle a pu lui mettre 4 rendez vous en l'espace de 10 jours mais aucune vision globale.


Photo 158 mluhia - Eugenol
robin

28/06/2022 à 09h31

moritooth écrivait:
---------
> C'est drôle et triste à la fois.

c'est driste.


Jf35

28/06/2022 à 12h18

Perso si c’est pas une blague ,
Je trouve que c’est une belle arnaque professionnelle avec abus de confiance.
Et le praticien exerce encore ? Ou Ose exercer tout court.
Manque plus qu’Elise Lucet.


Photo 158 mluhia - Eugenol
robin

28/06/2022 à 12h37

ce qui m'étonne c'est qu'il semblerait qu'il ai réalisé tous ces actes pendant plus d'un an, sans demander le moindre règlement?


vernal

28/06/2022 à 12h49

Soyons confraternel !
De plus, ceux qui ont fait leur étude à Paris (surtout paris VII) savent qu'ils sont les meilleurs du monde de France !
Il y a aussi des devis tip top en Province.
Exemple : l'année dernière, le complet haut et bas à 25 000 euros. Le patient est venu me voir parce qu'il s'étonnait qu'en 10 ans il y avait eu une augmentation de 10 000 euros.
Je lui ai fait un RAC 0, je sais, c'est pas bien !
Une petite voix au fond de moi me dit que ce n'est peut-être pas si bête que cela. (Vade retros, Satanas !!)

Une autre me dit : c'est bizarre, la bafouille publié par lemondeestvaste est lisible, cela ne fait pas très sérieux pour un professionnel de santé.


croc1765

28/06/2022 à 13h01

robin écrivait:
-----
> ce qui m'étonne c'est qu'il semblerait qu'il ai réalisé tous ces actes pendant
> plus d'un an, sans demander le moindre règlement?

la majeur partie des "soins" je met des "" est faite en 3 mois le premier mois elle l'a hameçonné puis l'a laissé tranquille 11 mois puis l'a peché
c'est juste une honte
c'est etonnant qu'elle puisse encore excercer car cela ne doit surement pas etre la premiere fois qu'elle frappe comme ela
ps la devit de 43 a 34€?


sosdébouche

28/06/2022 à 14h00

Bon OK, je suis definitivement conne .


Vw campersurfvan bmnk1q - Eugenol
enlaye

28/06/2022 à 14h02

C est l effet pervers de la CCAM avec tous ses codes .
avant elle n aurait pas eu le courage d écrire :
" 2 , 3 extractions et un bon détartrage pour 6000 e "


Gabzou

28/06/2022 à 14h13

Pas de devis, pas de règlement, sauf actes conventionnés. C'est indéfendable.


burnax

28/06/2022 à 14h30

Ville de province Des hauts-de-France : devis paro 3 séances 3000 euros, la CCM 1700 euros ...


Pubg2 rjl8jc - Eugenol
lemondestvaste

28/06/2022 à 14h45

Non ce n'est pas une blague, je suis depuis qq années sur le forum, et là, j'ai voulu partager car vraiment j'ai été ... choqué !


12...