Cookie Consent byPrivacyPolicies.comOn m'a dit que Pluton pouvait... - Eugenol

On m'a dit que Pluton pouvait...

Images kkjfdo - Eugenol
Caliope35410

02/09/2022 à 16h35

On m'a dit que Pluton était incollable sur les implants.
Alors, j'aimerais demander à Pluton s'il sait ce que c'est...

Q66bn537zxjqqaof7k2yxio57aja - Eugenol
Xeimpiph7idq0kezt3yr7p4sdy4d - Eugenol
8lqm0qrt4sh24145528b06vcy2gj - Eugenol
Ttl2we3cvxdwzy907rbzzjc04spf - Eugenol
1fr401drtv2h1c3t7s4fwp5kb221 - Eugenol
2o7x1vwo3qeq7ei3fudyzzeg5ehk - Eugenol
4bwql0jgeqptilv40drf5ww7k86a - Eugenol
O7lekk11d1owhi2vzy6kr3ib1y52 - Eugenol

Photo pluton1b h9n4ea - Eugenol
pluton

02/09/2022 à 17h42

dis m'en un peu plus sur ce cas car c'est un implant avec un hexagone externe et j'ai beaucoup de correspondances....
cela dit, hex externe en général c'est une plateforme standard et quasi toutes les marques sont compatibles


Images kkjfdo - Eugenol
Caliope35410

02/09/2022 à 18h08

Alors je n'ai rien de plus. Eventuellement des photos. Et l'année 2003.

Lu8i557cqmjucqw36p9kko8wnlod - Eugenol
H5yvbfj3rl3mq4us8c35yd13vnli - Eugenol
27hbyz0dfjubknb8orcy9tcjv62a - Eugenol
Fwvribvfij2as3ibzso6yvglb70o - Eugenol

Images kkjfdo - Eugenol
Caliope35410

02/09/2022 à 18h11

C'est un patient de l'ancien associé de ma prat ( je suis assistante). J'ai donc toujours sont dossier informatique mais plus aucun papier ( ni dossier, ni compte rendu opératoire). Dans le dossier informatique, juste ces radios et photos. Ce patient revient vers moi pour me demander si je peux lui donner des informations sur ses implants. Alors je me suis dis Pluton doit savoir....


Photo pluton1b h9n4ea - Eugenol
pluton

05/09/2022 à 08h33

et ta prat ne se souviens plus quelle marque il posait?

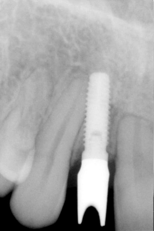
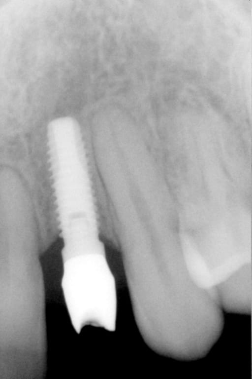
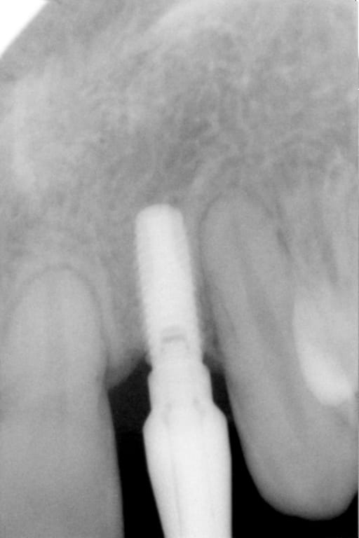
Bon, sinon, j'ai une identification quasi sûre quand même....en prenant en compte le fait que çà a été fait en France par un praticien français, il y a quelques années de çà.....
donc çà limite un peu les recherches sur les marques disponibles en france à cette époque et la marque d'implant qui match le plus avec les caractéristiques que tu m'as montré (hex externe, apex plat, spires en V, col large, vis de cicat avec hexagone....) c'est un implant Biomet 3i osseotite parallel walled

https://osseosource.com/osseotite-parallel-walled-4-1-/p-148.html


Images kkjfdo - Eugenol
Caliope35410

05/09/2022 à 13h07

Dr J. en a posé de différentes marques. Mais là ce n'est même pas Dr J qui les a posé. En fait, auparavant envoyait les patients vers un autre prat. Mais je ne sais pas qui c'est. Les dossiers du Dr J et le Dr J étant partis, impossible d'avoir une référence. Et le Dr Q., m'a prat, n'est pas en bon termes avec Dr J. Donc impossible de savoir par ce biais là également. Je vais déjà donner ces quelques informations au patient. Après, à lui de voir avec son futur dentiste. En tout cas, merci beaucoup pour la réponse.