Cookie Consent byPrivacyPolicies.comQui est-ce? - Eugenol

Qui est-ce?

Hieroglyphes keith haring exposition petits g l 8ffrh5 gslhhb - Eugenol
Toine

26/09/2022 à 18h08

Bonjour,

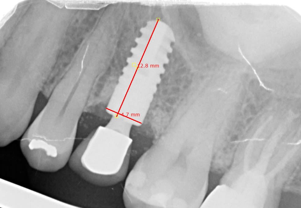
Quelqu'un reconnait-il cet inconnu, introuvable sur what's impalnt.
Posé en 2001 dans le 78.
Merci.

T5nlv7cphglidfenqmtabukpghw6 - Eugenol

Rape p0as4f - Eugenol
rapelapente

26/09/2022 à 20h19

Cône morse, Ça ressemble beaucoup à un Ankylos 1ère génération.


--
Schooner For Ever


Hieroglyphes keith haring exposition petits g l 8ffrh5 gslhhb - Eugenol
Toine

26/09/2022 à 20h29

Ah! Parfait, merci.
Cône morse, donc parfois pénible à démonter...


Rape p0as4f - Eugenol
rapelapente

27/09/2022 à 09h40

C'est la couronne que tu veux refaire je suppose ?


--
Schooner For Ever


Hieroglyphes keith haring exposition petits g l 8ffrh5 gslhhb - Eugenol
Toine

27/09/2022 à 09h43

La patiente ne supporte plus la teinte et la morpho, plus l'absence du point de contact...


Rape p0as4f - Eugenol
rapelapente

27/09/2022 à 15h25

Si tu fais une CCM ne démontes pas le pilier.
Commande une chappe calcinable que tu noies dans l'empreinte.
Le labo en fera son armature.


--
Schooner For Ever


Hieroglyphes keith haring exposition petits g l 8ffrh5 gslhhb - Eugenol
Toine

27/09/2022 à 17h21

Smart, je prends!
Je vais essayer en optique... des objections?


Rape p0as4f - Eugenol
rapelapente

27/09/2022 à 18h09

En optique pas de souci évidemment
Évite d'abîmer le pilier en démontant la couronne.
De l'intérêt de faire du vissé...


--
Schooner For Ever


Hieroglyphes keith haring exposition petits g l 8ffrh5 gslhhb - Eugenol
Toine

27/09/2022 à 18h56

Tu prêches un convaincu.