Cookie Consent byPrivacyPolicies.comavis 21 bloquée - Eugenol

avis 21 bloquée

burnax

12/10/2022 à 15h27

Bonjour,
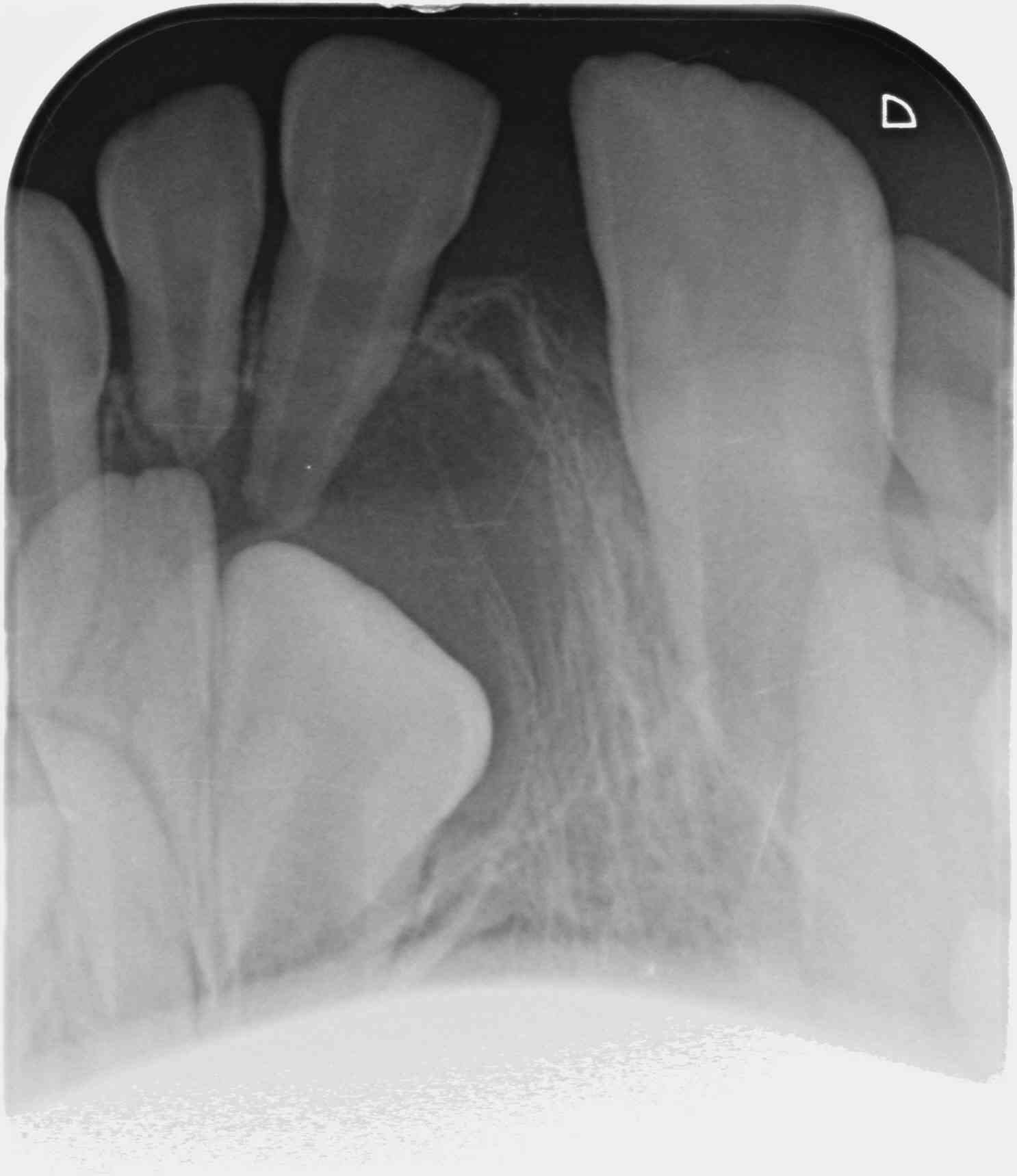
que feriez-vous pour la 21 bloquée, asymptomatique, chez un enfant de 8 ans ?
Extraction et rendez-vous chez l'ortho , ou l'inverse ?
merci

Fqjuntxfi65lzqte2xdvjqwk2xbf - Eugenol
Ac6p8uf0zaneb5fd2p5mp7bfjh1s - Eugenol

Photo pluton1b h9n4ea - Eugenol
pluton

12/10/2022 à 15h35

j'ai l'impression qu'il y a un kyste péricoronaire.....
de toutes façons tu risques pas grand chose à extraire les deux dents déciduales, bien nettoyer/faire le chemin et ré-évaluer dans quelques semaines....au pire çà se terminera en traction ortho....


OSCAR56

07/11/2022 à 19h00

Sans doute consécutif à un choc il y a quelques années ---> nécrose, infection et non rhizalyse de la racine de la 61.
Il faut extraire cette 61 et faire un contrôle dans trois mois et suivre l'éruption tous les 3 mois. Il y a un risque de malposition.

Gciphisqnnasbrrty4oy8i1bfdf5 - Eugenol