Cookie Consent byPrivacyPolicies.comAh! il est joli celui-là - Eugenol

Ah! il est joli celui-là

Rape p0as4f - Eugenol
rapelapente

09/11/2022 à 15h36

Je passe le relais.
Plus la pêche pour ce genre de truc désormais.


--
Schooner For Ever

Saaialr3tim0s4z68yof23lacqy7 - Eugenol
Jnnqaehhrfa13dq069dvin10ab1u - Eugenol

Pierre logo clykpp - Eugenol
Denteo33

09/11/2022 à 16h10

Moi je n’en ai jamais eu les compétences et ai toujours adressé.


Dentarue

09/11/2022 à 18h25

Le bateau.


--
> La liberté de prescrire n'est pas une autorisation à faire nimporte quoi. posit 21/10/2022


Rape p0as4f - Eugenol
rapelapente

09/11/2022 à 18h58

Oui je préfère le bateau !

:-))


--
Schooner For Ever


Fear and loathing in las vegas toax7t - Eugenol
Donchico

10/11/2022 à 10h26

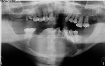
J'en ai déjà eu 3 comme ça, originaires de pays de l'est voir de l’extrême-est.
Un père pour un trou de 48 à 36 et son fils autour d'une 43 incluse. (origine génétique ?)
Et un autre au niveau latéral doit.
Idem adressé au CHU le plus proche.

9elei21c5y2bg01djowuid5zk3uv - Eugenol
A3jz0w6pe1ydjrlpiy5jjh16z40b - Eugenol
Epjj3pe1ykjiyphzc8ao6f8konyp - Eugenol
Ybpf15ssqlhbw6kqiyhk5teqqtd5 - Eugenol
H8c98tfglb41w41zcz6cpiknw9zr - Eugenol
M56ad13mpwycxir78hdu9tc9md99 - Eugenol

Rape p0as4f - Eugenol
rapelapente

10/11/2022 à 14h59

Pas mal aussi le premier !


--
Schooner For Ever


Fear and loathing in las vegas toax7t - Eugenol
Donchico

10/11/2022 à 18h21

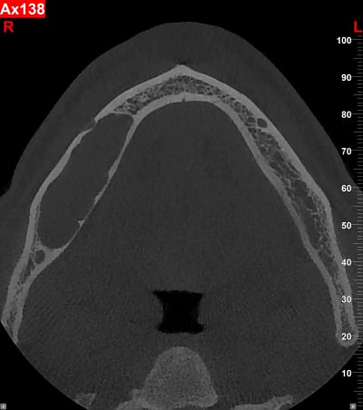
Bon je sais , ça fait un peu le concours de celui qui à le plus gros ... kyste !!
Qui dit mieux ?