Cookie Consent byPrivacyPolicies.comstellite classe 1 mandibulaire - Eugenol

stellite classe 1 mandibulaire

goltooth

22/11/2022 à 09h37

Bonjour, j'aimerais avoir vos conseils.
La patiente est fort agée. La paro des dents residuelles est fragile. J'envisage des crochets de Roach. Comment optimiser l 'empreinte des selles et limiter le mouvement de bascule
antero posterieur autour des dents supports de crochet ?
Merci de vos reponses

Iw9hiq6j2xjj2dihb4vn4pe7z60y - Eugenol

fabz

22/11/2022 à 09h44

goltooth écrivait:
--------
> Bonjour, j'aimerais avoir vos conseils.
> La patiente est fort agée. La paro des dents residuelles est fragile. J'envisage
> des crochets de Roach. Comment optimiser l 'empreinte des selles et limiter le
> mouvement de bascule
> antero posterieur autour des dents supports de crochet ?
> Merci de vos reponses

Tu fais faire le stellite par ton proto en lui demandant de mettre des selles postérieurs, empreinte impression past sur les selles et alginate sur le tout


doc.yoyo

22/11/2022 à 10h16

Ou emp secondaire avec permadyne, orange pour zones edentées et bleu pour les dents


paulru

22/11/2022 à 10h35

goltooth écrivait:
--------
> Bonjour, j'aimerais avoir vos conseils.
> La patiente est fort agée. La paro des dents residuelles est fragile. J'envisage
> des crochets de Roach. Comment optimiser l 'empreinte des selles et limiter le
> mouvement de bascule
> antero posterieur autour des dents supports de crochet ?
> Merci de vos reponses

Pour moi ce cas est risqué : paro fragile, dents restantes trés peu rétentives pour des crochets. Pourquoi ne pas au moins proposer une pacsi ?


goltooth

22/11/2022 à 10h42

la patiente ne veut pas d implant. je l'ai prevenue qu'on gagne du temps...
"Tu fais faire le stellite par ton proto en lui demandant de mettre des selles postérieurs, empreinte impression past sur les selles et alginate sur le tout".
Empreinte fonctionnelle avec impression paste, n'est ce pas ? Cela me semble raisonnable


doc.yoyo

22/11/2022 à 10h49

Si pronostic paro reservé, c'est PAC dans 6 mois


Morgan ztbb1b - Eugenol
BONNET jc

22/11/2022 à 10h49

Attention, si les dents sont mobiles et risque d'extraction, l'adjonction sur stellite est opposable et c'est inférieur au prix du proto.


goltooth

22/11/2022 à 11h22

Il est vrai que c'est un terrain ... très glissant.
Je "solidarise" regulièrement au BRUSH DIP. Les dents ne bougent pas dans ces conditions mais la paro est fragile.
Il est vrai que c 'est pas raisonnable vu comme ça


paulru

22/11/2022 à 12h08

goltooth écrivait:
--------
> la patiente ne veut pas d implant. je l'ai prevenue qu'on gagne du temps...
> "Tu fais faire le stellite par ton proto en lui demandant de mettre des selles
> postérieurs, empreinte impression past sur les selles et alginate sur le tout".
> Empreinte fonctionnelle avec impression paste, n'est ce pas ? Cela me semble
> raisonnable

Je serai parti sur une pac même sans implants. La papm va énormement soliciter ces dents fragiles en plus de ne pas tenir enormément.


Bebert.

22/11/2022 à 13h15

doc.yoyo écrivait:
--------
> Si pronostic paro reservé, c'est PAC dans 6 mois

Pas forcément. Des cas comme celui-là j'en ai fait un paquet, y compris sur des paro quasi terminales. Et si la patiente est très âgée, se lancer dans une pacsi ne me paraît pas judicieux.
Et + 1 pour les empreintes fonctionnelles avec les selles du chassis.
Même si les dents ne sont pas rétentives (et il vaut mieux qu'elles ne le soient trop), deux roach vont apporter une sensation de sécurité. Si besoin, on peut aussi réadapter la zone cervicale avec du composite pour avoir une friction longue avec une plaque qui monte très haut plutôt qu'une rétention brutale.
Ensuite ça permet d'évoluer en douceur, sur 4-5 ans, vers le complet plutôt que de dépaver brutalement la patiente et lui mettre une prothèse qui risque de se balader...
Après il faut aussi prendre en compte l'état de santé de la patiente.


goltooth

22/11/2022 à 13h39

" Si besoin, on peut aussi réadapter la zone cervicale avec du composite pour avoir une friction longue avec une plaque qui monte très haut plutôt qu'une rétention brutale." En voila une excellente idée ! Merci


goltooth

22/11/2022 à 13h41

"Je serai parti sur une pac même sans implants. La papm va énormement soliciter ces dents fragiles en plus de ne pas tenir enormément."
je ne me lance pas dans les complets inf avec aussi peu de crete


paulru

22/11/2022 à 14h10

goltooth écrivait:
--------
> "Je serai parti sur une pac même sans implants. La papm va énormement soliciter
> ces dents fragiles en plus de ne pas tenir enormément."
> je ne me lance pas dans les complets inf avec aussi peu de crete

Dans ce genre de cas limite j'informe toujours par écrit le patient et conserve une copie signée du patient. PAC conventionnelle ou papm pour moi les deux sont casse gueule, simplement si la pac arrive dans 6 mois, la patiente risque de ne pas comprendre.
tu aurais une radio des dents restantes ?


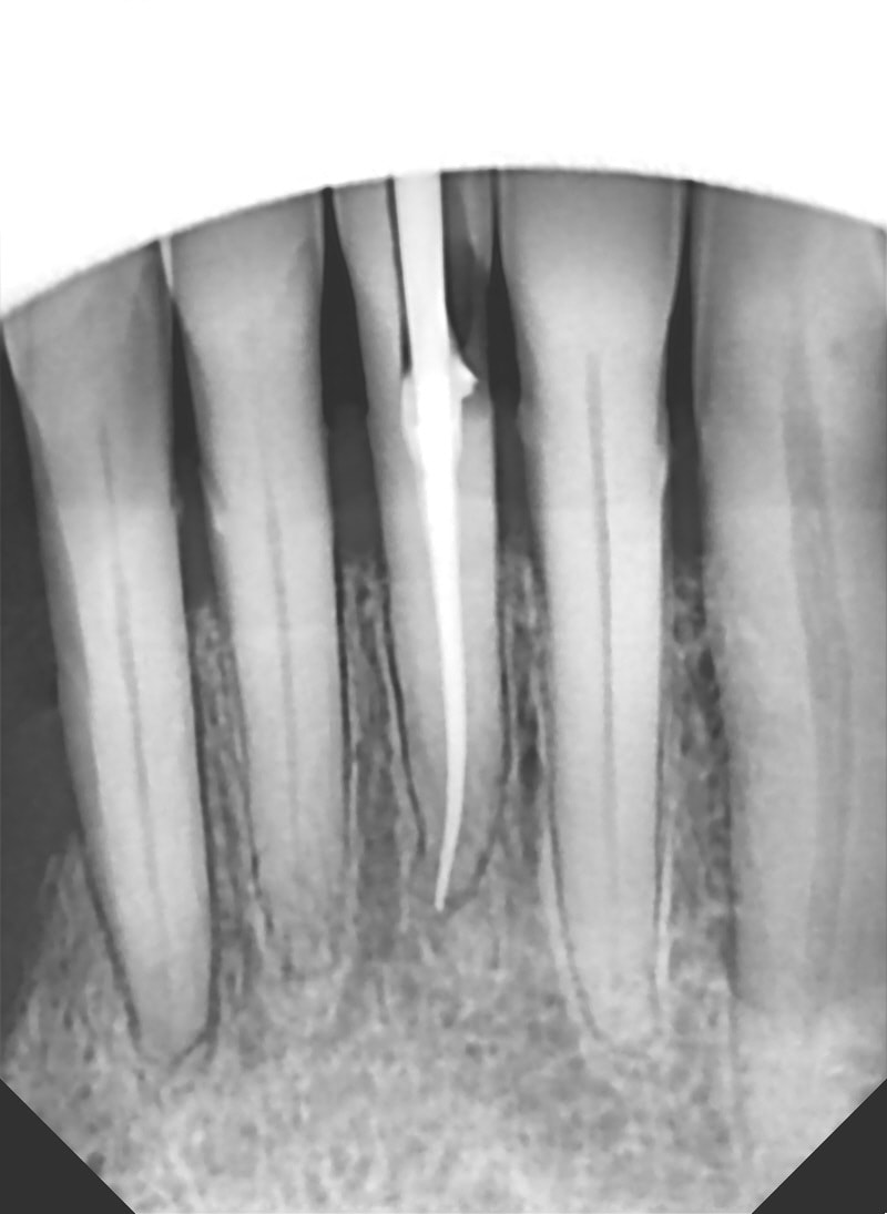
goltooth

22/11/2022 à 15h46

voici le cliché

Bted45rxecmjtmbfdot5k5g9avyv - Eugenol

goltooth

22/11/2022 à 15h49

voici un exemple de "pas terrible" qui dure dans le temps. 2006 et 2020.
Ce patient pourrait faire des implants. Je voulais lui faire gagner du temps.

U8p0fcoqfb1hnazh0wixl02dt0sx - Eugenol
Gxevm3tw39wuoqheoofslewxy51y - Eugenol

paulru

22/11/2022 à 17h03

Ok, on a encore un rapport couronne/racine de 1/1 environ. Même si la 42...

Je serai curieux de voir le resultat final et la tenue dans le temps. Si ça peut permettre de gagner un peu de temps je prends.


Et7jtaj0pdi18gzjlxjiamlx15gs - Eugenol
Prunelles

22/11/2022 à 18h26

Ça me surprend que personne n’ait posé la question de savoir ce qu’il y à au maxillaire ?


goltooth

23/11/2022 à 07h20

J ai réalisé cela après avoir quitté la conversation ! Il s agit de complets maxillaires….


goltooth

23/11/2022 à 07h24

J ai commencé le sujet sur optimiser les dents restantes dans ce cas avec peu de Crète et comme souvent sur eugenol ( et les réseaux en général )un commentaire péremptoire ou édifiant modifie le sens


Gabzou

23/11/2022 à 08h05

Question, pourquoi du T (ou Y, comme vous voulez) de roach plutôt que du Ackers classique?
Je trouve assez peu d'intérêt aux Roach en général, souvent des soucis gingivaux dessous: inflammation, récession. J'ai également l'impression que le bras de levier étant plus grand entre la zone de friction sur la dent et la jonction avec la selle ou la résine, ils ont plus vite tendance à se desserrer. Même chose quand il y a perte osseuse en postérieure, je trouve que les Ackers restent adaptés plus longtemps même avec une légère bacule alors que les Roach perdent immédiatement toute capacité de rétention.
A part l'esthétique légèrement améliorée, je ne vois vraiment pas l'intérêt.
Du monde pour m'éclairer?


goltooth

23/11/2022 à 09h40

Je ne suis pas un spécialiste mais je crois que dans ce cas il est préférable que le crochet ne serre pas la dent. Il stabilise, un peu, la prothèse.


paulru

24/11/2022 à 09h54

goltooth écrivait:
--------
> J ai commencé le sujet sur optimiser les dents restantes dans ce cas avec peu de
> Crète et comme souvent sur eugenol ( et les réseaux en général )un commentaire
> péremptoire ou édifiant modifie le sens


Si tu parles de moi, le but n'est pas de dévier le sujet mais de partager des expériences et apprendre de celles des autres.


Gabzou

24/11/2022 à 11h23

Nous sommes des curieux, une fois la réponse donnée, nous posons des questions nous aussi. Je trouve ça plutôt sain sur un forum pro, tant que ça ne dévie pas trop.


Utilisateur banni

24/11/2022 à 12h12

Pour le crochet Y : c’est parce que deux trois professeurs vous ont encouragé à faire ce type de crochet et du coup vous répétez les âneries apprises :)

=> c’est comme la classification. Édentement bilatéral postérieur ça parle beaucoup plus que classe 1

=> ce type de crochet empêche toute retouche de la résine dans ce secteur.
=> ce type de crochet exerce lui aussi une traction sur la dent quand vous enlevez l’appareil
=> ce type de crochet est également moche


Vw campersurfvan bmnk1q - Eugenol
enlaye

24/11/2022 à 12h41

Gabzou écrivait:
------
" Question, pourquoi du T (ou Y, comme vous voulez) de roach plutôt que du Ackers classique?..... A part l'esthétique légèrement améliorée, je ne vois vraiment pas l'intérêt.
Du monde pour m'éclairer? "

l intérêt , qui est énorme , c est que c est un crochet qui NE FAIT PAS DU CHASSIS mais d un petit cochet fin fin préfabriqué en fil de fer noyé dans la resine , bien élastique et qui ne sert à pas grand chose donc qui ne fera pas bien mal aux dents restantes .
si tu veux au final c est une ppa en fer , avec tous les avantages de la ppa .
ceux qui l intègrent dans le châssis n ont rien compris .



12