Cookie Consent byPrivacyPolicies.com2 couronnes + 1 inter - Eugenol

2 couronnes + 1 inter

Vw campersurfvan bmnk1q - Eugenol
enlaye

30/11/2022 à 22h38

salut les collègues ,
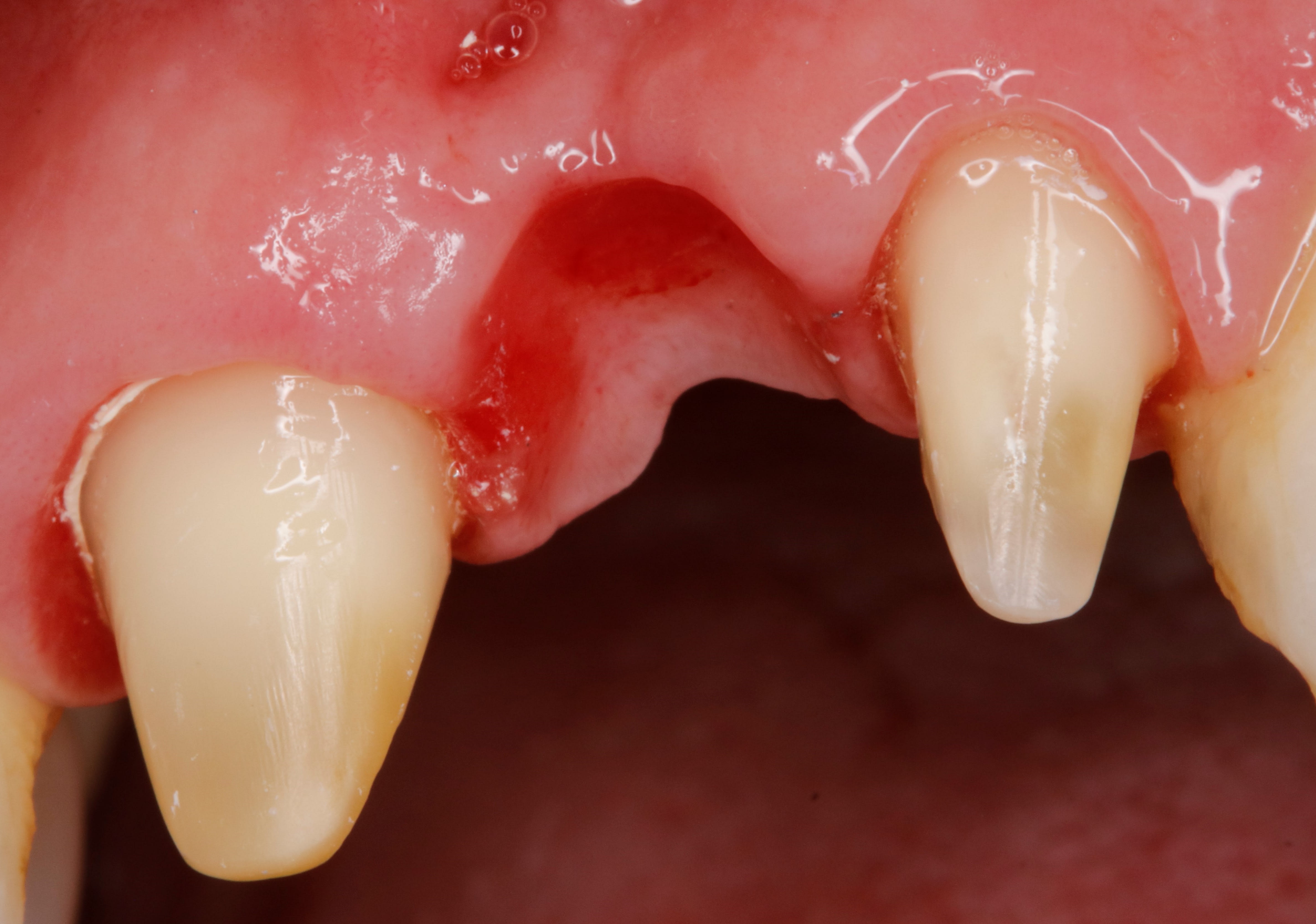
j'ai fait 2 couronnes en zircon solidarisées sur 24+25 + inter 23
autrement dit un bridge avec extension .
24 et 25 étaient neuves au départ donc pas de remboursement , c'est normal .
par contre Julie me bloque et comment on fait ?
je lui dit juste :" donnez moi 200 sacs et ça ira comme ça ! " ??

Nw053z4v0wavjypyh5g9q1yy8tha - Eugenol

Rape p0as4f - Eugenol
rapelapente

30/11/2022 à 22h47

La CCAM ne veut pas d'extension sur une canine.


--
Schooner For Ever


Vw campersurfvan bmnk1q - Eugenol
enlaye

30/11/2022 à 22h52

oui à la limite je m en fous de la ccam , mais je fais comment pour le dossier ?
je crée un acte HN ?


Blue eye thumb medium dx1i0w - Eugenol
bill

30/11/2022 à 23h36

Apparemment c'est la seule solution possible, pas de code, pas de remboursement = HN


--
https://docudent.fr
Tous les documents du cabinet dentaire
& l'aide au choix prothétique.
____________________________________


Vw campersurfvan bmnk1q - Eugenol
enlaye

30/11/2022 à 23h39

très bien , ça me va , merci Bill .


Gabzou

01/12/2022 à 09h58

Je confirme, pas d'extension canine en CCAM, donc HN.


moritooth

01/12/2022 à 15h44

Waouh, du zircone pour un bridge avec extension, c'est couillu !


Vw campersurfvan bmnk1q - Eugenol
enlaye

01/12/2022 à 18h25

un peu oui , mais ça ça vient vite quand tu ne poses pas d implant :-)
je pense que les dents partiront avant que l extension ne se casse .

W0nynp0r7xjezjt0f3rb29sgkurb - Eugenol

Et7jtaj0pdi18gzjlxjiamlx15gs - Eugenol
Prunelles

01/12/2022 à 18h48

J’ai le davier qui me démange…
Il est garanti combien de temps ton bridge ?


Vw campersurfvan bmnk1q - Eugenol
enlaye

01/12/2022 à 19h39

on ne garanti pas le HN :-)
je le considère comme un prov de luxe qui devrait tenir au moins 5 ans voir plus , elle a 77 ans et s il faut elle partira avec .
c est une béance avec 24 et 25 très mobile , enfin elles l étaient avant le prov .

2u470cc19xlbqglpk0s5a5ja1l2m - Eugenol
V1hsmqufuc38h2ltcwm9bbic59zm - Eugenol

Vw campersurfvan bmnk1q - Eugenol
enlaye

01/12/2022 à 19h43

.

Nlgn4crl4xmmzdm4jcgsuhr17klz - Eugenol

moritooth

01/12/2022 à 19h44

enlaye écrivait:
------
> un peu oui , mais ça ça vient vite quand tu ne poses pas d implant :-)
> je pense que les dents partiront avant que l extension ne se casse .

Ah oui là pas de doute ! D'autant qu'en plural avec la zircone tu peux pas faire de vraies d'embrasures permettant le nettoyage, ça va aller vite...
Il parait que ces grosses liaisons entre éléments zircone s'appellent élégamment des "connecteurs". C'est chouette comme appellation.

Mais comme t'as du équilibrer ça aux petits oignons ça va aller.


Ylfwcw979cz1jnx9gfqeaxndiuzk - Eugenol
Algi

01/12/2022 à 19h56

Mais enlaye c'est un fou, il craint dégun....


--

On a toujours le choix mais entre quoi et quoi?
Vas-y boulégue et l'avenir te le dira!


Vw campersurfvan bmnk1q - Eugenol
enlaye

01/12/2022 à 20h05

c est un pb ce zircon full , en fait c est une grosse merde . surtout ces zircons jolis c est fragile pour les bridges .
d un autre coté , sur un cas comme ça , si tu fais de la ccm alors là c est sur que tu as un pb paro tout de suite avec perte des dents rapidement .
du coup , quoi faire d autre ? devant c est un bridge que j ai fait en 2018 et c était bien pire , en attendant les implants qu elle n a jamais fait .
au final je me suis fait niquer , si j avais su qu elle n en mettrait pas j aurais fait le fer à cheval à l époque , plus serein .





Vw campersurfvan bmnk1q - Eugenol
enlaye

01/12/2022 à 20h15

le bridge ant 11.21.22 qui lui était NR , elle a pris l habitude de ne pas avoir de feuilles :-))

53j4oobe9u3ff1y10htdxg0qmr0o - Eugenol

6szjws718sv1jksw54v4mpj3a6cu - Eugenol
vulpi

01/12/2022 à 20h40

C'est du full zircon ou une chape ceramisée?


Et7jtaj0pdi18gzjlxjiamlx15gs - Eugenol
Prunelles

01/12/2022 à 20h48

Tu utilises quoi comme diamètre de fraise ?


6szjws718sv1jksw54v4mpj3a6cu - Eugenol
vulpi

01/12/2022 à 20h59

C'est pas la taille qui compte.
Elle a un bout pointu ?


Vw campersurfvan bmnk1q - Eugenol
enlaye

01/12/2022 à 22h00

vulpi écrivait:
-----
" C'est pas la taille qui compte.
Elle a un bout pointu ? "

ça dépend après qui tu passes :-)
mais oui le bout de toutes mes fraises sont pointues .
congé elliptique pointu genre rcb .


Vw campersurfvan bmnk1q - Eugenol
enlaye

01/12/2022 à 22h07

Prunelles écrivait:
---------
" Tu utilises quoi comme diamètre de fraise ? "
toi t'es un petit malin :-)
il y en a 2 la 1ere taille est au 021 et la deuxième 018 voir plus petit , mais obligatoirement longue pour la fine , ça c est obligatoire .
pcq il faut bien comprendre qu il n y a pas ( sur une meme dent , ou meme bridge ..) 1 taille mais 2 tailles distinctes , totalement différentes dans le temps et dans les objectifs .
m en vais te raconter ça .



Vw campersurfvan bmnk1q - Eugenol
enlaye

01/12/2022 à 22h24

il faut bien comprendre qu une taille d'une dent est la superposition de 2 tailles .
*
- la 1ere concerne la dépouille , le parallélisme ( bridge) la décortication en fonction de ce que tu vas y mettre dessus et de sa position ( ça c'est pour répondre à Moritooth question espace disponible avec l inter )
mais aussi et SURTOUT de la limite l'appui de la couronne .
donc là tu fais dans la stratégie mécanique de la prothèse , et le congé doit être gros c'est la fraise 0.21 .
ça c'est la 1ere séance et tu tailles supra ou à peine juxta , bien sûr ça ne saigne pas c est plus sympa .
on est donc bien d'accord que la limite d enfoncement de la couronne sera donc TOUJOURS supra !


Vw campersurfvan bmnk1q - Eugenol
enlaye

01/12/2022 à 22h43

- la 2eme taille a un objectif totalement diffèrent .
ça se passe la séance d après , le jour de l'empreinte .
la gencive s' est alors positionnée , d'autant mieux qu il n y a pas de provisoire , souvent plus haute parfois plus basse et l'objectif de cette séance de taille , la 2eme va etre d'adapter la limite ESTHETIQUE de la couronne et l'amenant très légèrement infra de cette nouvelle position de gencive .
en fait tu ne fais que casser ou plutôt biseauter le congé précédemment fait . on est bien d'accord , ce n'est pas la limite d'appui qui elle ne bouge pas .
pour ça qu il te faut du diamètre fin , pour ne pas trop risquer de toucher la gencive .
par exemple c est là que tu biseautes en mesial d'une centrale etc ...
je t'ai dit que la fraise devait être longue , eh bien c'est pour mieux y voir tout simplement , pcq là il n'est pas question de t appuyer sur le haut de la dent déjà préparée . le mandrin de la fraise te permettant de surveiller le parallélisme entre chaque face en y faisant le tour .
bref comme ça ne saigne pas tu peux prendre l'empreinte .
voilà comme je vois l'histoire , après ça n'engage que moi , hein .


Vw campersurfvan bmnk1q - Eugenol
enlaye

01/12/2022 à 22h52

vulpi écrivait:
-----
" C'est du full zircon ou une chape ceramisée? "
full , ça n'existe plus les chappes céramisées , d'abord ils ne savent plus faire mais surtout ils leur faudrait des disques de zircon différents , ce qu' ils n'ont pas , on va vers la standardisation à mort dans les labos .
je le vis très mal , il n y a que mon comptable qui aime ça .


Vw campersurfvan bmnk1q - Eugenol
enlaye

01/12/2022 à 23h13

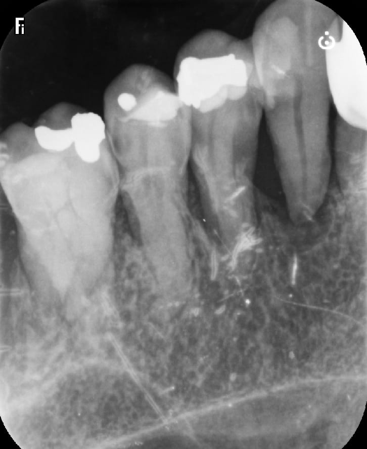
là on voit bien la double limite : la limite tres fine ne peut pas casser pcq ce n est pas elle qui evite l'enfoncement . et l'épaisseur du joint est infime .

Yv8hgt7bg0wf0lqgyrag8s7bc5ev - Eugenol

6szjws718sv1jksw54v4mpj3a6cu - Eugenol
vulpi

02/12/2022 à 07h18

Même protocole que toi, mais une séance, congée bague violette 0,18, "pointue" bague verte pour dessiner le rapport prothèse/gencive, éventuellement Touati pour quelques zones, congée bague rouge 0,18.
Pas trop de saignement, le temps de faire une prov par automoulage, puis ARP et empreinte, franchement ça justifierait pas une séance de plus.


12...