Cookie Consent byPrivacyPolicies.com2 couronnes + 1 inter - Eugenol

2 couronnes + 1 inter

Et7jtaj0pdi18gzjlxjiamlx15gs - Eugenol
Prunelles

15/12/2022 à 13h22

Ton trait horizontal, il est parallèle avec le bord inférieur de la lèvre sup ?


Vw campersurfvan bmnk1q - Eugenol
enlaye

15/12/2022 à 13h26

Sais pas . Il est parallèle à la ligne qui joint les 2 yeux .


Vw campersurfvan bmnk1q - Eugenol
enlaye

15/12/2022 à 13h28

Il est surtout perpendiculaire à l axe inter incisif qui lui est fonction de l axe vertical de la face .


Vw campersurfvan bmnk1q - Eugenol
enlaye

15/12/2022 à 13h29

J essaye ça demain , on verra


Vw campersurfvan bmnk1q - Eugenol
enlaye

16/12/2022 à 13h09

c est quoi ce bordel ? y a les photos et hop y a plus .
donc je remets celle qui est fondamentale c est celle avec les petits traits verts .
et là il y a là un truc à savoir , et , Moritooth ça peu repondre à ce que tu disais a propos des verticalprep ( orthographe a verifier ) .

lorsque tu fais une taille , il est tres important de respecter l axe que tu voudras donner à la dent future . et meme si ce n est pas pour un bridge mais que des unitaires , vaut mieux que les tailles soient bien parallèles faces par faces .
pourquoi ?
acte 1 - pcq l ordi , lui , détermine l axe d insertion en fonction de ta taille ET des dents voisines .
bon , tu me diras jusque là c est normal , sauf que pour 1 unitaire ça peu se comprendre comme pour une couronne faite à l ancienne , mais quand il y en a plusieurs , il répercute le calcul de l axe sur toutes les dents . même celles qui sont au milieu et ça c est pas comme à l ancienne .
acte 2 - toi tu commences par tracer les limites , et jusque là tout va bien .
acte 3 - tu positionnes tes dent comme tu as envie , et vas y que je tire par là , et vas y que je tourne comme ça , pour faire tout joli , jusque là ca va tjs .
acte 4 - et maintenant tu dois valider c est là que ça se complique , et que tu peux te faire fais niquer meme sans le savoir .
pcp lui , en fonction de la forme que tu lui donnes et de son axe qu il avait déterminé au préalable , et bien il va se faire un compromis et il va te déformer ton travail ou même te manger les limites si besoin .
voilà pourquoi , à mon avis , ils conseillent le chapeau pointu sans limites marquées ,.....c est pour les mains aux gros doigts :-)))

6upwtakpk6wq9bf8m3uoeeljau2f - Eugenol

Et7jtaj0pdi18gzjlxjiamlx15gs - Eugenol
Prunelles

16/12/2022 à 13h33

On vient de se faire censurer ou c'est un bogue ?


Vw campersurfvan bmnk1q - Eugenol
enlaye

16/12/2022 à 18h42

t ain on s en sort bien , pcq c est du one shot , full zircon et pas d essayage de maquette de prov , rien .
le plus long à l essayage , c est de bien repérer, l ordre du scellement après avoir mis l une puis l autre , puis essayer en mettant l autre puis l une , passer un coup de gomme caoutchouc etc etc .
et quand c est fait , on les met dans l ordre dans le plateau . bon là ça va c est gauche puis droit .

Dq8zz4lkrzgdgcfljnja2v48bu14 - Eugenol

Vw campersurfvan bmnk1q - Eugenol
enlaye

16/12/2022 à 19h52

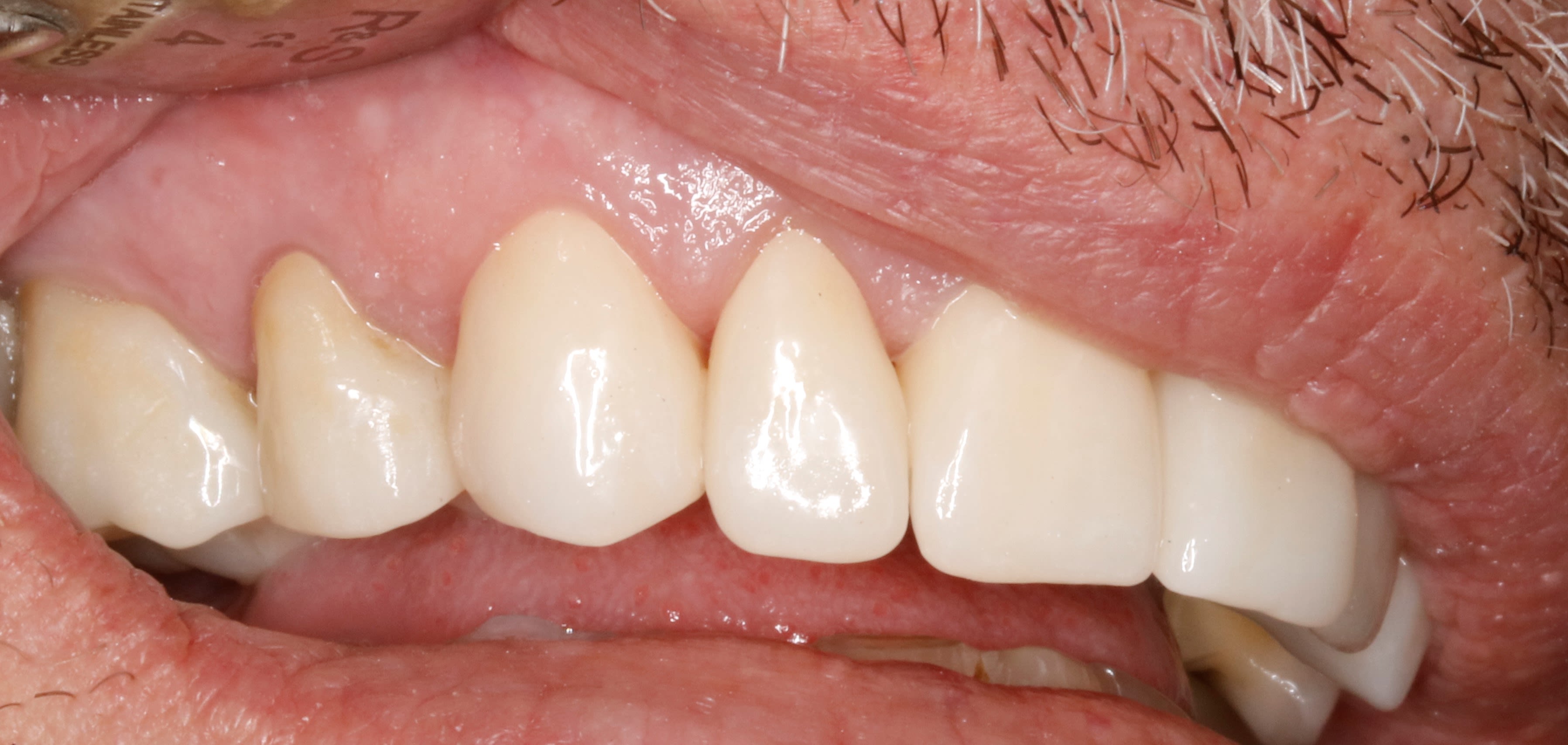
et ça donne ça .
la courbe est sympa , ça valait le coup de se fier aux 2 traits .
l axe inter incisif était bon et les dents suivent le contour des lèvres . surtout quand on aura refait 25+26 plus haut et plus vestibulé , la lèvre remontera un peu à gauche .
ça ira comme ça , on scelle .

R7glc4w6sxpnbpnb1jgwlnymi7y3 - Eugenol
B6yqqbkl9974ko8c0v65yx8iti7d - Eugenol

Vw campersurfvan bmnk1q - Eugenol
enlaye

16/12/2022 à 19h58

suis un peu court en proxi mesial de 23 , mais dans l ensemble l aspect gingival reste propre

Z1r133h21berbcqubylg8x2ioscv - Eugenol
07n8npd82a08zki99y52avb4zltc - Eugenol

Et7jtaj0pdi18gzjlxjiamlx15gs - Eugenol
Prunelles

18/12/2022 à 08h26

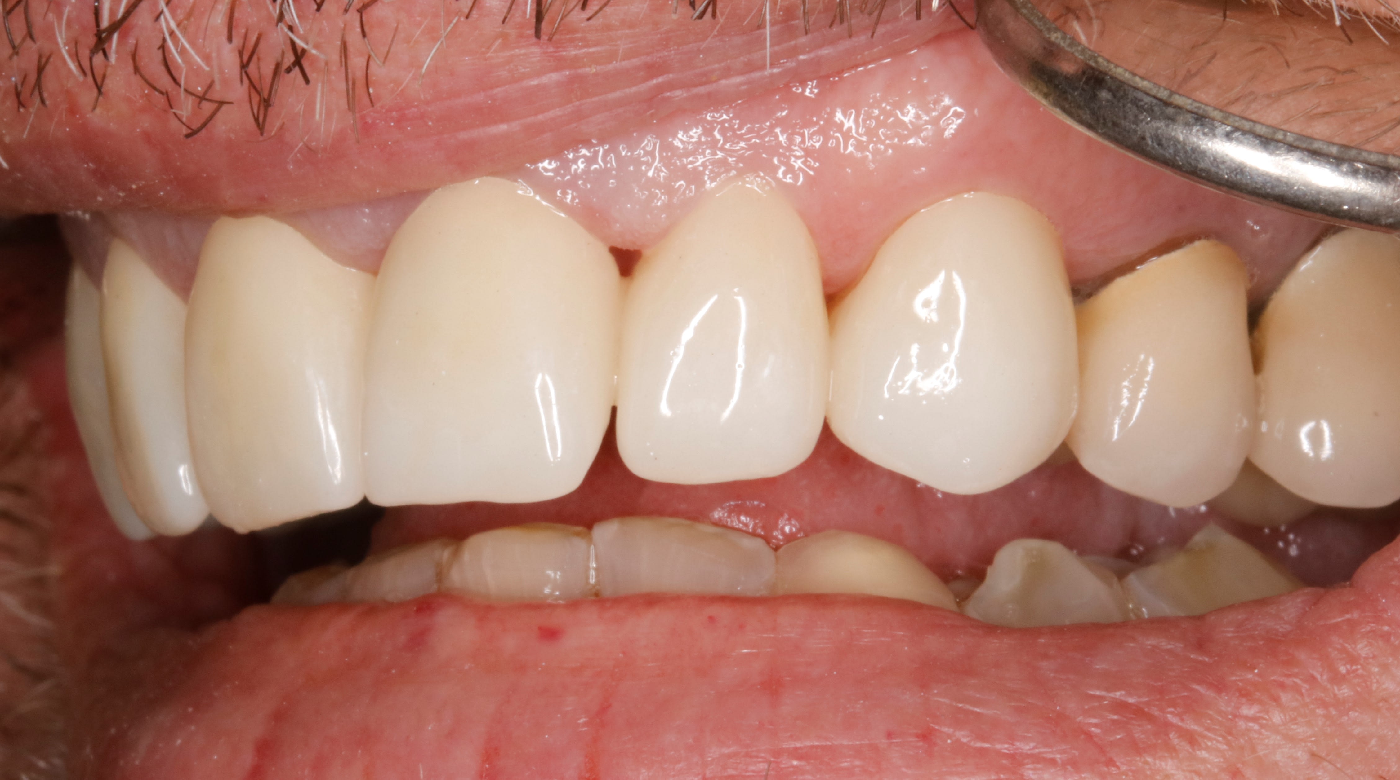
C’est chouette. Merci pour les photos !

Suis pas totalement convaincu par tes traits verticaux et horizontaux sur le putty.

Pourquoi le choix de la zircone alors que les mignons sont pas colorés et que tu aurais pu coller avec de l’Emax ?


Vw campersurfvan bmnk1q - Eugenol
enlaye

18/12/2022 à 08h42

Prunelles écrivait:
---------
" Pourquoi le choix de la zircone alors que les mignons sont pas colorés et que tu aurais pu coller avec de l’Emax ? "

Pcq je ne suis pas un encoleur :-)
Mon proto n est pas un dégourdi de la ceram , alors bof je préfère faire moi même la forme en full sur l ordi. Et le full emax , c est pas beau , y a pas de dégradé, c est vitreux , enfin les quelques unes que j ai fait.
Maintenant, si j' ai un conseil à te donner , laisses coller les autres :-). C est pas bien le scellement ?
D un point de vue paro , ça n a rien à voir , hein , le scellement ce n est pas du plastoc, et avec le fraisage le joint est super fin , surtout si tu adaptes tes tailles en fonction , c est presque la même qualité qu un inlay or .
Le collage c est arriéré maintenant , sans déconner .


Vw campersurfvan bmnk1q - Eugenol
enlaye

18/12/2022 à 09h04

Prunelles écrivait:
---------
" Suis pas totalement convaincu par tes traits verticaux et horizontaux sur le putty. "

Alors tu n es pas le seul a me dire ça , ça veut dire que j ai mal expliqué :-)
Ces trait ne n est ni plus ni moins que le ditramax appliqué à l ordi .
Le fait d avoir le trait vertical ça te précise :
- Où est le milieu de la face , comme en prothèse totale , juste pour savoir où tu devrais placer idéalement le point interincisif .
Le labo lui ne le sait pas , surtout lorsque le bas est parti en vrille .
Donc ça lui fait un repère.
- et après il y a l axe vertical , quand même , ce serait con de faire la centrale tordue. Ah oui pcq après , si la centrale est tordu , l ordi , par la gestion des insertions , lui il te fait toutes les dents tordues .
- pour ce qui est du trait horizontal, c est important aussi , comme en totale et le labo ne l a pas si tu ne lui fais pas.
Alors autant, tu peux te permettre de ne pas mettre le point interincisif au milieu, c est pas trop gênant , autant si le blocs ant n est pas aligné en fonction des yeux , c est affreux, un calamar .
Voilà c est tout , et c est déjà pas mal :-)



Et7jtaj0pdi18gzjlxjiamlx15gs - Eugenol
Prunelles

18/12/2022 à 09h15

Pour être honnête que colle quasiment pas.

Pour le choix du matériau ça doit être laboratoire dépendant.
Pour être certain d’avoir un dégradé en Emax faut malheureusement réaliser un légé cut-back sur le tiers incisif ; et donc passer sur un panier libre…
Les zircones “basiques” de mon protho font plastique. Suivant les teintes ça passe plus ou moins pour des 5.
Il propose bien des multicouches plus évolués mais qui sont plus onéreuses que les Emax.


Vw campersurfvan bmnk1q - Eugenol
enlaye

18/12/2022 à 09h37

Combien ? Et quelle marque ?


Vw campersurfvan bmnk1q - Eugenol
enlaye

18/12/2022 à 09h44

Bon , même si c est joli , le zircon c est de la merde question occlusion , on est bien d accord , hein , l imax full pareil d ailleurs .
Ça évolue avec les duretés dégradées , mais de la merde quand même.
D où l obligation , pour moi , de prendre la main sur l ordi , histoire que ça ne fracasse pas trop vite :-))
D ailleurs t y as remarqué ? je ne parle plus trop occluso , trop j ai honte :-)))


Et7jtaj0pdi18gzjlxjiamlx15gs - Eugenol
Prunelles

19/12/2022 à 08h39

C’est du zirkonzahn mais je ne connais pas les références. Me jetez pas de cailloux!

J’ai pas les tarifs exactes en tête (en plus ils vont évoluer pour 2023…) mais la “mono teinte” est à 90€ et la multicouche est à 120€. Alors que l’Emax est à 110€.

Y’a quelques années, avant le RAC0, ils proposaient une seule et unique zircone pour 85€ de mémoire. Elles étaient vraiment belles, le jour et la nuit face à une CCM basique. Mais ils avaient pas mal de casse… Bon tu connais l’histoire. Les confrères se plaignaient de fractures en bouche alors qu’en fait c’était leurs préparations/empreintes qui étaient foireuses.

Tu vas pas aimer mais ma façon de faire pour régler la position et la verticalité du milieu incisif c’est de faire de belles provisoires.
Quand je suis heureux du résultât et que le patient l’est aussi, je fait un scan de l’ensemble pour donner toutes les infos à mon protho.

D’ailleurs ton cas de 3 à 3, il est rentré chez lui tout nu ?


Vw campersurfvan bmnk1q - Eugenol
enlaye

19/12/2022 à 09h08

casser du zirkonzahn ?ah ouais , pourtant c est le top . jamais eu de casse avec lui . pourtant j ai eu fait pas mal de bridges ceram avec , donc normalement encore plus fragile pcq non massif .
regarde là , pas de tétons en métal , inter en extension , etc , et c est tranquille .
120 euro me parait être un prix correct . surtout que chez moi une full ça va de 440 à ....:-))

7lgwi387kq7q0widhs49oqo6aiyt - Eugenol

Vw campersurfvan bmnk1q - Eugenol
enlaye

19/12/2022 à 18h37

Prunelles écrivait:
---------
" D’ailleurs ton cas de 3 à 3, il est rentré chez lui tout nu ? "

non , en string :-)


Vw campersurfvan bmnk1q - Eugenol
enlaye

19/12/2022 à 19h05

Prunelles écrivait:
---------
" Tu vas pas aimer mais ma façon de faire pour régler la position et la verticalité du milieu incisif c’est de faire de belles provisoires. "

si si bien sur , et c est le but de mes 2 traits , c est justement prévu au départ pour faire faire le provisoire , le 2eme generation , la maquette .
ici c etait juste pour essayer si on voyait les traits faits au fil dentaire dans le silicone .
pcq , tu dis que tu fais un beau prov , bon je veux bien , s il y a des dents à peu près bien placées ça va , mais quand le cas t arrive que c est le bordel , avec des rattrapages d axe , de la montée de dv , des dents qui manquent , ou je ne sais quoi , tu fais comment ? :
bon , tu te braques les prov auto moulés à la forme de quand il arrive , et après tu le trafiques un peu , certes , mais tout en restant à l occlusion du jour ,
et âpres ? tu refais les provs entre les endos , entre les ic , et encore s il n y a pas de stellite à venir ( ou implant ) , à chaque fois ? tu deviens fou . et ton prov ressemble plus à rien .
c est là que c est bien d avoir directement une maquette à la nouvelle forme et à la nouvelle occlusion fait par l ordi et c est là que les traits te servent pour passer directement dans la 4eme dimension sans passer par le prov technique comme disait Sethef que tu fais au fauteuil .
en principe , je demande ic+ prov .





Vw campersurfvan bmnk1q - Eugenol
enlaye

19/12/2022 à 19h19

et puis toi , tu détermines les plans avec le prov , ok , mais le travail est déjà commencé , et ça ne t arrives pas de te dire "oh putain mais pourquoi j y ai dit oui à elle , je n' avais pas vu ceci ou celà " , à faire vite avec le raco et les vacances qui approchent ? :-)
avec les traits , tu as des indications , AVANT de commencer le travail . parfois c est mieux :-)
ce que l' on faisait avec l articu ou le ditramax .


Et7jtaj0pdi18gzjlxjiamlx15gs - Eugenol
Prunelles

20/12/2022 à 07h31

Pas faux.
Ça t’arrive encore de faire des wax-up ?

D’ailleurs, j’ai pas encore essayé, mais avec la Medit tu peux faire un scan du visage du patient pour y trouver toutes les infos que tu reprends avec tes traits verticaux et horizontaux.

https://support.medit.com/hc/fr-fr/articles/360039712451-Numérisation-du-visage


Vw campersurfvan bmnk1q - Eugenol
enlaye

21/12/2022 à 08h32

C est excellent ton truc .
il ne faut surtout pas que j ai une cam , c est un coup à ne plus vouloir arrêter de travailler , ça.:-)

Sinon , non , je ne fais plus de wax up , enfin si sur l ordi , mais ça n a rien a voir .
Ça n a rien a voir pcq pcq sur l ordi tu n as pas de sensations quand tu montes les dents , tu ne peux pas te rendre compte de l incidence de la forme sur le mouvement induit. C est statique l ordi .
C est un coup a raisonner comme un ortho , cad sans y intégrer le mouvement , ce serait une évolution dommageable.

Ce qui m impressionne c est que chaque petit détail dans la forme d une dent sert a quelque chose , c est fantastique comme on est bien fait .
C est là que tu comprends que le le mouvement mandibulaire est en fait formé par la somme de pleins de petits mouvements dissociables qui s ajoutent .
Et ces petits mouvements sont a chaque fois induits pas des petits contacts ou plutôt des petits glissements qui informent le cerveau de la position mandibulaire en fonction des dents . C est ça le petit détail des formes dont je parlais .
Donc lorsque tu recontruis une arcade , fatalement tu réduis les mouvements mandibulaires .
Et donc plus tu touches de dents d une arcade , moins tu reconstruis une fonction .
Alors pour revenir au wax UP , c était vraiment formateur , pcq les modèles tu les tenais dans les mains , tu pouvais ressentir les choses .
Souvent lorsque je rencontre des étudiants que j ai eu , les souvenirs qu ils ont gardés des TP , c est les TP de wax . Certes c était cool , mais il n y a pas que ça , en tout cas ils en sont reconnaissants .
Pour résumer l ordi a des outils très puissants , c est fantastique comme ça évolue , mais mais , encore faut il savoir quoi en faire de ces outils :-))


Et7jtaj0pdi18gzjlxjiamlx15gs - Eugenol
Prunelles

21/12/2022 à 09h42

Pour avoir été moniteur de morpho.
Tu me donnerais presque l’envie d’aller secouer la souris chez mon protho.


Vw campersurfvan bmnk1q - Eugenol
enlaye

21/12/2022 à 10h09

Ah oui , moniteur de morpho? donc tu comprends ce que je raconte , pour ça :-)
Alors oui ça vaut tjs le coup d aller au labo , et je vais même te dire mieux , le proto sera content et t en sera reconnaissant .
A ce propos , on dit que le fraisage est hyper précis , c est vrai , mais pcq il y a un mais , quand même , il est hyper précis avec les données que l ordi lui envoie , mais ces données ne sont pas exactement celles du dessin sur l écran .
Tu vois la nuance ??
Donc suivant le logiciel , il faut anticiper sur la forme . La forme finale ne correspond pas tjs à ce que tu avais cru voir .
J ai surtout remarqué ça sur les formes cingulaires des incisives .
Pcq c est le plus évident à voir , ailleurs ça doit être pareil .


Vw campersurfvan bmnk1q - Eugenol
enlaye

21/12/2022 à 10h11

.