Cookie Consent byPrivacyPolicies.comCas femme 32 ans , Toxico sous traitement - Eugenol

Cas femme 32 ans , Toxico sous traitement

Utilisateur banni

16/12/2022 à 19h12

casa écrivait:
----
> Bien sur qu'il faut faire et heureusement .... fripouille , tu condamnes donc
> cette jeune femme à une exclusion de le société parce que tu prends le risque de
> perdre du temps et de l'argent ... ?

C’est ce qui nous différencie effectivement. :) . Je regarde la vérité en face comme d’ailleurs pour le reste au demeurant.


Hok 1b hgd3rj - Eugenol
Hokusai

16/12/2022 à 19h15

vulpi écrivait:
-----
> On a un cas à traiter!!!

avec ce qu il reste en haut (la 27 11 21 13)... on peut faire des complets provisoires immediats avec une petite maquette d occ mandibulaire.

apres tu rebases qq fois au rebaron...

ce qu il manque quand meme a medit link... c est un arc facial numerique qu on pourrait importer dans le logiciel... tu pourrais monter ton modele sup parfaitement dans ce cas la.


6szjws718sv1jksw54v4mpj3a6cu - Eugenol
vulpi

16/12/2022 à 19h18

C'est pour cela que mes questions sont pour les définitives 😉


Hok 1b hgd3rj - Eugenol
Hokusai

16/12/2022 à 19h24

vulpi écrivait:
-----
> C'est pour cela que mes questions sont pour les définitives 😉

avec les provisoires, tu valides la rim... mais pour le plan d occlusion, vu que tu n as pas d arc facial medit. tu dois passer par une maquette d occ sup.
le truc c est de regler ta maquette sup plan de fox + cuillere de schreinmaker, levre sup+sourire... de matcher ta maquette avec le modele sup... mais d enregister la rim avec les provisoires.

sauf si tu tombes deja avec un plan d occlusion nickel en provisoire... ou tres proche du vrai, que tu regles avec des cales de cire.

perso dans ce type de cas, avec les prov je recherche surtout la rim... que j affine a la levee des fils reglage rebasages... et en définitif, le plan d occlusion le sourire le soutien de la levre sup.

(la t as quand meme la 21 presente presque indemne en normo-position... c est un cas ultra simple ;)


Vw campersurfvan bmnk1q - Eugenol
enlaye

17/12/2022 à 08h10

paulru écrivait:
------
....... Il écrivait que depuis la cam , les gens s endorment et se réveillent pleins de dents en toute discrétion , que la cicatrisation est fulgurante et indolore , que les labos savent enfin faire des appareils en 2 temps 3 mouvements , mais alors tranquillement , tac tac badaboum .
Paulru , t es mon idole tu me fais rêver .


bouboule

17/12/2022 à 09h17

Les racines en dessous sont toutes HS? Déjà eu quelques toxicos repentis , le dessous était moins laid que l’apparent…
Quand on arrive à les motiver ( ou plutôt quand ils ont décidé de se remettre à l’endroit) c’est des plans de traitement top! Et on a un réel impact sur la vie du malheureux …
Bon par contre pour ma part, c’est sans amovible comme toujours…


Orezza gazeuse verre litre ocoxey - Eugenol
casa

17/12/2022 à 09h43

Alors je n'ai pas fait encore de pano , j'ai paré au plus pressé en faisant les prises d'empreintes pendant l'anesthésie ... A priori j'ai bien envie de lui garder certaines dents ( enfin celles où il reste une forme de dent ...) parce qu'elle pèse 45 kg tout habillée et qu'à mon avis si on lui enlève tout dans 10 ans elle n'a plus d'os ...On verra . Pour tous ceux qui ont tendance à dire : je ne fais pas pcq : elle ne va pas venir , sont pas sérieux ..imaginez 2 mn l'avenir de cette jeune femme avec un tel sourire et dans notre société où l'apparence a pris une importance disproportionnée . Elle a au moins une fille , imaginez l'avenir de cette fille . Alors oui , elle va utiliser la générosité nationale pour se reconstruire , oui elle a déconné grave mais elle est jeune , elle est polie , elle est "jolie" ( dans un autre contexte , elle serait même très jolie) , perso ,je suis contente que la société puisse permettre à ce type de personne d'avoir une chance de repartir et si on peut aider ... Ne pas le faire serait la condamner à perpétuité ( et sans doute sa descendance ..)


Ylfwcw979cz1jnx9gfqeaxndiuzk - Eugenol
Algi

17/12/2022 à 09h44

+1 avec bouboule, garder quelques ratiches pour stabiliser les ppa avant de passer au complet me semblerait pas mal, possibilité de réaliser un travail évolutif même si on se doute de la fin de l'histoire.

Et au cas où penser à un truc progressif au niveau du palais... pas certain que le complet soit accepté d'emblée.


--

On a toujours le choix mais entre quoi et quoi?
Vas-y boulégue et l'avenir te le dira!


Hok 1b hgd3rj - Eugenol
Hokusai

17/12/2022 à 09h51

casa écrivait:
----
> elle est "jolie" ( dans un autre contexte , elle serait même
> très jolie)

... alors ca va.
elle serait moche et sans enfant par contre... :)))


6szjws718sv1jksw54v4mpj3a6cu - Eugenol
vulpi

17/12/2022 à 10h08

Algi écrivait:
----

> Et au cas où penser à un truc progressif au niveau du palais... pas certain que
> le complet soit accepté d'emblée.
>
C'est souvent un problème, effectivement.


Hok 1b hgd3rj - Eugenol
Hokusai

17/12/2022 à 10h16

je vois que vous voulez grater qq coiffes solvabilisees par le contribuable ... pour passer au complet dans 24 mois... bonne stratégie.
c est important de fideliser pour faire du volume.


6szjws718sv1jksw54v4mpj3a6cu - Eugenol
vulpi

17/12/2022 à 10h26

Bin c'est l'intérêt du rac0 et autres soins gratuits... non?🤔 Même pour la prise de teinte je me fais plus chier 🤣


Ylfwcw979cz1jnx9gfqeaxndiuzk - Eugenol
Algi

18/12/2022 à 02h09

Hokusai écrivait:
-------
> je vois que vous voulez grater qq coiffes solvabilisees par le contribuable ...
> pour passer au complet dans 24 mois...

Pourquoi nécessairement des coiffes?
Tout de suite les gros mots et l'appat du gain comme raison invoquée, si possible aux frais se la princesse ...

T'en fait souvent des cas CSS ? Et quand bien même tu les traite comme des sous hommes?

Perso je vois le traumatisme psychologique de perdre les quelques dents qui restent et de devoir passer du jour au lendemain à un machin qui te donne envie de gerber et tient peut-être ou pas meme avec de la colle.

Un des moyens de garder et fidéliser ces patients abîmés par la vie est justement de faire preuve de respect envers leur personne et ça n'a rien de mercantile car quand tu les garde certes ils sont reconnaissants mais très peu rentables...

Donc respect casa de continuer à y croire.
--

On a toujours le choix mais entre quoi et quoi?
Vas-y boulégue et l'avenir te le dira!


Utilisateur banni

18/12/2022 à 06h43

De toute façon 13 et 27 n’ont visiblement pas de caries donc autant les garder .
Par contre à la mandibule vous pouvez vous amuser à conserver ses incisives, ça ne fera pas long feu.

Quand je lis le commentaire d’ Adhoc avec son histoire d’un carton plein de prothèses amovibles non posées, ça laisse songeur … je vais poser une question aux syndicats et aux gens qui travaillent pour la sécu , est ce que c’est normal :
1) qu’on ne puisse pas signaler et sanctionner les patients qui n’ont aucun respect envers les soignants et qui s’amusent à se faire fabriquer des prothèses pour ensuite ne pas venir.
2) une prothèse non posée devrait être remboursée par la secu. Donc normalement nous devrions pouvoir envoyer les prothèses à la sécu, et être remboursés. Et ensuite la sécu devrait se retourner contre le patient : on retire les droits de remboursement , et on récupère l’argent sur le compte du patient.
=> Tant que ça ne sera pas fait un certain nombre de praticiens dont je fais partie ne prendront plus ces patients.
Idem on devrait pouvoir signaler à la sécu les petits enculés :
- qui se font poser des prothèses sans avoir d’argent sur leurs comptes. « Ahhhh mince excusez moi j’ai oublié mon carnet de chèques ou ma carte, ou alors c’est chèque en bois »
=> cela s’appelle du vol. Là idem on devrait pouvoir les signaler et leur retirer leurs droits.

On n’a aucune pitié pour nous quand on se fait voler, en retour il ne faut avoir aucune pitié pour les patients qui sont susceptibles de nous la mettre à l’envers. C’est pas grave « c’est un dentiste il a de l’argent » .


bouboule

18/12/2022 à 08h08

Les cas où j’ai le plus pris mon pied depuis le début de mon exercice sont des cas comme celui-là! C’est bien dommage de partir perdant en se disant que ça va foirer…
Moi je raisonne à l’inverse… si le gus ose se présenter chez moi dans cet état malgré la honte qu’il doit avoir à supporter, c’est que c’est peut être pas mort! ( je ne parle pas de la consult d’urgence, mais de celle où il vient appeler au secours)
J’ai un discours plutôt rodé et transparent avec ceux là. En gros je leur promets la guerre et l’intransigeance :-) . Et après je jauge leur réaction. Ben c’est pas toujours celle qu’on imagine.
Y en a certain qui fuient... on peut pas sauver tout le monde.
D’autres qui mettent du temps à revenir avant de se transformer en machine et enfin celui qui sort le chéquier et qui te lâche 5000 balles direct en te disant de les encaisser pour bien voire qu’il est solvable et qu’il te plantera pas ( c’est du vécu ).

Ne faisant pas de RAC0 je ne maîtrise évidement pas la problématique des prothèses tiroirs.
Mais je pense malgré tout que partir perdant sur ce genre de cas est une grossière erreur …


Hok 1b hgd3rj - Eugenol
Hokusai

18/12/2022 à 08h32

Algi écrivait:
----
> T'en fait souvent des cas CSS ? Et quand bien même tu les traite comme des sous
> hommes?

je troll
des cas comme celui la j en ai un par mois... ce sont des cas faciles.
deux series d empreintes... alginate.
puis je m imprime des pei + maquette d occ avec mon imprimante 3d
re alginate + rim...
les avulsions cueillette , la pose des complets prov, le rebasage directement au rebaron si besoin, polissage (l occlusion je fais plutot a la levee des fils), une seance avec de la musique douce et on parle meteo... en 45 min ils voient leur nouveau sourire, ils sont contents et soulagés.

je sais plus quel intervenant disait qu elle repartait avec des nouvelles dents mais c est le cas...

pour l histoire du complet haut qui tient pas ou qui est dur à supporter... bon bin c est la vie... mais en 15j c est plie, meme en provisoire avec un pei ou tu t appliques a faire le post damn a la pate de kerr.

mes cas c est plutot des cas paro terminale... la c est vrai qu en sup y a une molaire deux incisves une canine a conserver... oui pourquoi pas.

les dents stratégiques a conserver sont quand meme en bas.


Vw campersurfvan bmnk1q - Eugenol
enlaye

18/12/2022 à 10h09

:-)))) presque je garde tout :-)


bouboule

18/12/2022 à 10h19

enlaye écrivait:
------
> :-)))) presque je garde tout :-)

Je suis curieux de voir la pano… faut pas les enterrer trop vite toutes ces racines :-)


Vw campersurfvan bmnk1q - Eugenol
enlaye

19/12/2022 à 07h07

Casa , pour les mêmes edentations , il y a 2 styles de cas en prothèse mixtes :
- le cas où il y a une perte de dvo post
- le cas où il n y a pas encore de perte de dvo post comme ici .
Le 1er est ingérable, c est prothèse totale obligatoire
Le 2 ème comme le tien , c est faisable .
Faut bien comprendre que dans la prothèse mixte , le calage occlusal avec une prothèse mobile , c est une vue de l esprit , une légende , c est zobi .
Le calage est la recherche de la proprioception maximale . Donc uniquement sur les dents restantes .
Donc si tu dois rehausser derrière pcq tu ne passes pas , c est mort , ça ne marche pas .
Ici elle est jeune , tu as de la hauteur , les edentations sont symétriques , tu as de l os autour des racines , c est jouable .


Utilisateur banni

29/12/2022 à 16h54

casa écrivait:
----
> Le RAC O va la sauver ...

Lui aussi le RAC0 l’a sauvé. :) une lésion sous chaque couronne

8snzqjv29n86zb00devpl52w0ual - Eugenol

Hok 1b hgd3rj - Eugenol
Hokusai

29/12/2022 à 19h04

je reconnais bien la la dentisterie francaise... le systeme de sante que le monde entier nous envie... (ou pas ;)

la mutuelle du cab +7% au 1er janvier ;) ca vaut vraiment tellement le cout !!


Gabzou

30/12/2022 à 01h27

Je n'ai pas l'impression que la qualité des soins soit tellement meilleure quand je vois ce qui revient de l'étranger. Pas certain qu'il y ait un si gros rapport.


6szjws718sv1jksw54v4mpj3a6cu - Eugenol
vulpi

30/12/2022 à 08h48

J'ai eu une patiente, quand je l'ai récupéré sous ses couronnes c'était un endo une pêche. Comme les autres "c'est des cons" j'ai persévéré dans ce sens et au niveau des M et PM que j'ai traité, bah... j'ai pas fait mieux. C'est pas si simple, il doit y avoir une question de terrain parfois.
Elle est très satisfaite de ses implants 😉
La réciproque existe aussi, des endos non conformes radiologiquement et RAS.


Orezza gazeuse verre litre ocoxey - Eugenol
casa

05/01/2023 à 15h56

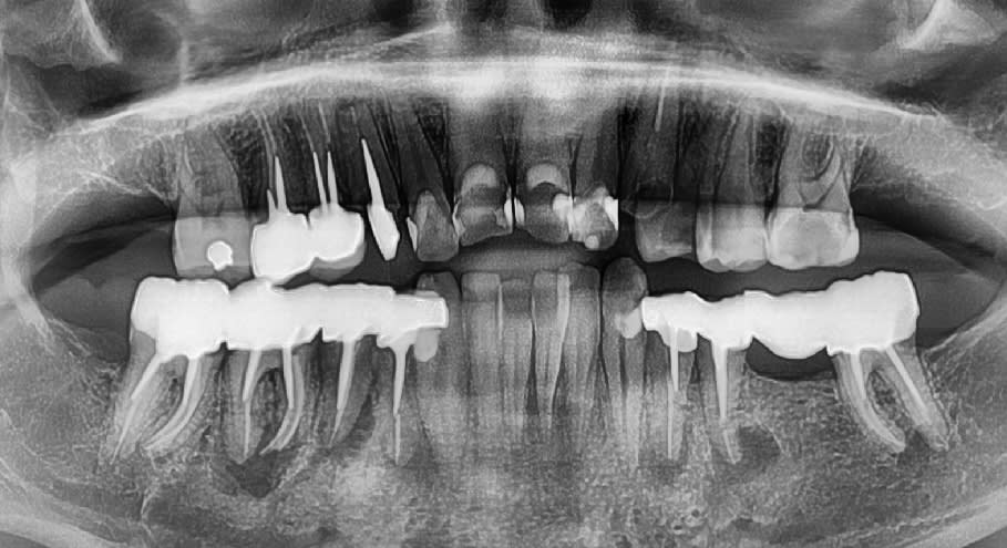
Je vous mets la pano ... avec des surprises . On vire tout , ou presque ?

9f9h772r8lvwdq28gngg88worswt - Eugenol

Et7jtaj0pdi18gzjlxjiamlx15gs - Eugenol
Prunelles

05/01/2023 à 16h32

Je ferais mon maximum pour conserver 33 et 43 pour placer un partiel en bas et un complet en ht.


12