Cookie Consent byPrivacyPolicies.comIdentification Implant - Eugenol

Identification Implant

Zoubi

06/01/2023 à 10h42

Bonjour à tous et surtout bonne année.

En espérant que la reprise est bonne pour ceux qui se sont arrêtés.
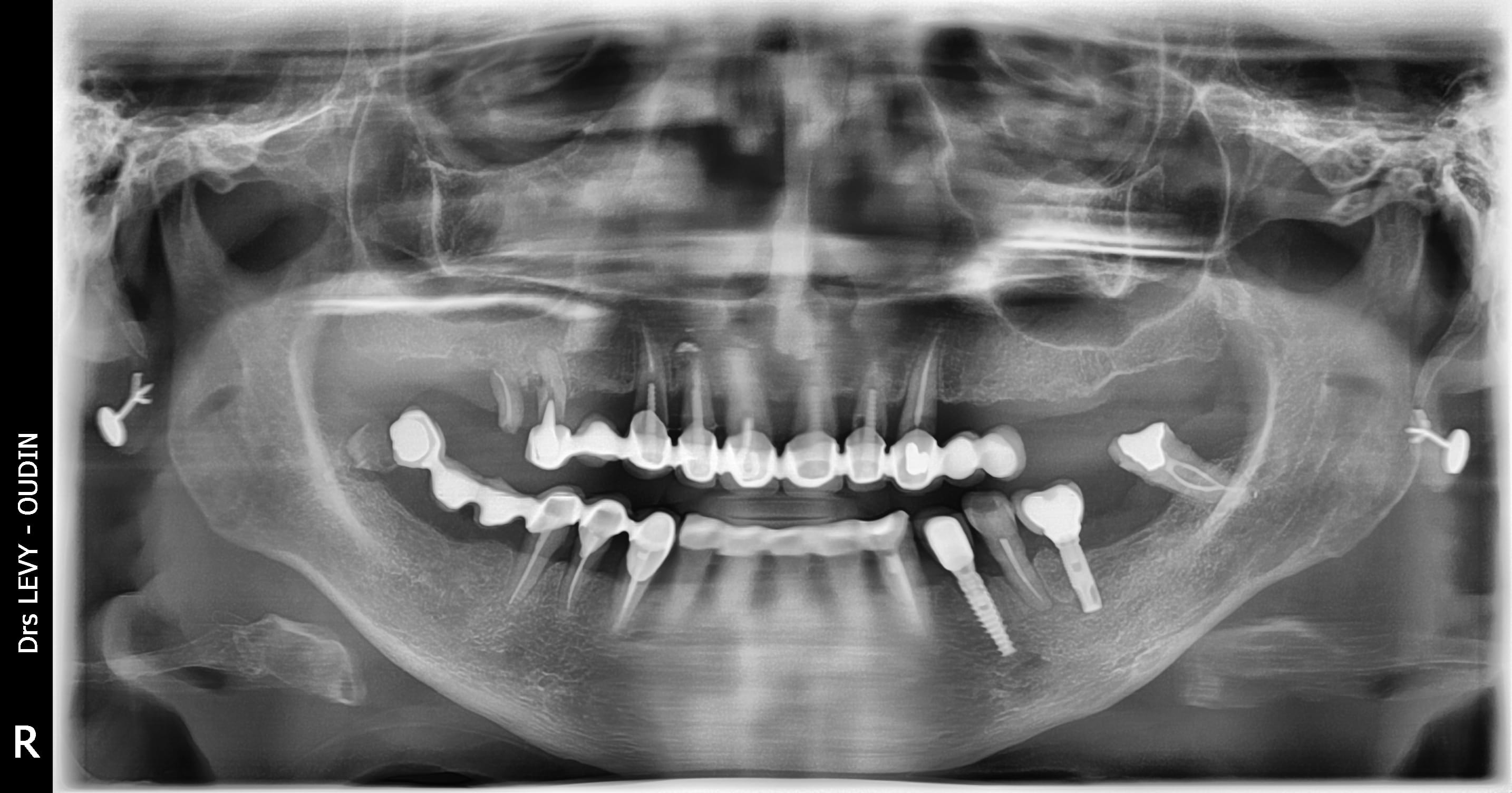
Avant de pouvoir payer ma facture d'éléctricité, si une âme charitable pouvait m'identifier l'implant 34 (36 est un branemark je pense), celà m'aiderait grandement.

Merci

Dvw6b6tpok5u6sejg2pc36amz38g - Eugenol

Photo pluton1b h9n4ea - Eugenol
pluton

06/01/2023 à 11h16

rétro stp


Zoubi

13/01/2023 à 10h29

Bonjour,

Merci de ta réactivité , désolé mauvaise rétro.

Wnfvz0wy92g88dy4bz5s0tcvn5pi - Eugenol
7prue20u7lr5zx6x5hwx8r82uilh - Eugenol