Cookie Consent byPrivacyPolicies.comIdentification implant - Eugenol

Identification implant

Dentiste06200

30/01/2023 à 12h46

Bonjour,
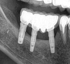
J'ai besoin de votre aide afin d'identifier les implants de mon patient.
Navrée, aucune rétro alvéolaire.
Mais si qqun à une piste. Je suis preneuse
J'attend vos retours

V1enjjfo6ooa6ts2767dk78t76dt - Eugenol