Cookie Consent byPrivacyPolicies.comreconnaissance implant - Eugenol

reconnaissance implant

olivier13009

07/02/2023 à 12h30

Bonjour

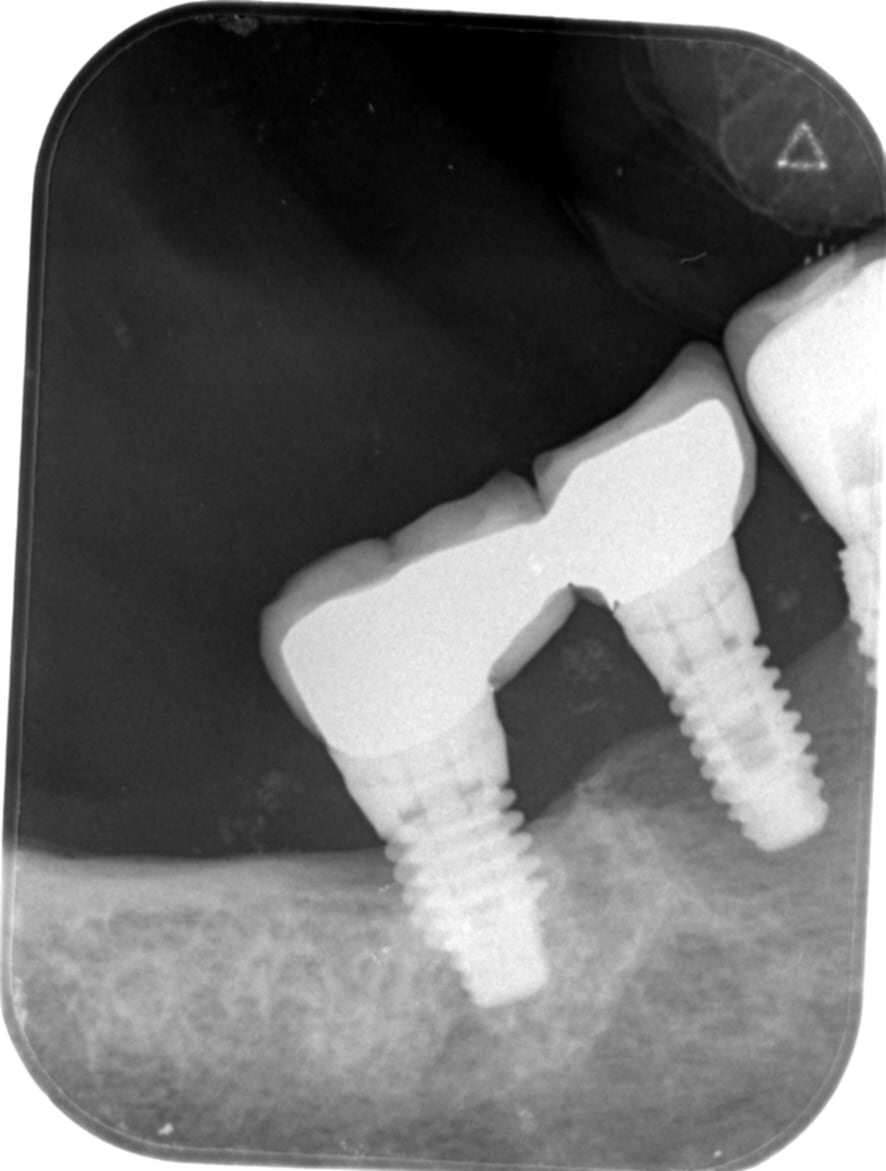
Reconnaissez vous ces implants . Le mesial a été enlevé mais je garde la distal et je dois refaire une couronne .

42y1ib4sby5e7j2kadoi8t4yk1w5 - Eugenol

Photo pluton1b h9n4ea - Eugenol
pluton

07/02/2023 à 13h27

Et il ne t’es pas venu à l’esprit de démonter la couronne sur le premier pour pouvoir donner en plus des informations sur le type de connexion…..
Et la radio n’est pas super bien orthogonale donc ça me laisse dans les 150 correspondances….


olivier13009

07/02/2023 à 13h41

plus orthogoanle mais de l autre cote je pensais à des implants dentium


olivier13009

07/02/2023 à 13h41

voila


olivier13009

07/02/2023 à 13h41

voila

3iumbrxxeoq9p9h59ow3bt6fbuw7 - Eugenol