Cookie Consent byPrivacyPolicies.comla malédiction du rayon X - Eugenol

la malédiction du rayon X

Et7jtaj0pdi18gzjlxjiamlx15gs - Eugenol
Prunelles

08/02/2023 à 20h03

Du coup, t’as fait ta radio pour prouver que papa est bien dans maman.
Ça prouve quoi sur une radio 2D ?


Utilisateur banni

08/02/2023 à 20h51

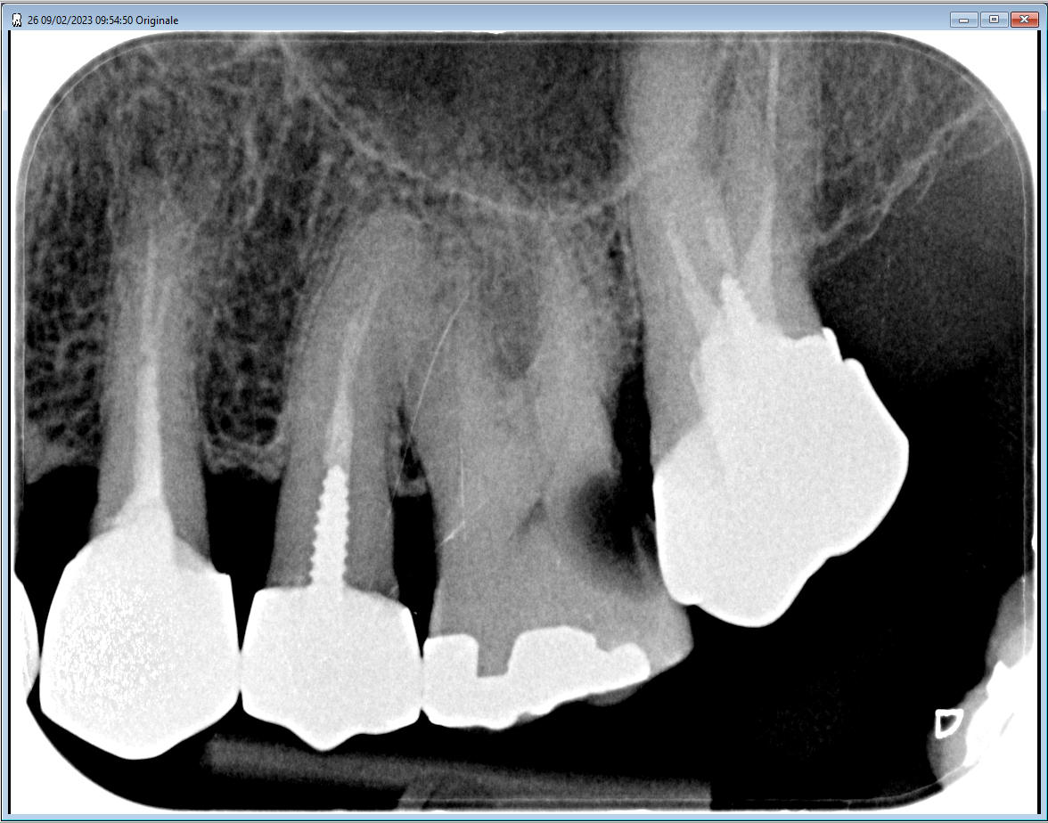
Tu vois généralement les merdes juste avec une 2D . (Concernant l’inlay core et son axe)
Je ne dis pas que le risque est nul. Mais quand tu vois un tenon dans l’axe en 2 D tu as des fortes probabilités que le travail est bien fait …

Si j’étais inspecteur des travaux finis , je demanderais la radio inlay core en place en tout cas.


Vw campersurfvan bmnk1q - Eugenol
enlaye

08/02/2023 à 20h54

rapelapente écrivait:
-----------
" C'est pour la préparation du tenon qu'ils me demandaient les clichés. "

Compris ! Ils veulent surtout savoir si tu ne recomptes pas un tenon déjà existant .
Pareil la nouvelle norme dit que l on ne doit plus te faire faire des radios si c est pour une raison administrative.



Vw campersurfvan bmnk1q - Eugenol
enlaye

08/02/2023 à 20h57

Fripouille écrivait:
------------
"Si j’étais inspecteur des travaux finis , je demanderais la radio inlay core en place en tout cas."

Ah oui ? Ben moi je fais des Richmond et je t emmerde :-)
Tu répondrais quoi ?


Utilisateur banni

08/02/2023 à 21h15

enlaye écrivait:
------
> Fripouille écrivait:
> ------------
> "Si j’étais inspecteur des travaux finis , je demanderais la radio inlay core
> en place en tout cas."
>
> Ah oui ? Ben moi je fais des Richmond et je t emmerde :-)
> Tu répondrais quoi ?

Moi je prends la radio inlay core + couronne car je scelle tout en même temps. Plus conservation de la facture.
Comme ça l’inspecteur des travaux finis peut se masturber en regardant mon travail :)
On m’a déjà demandé des justifications pour tel ou tel acte. Ils comprennent très vite qu’ils ne peuvent pas me baiser.
Ça m’arrive même de prendre des photos pour justifier que je couronne telle ou telle dent.

Mais honnêtement je ne le fais pas pour eux ni pour moi, je le fais surtout pour les petits enculés de patients qui peuvent s’amuser à aller se plaindre.
Une fois j’ai eu une sale vicieuse qui avait une énorme pêche sur une PM qui est venue . Je lui traité , je lui ai retraité. Toujours la pêche. Extraction implantation. Cette connasse est allée se plaindre . Ils n’ont pas pu me baiser car j’avais toutes les preuves. Par contre quand elle est revenue pour une autre dent, j’ai laissé la patiente dans sa merde avec un très grand plaisir.


Vw campersurfvan bmnk1q - Eugenol
enlaye

08/02/2023 à 22h07

Ce qui est rigolo , c est que quand tu les as sur le fauteuil les CDC , y font pas les mac , ils se caguent comme les autres .


Hok 1b hgd3rj - Eugenol
Hokusai

09/02/2023 à 05h31

enlaye écrivait:
------
> Fripouille écrivait:
> ------------
> "Si j’étais inspecteur des travaux finis , je demanderais la radio inlay core
> en place en tout cas."
>
> Ah oui ? Ben moi je fais des Richmond et je t emmerde :-)
> Tu répondrais quoi ?
>

les richmond c est pas hn ? sinon c est quoi le code ccam des richmond ?


Vw campersurfvan bmnk1q - Eugenol
enlaye

09/02/2023 à 07h01

C est pas hn c est hybride. :-)


Vw campersurfvan bmnk1q - Eugenol
enlaye

09/02/2023 à 07h03

Sinon avec les radio molles , vous exposez à combien ?


Utilisateur banni

09/02/2023 à 07h34

enlaye écrivait:
------
> Ce qui est rigolo , c est que quand tu les as sur le fauteuil les CDC , y font
> pas les mac , ils se caguent comme les autres .

Oui enfin je suis obligé de constater que notre profession est gangrenée par la malhonnêteté. Donc heureusement qu’ils sont là. Je dirais même que visiblement il y en a pas assez
Quand je vois un certain Guedj truander comme il l’a fait pendant plusieurs années, il y a un petit problème.
Quand je vois Élise Ducet qui montre des centres voler la Secu. Notamment on voit à un moment un dentiste faire une empreinte pour une gouttière, faire un cône beam non justifié, une proposition de surfaçage non justifié , avec une cotation de la gouttière alors qu’elle n’a jamais été fabriquée ni posée, il y a un léger problème.
Et je suis obligé de noter que moi même j’ai pu constater que tout ceci existe. Et pas que dans les centres low cost


Vw campersurfvan bmnk1q - Eugenol
enlaye

09/02/2023 à 08h11

Certes mais ça ne résoudra pas mon pb de rayon X


Hok 1b hgd3rj - Eugenol
Hokusai

09/02/2023 à 08h16

enlaye écrivait:
------
> Sinon avec les radio molles , vous exposez à combien ?

0.1s 70kv 8mA


Et7jtaj0pdi18gzjlxjiamlx15gs - Eugenol
Prunelles

09/02/2023 à 08h33

Sur capteur : 0.08s 60kV 8mA


Vw campersurfvan bmnk1q - Eugenol
enlaye

09/02/2023 à 08h55

voilà mes réglages par défaut

Khbmmqgn28sc3tuy1fzqzy3qlemj - Eugenol

Utilisateur banni

09/02/2023 à 09h05

Moi je suis à 0,2 s
65 kV
7mA
Pour lecture de plaque


Hok 1b hgd3rj - Eugenol
Hokusai

09/02/2023 à 10h06

la par exemple a l'instant:
0.08s 70kv 8mA

film de 2015 un peu rayé que j'ai pas envie de changer dans le sens ou je viens de regler 300e de pcr + 440e de cotis ordinale + 3000e de taxe sur les salaires... (pour faire des endos a 40e + rac0 ;)

98e0li7tg67x3u06md2ml6vcfmhs - Eugenol

Bebe 038 nf8eum - Eugenol
danteyeah

09/02/2023 à 10h47

Ta 7200, elle est reliée au PC par USB ? Peut-on balancer un capteur filaire sur cette prise du coup ? Si oui je passe avec mon capteur et on vérifie si c'est bien la 7200 qui merdoie et pas un réglage foireux du CS imaging, ou un "trouble du cône". Dis moi !


Et7jtaj0pdi18gzjlxjiamlx15gs - Eugenol
Prunelles

09/02/2023 à 10h53

Je suis un surpris par le temps d'exposition d'Enlaye.
0.4s ca me parait énorme.


Hok 1b hgd3rj - Eugenol
Hokusai

09/02/2023 à 11h04

c'est de la radiothérapie ;)

Prunelles écrivait:
---------
> ca me parait énorme.

O1weyizefpuq4fxsag842dkcny4k - Eugenol

Vw campersurfvan bmnk1q - Eugenol
enlaye

09/02/2023 à 12h52

t' ain Fripouille , tu m as porté le noir , un cdc vient de m appeler , il vient me contrôler , ça va mal finir , mais ce coup ci , je ne mettrais pas d orgeat dans le pastis , c est ça qui m avait fait du mal :-))))


Rape p0as4f - Eugenol
rapelapente

09/02/2023 à 13h06

Il t'a appelé ? ??
Moi on ne se parle pas.
On communique par LRAR...


--
Schooner For Ever


Vw campersurfvan bmnk1q - Eugenol
enlaye

09/02/2023 à 17h25

une LRAR pour aller prendre l apero sur le port ?


Rape p0as4f - Eugenol
rapelapente

09/02/2023 à 17h40

WTF !


--
Schooner For Ever


Vw campersurfvan bmnk1q - Eugenol
enlaye

09/02/2023 à 17h50

danteyeah écrivait:
---------
" Ta 7200, elle est reliée au PC par USB ? "
tu m as peut être sauvé à distance :-) :
j ai regardé derrière la boite , j ai tiré le fil pour voir et c est bien une prise usb petitoune genre usb téléphone .
je l ai remise et depuis j ai l impression que ça marche mieux . maintenant j expose à 0.250 et le trait d exposition est vert alors qu' avant à 0.25 c était impossible .
un pb de prise mal connectée ? va savoir


Fl08hpe6r279rwm5f108qu6lbfj7 - Eugenol

Vw campersurfvan bmnk1q - Eugenol
enlaye

09/02/2023 à 19h27

Rap , me suis renseigné .
les seules radio administratives obligatoires sont :
-pour une dds incluse et pour un kyste .
- après on peut te demander des radio facturées puisque tu les as prises
- et éventuellement te demander une radio que tu aurais du ou pu prendre sans la facturer .
par exemple si tu fais des milliards d endos sans radio d avant , ou des tonnes d ic sans radio d endo , ils se disent : lui il est super fort , et ils voudraient savoir comment est ce possible d etre si fort à ce point .
bon heuuu , c est résumé de souvenir , entre le rouleau de printemps et le bœuf noix de cajou de tout à l heure .