Cookie Consent byPrivacyPolicies.comdouleurs compliquées - Eugenol

douleurs compliquées

Vw campersurfvan bmnk1q - Eugenol
enlaye

09/02/2023 à 09h12

je fais encore appel à vous , mais en urgence cette fois ci .

gonzesse la cinquantaine vue en urgence , lundi .
" mal aux dents du bas région molaire , + gène aux ganglions + gene à la base de la langue , n arrive plus à dormir ", c est à peu près ce qu' elle me dit .
- pas de pulpite nette , 47 très sensible à la percutions .gros compo dessus .
- intralig , anesthésie facile j ouvre et hop pulpo .
- nuit terrible ,elle revient au cab le lendemain de la pulpo , je finis l endo sans douleurs , tranquille .
dans la nuit trismus , douleurs ++ , langue , ganglions .
la dent n est absolument pas sensible à la fermeture .
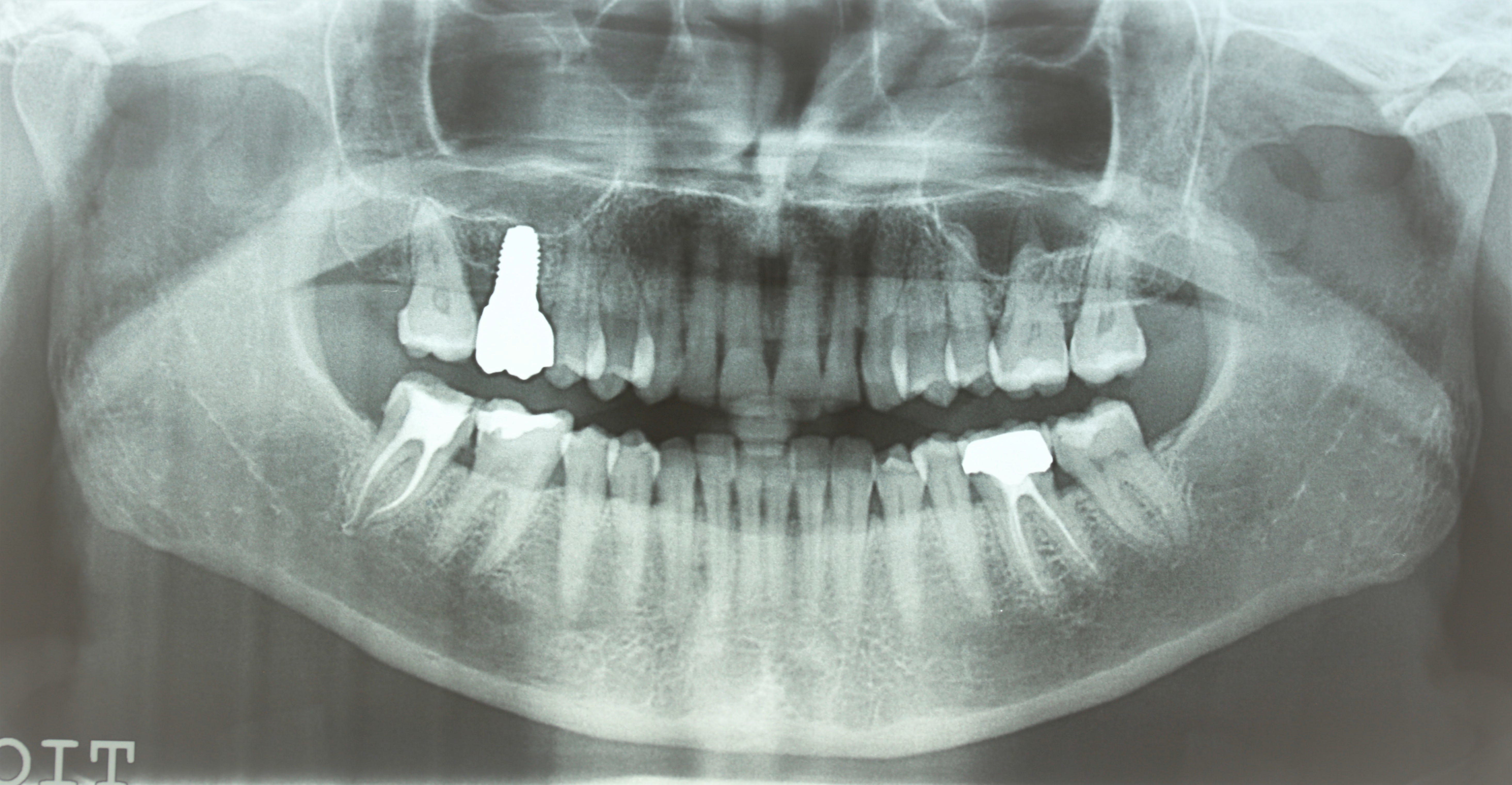
je lui demande de passer une pano que voilà hier aprem .
on voit une tache en region de dds , un artefact ou pb ?
vous pensez à quoi ?

H5vnovk7gq7uqlo4wq085lfl6mg6 - Eugenol

Sunkaluna

09/02/2023 à 09h33

t'as pas une image sous ta 46 (belle sphère)?


6szjws718sv1jksw54v4mpj3a6cu - Eugenol
vulpi

09/02/2023 à 09h36

Tu n'aurais pas une reprise de carie 46 D?


6szjws718sv1jksw54v4mpj3a6cu - Eugenol
vulpi

09/02/2023 à 10h05

Ce qui cloche, c'est que l'on s'attendrait à une nécrose et tu fais une bio visiblement...


Utilisateur banni

09/02/2023 à 10h12

C’est parce que t’as mal réglé l’occlusion de 47 :)))


Bebe 038 nf8eum - Eugenol
danteyeah

09/02/2023 à 10h23

enlaye écrivait:
------

> je lui demande de passer une pano que voilà hier aprem .
> on voit une tache en region de dds , un artefact ou pb ?
> vous pensez à quoi ?

Y'a rien derrière, mais carie distale sur 46 et surtout crado entre 47 et 46, du coup possible que 2 intralig en 2 jours aient inflamé le secteur.
>


Et7jtaj0pdi18gzjlxjiamlx15gs - Eugenol
Prunelles

09/02/2023 à 10h31

Tu as constaté par toi même à la palpation un ganglion inflammé ?


Morgan ztbb1b - Eugenol
BONNET jc

09/02/2023 à 10h45

Fais une rétro de la 46, en distal


doc.yoyo

09/02/2023 à 10h45

Je verrais bien mortif de 46 à cause de reprise de carie 46d et image apicale à confirmer


8tercecn7hisbbqbde2nil4nyxrw - Eugenol
Tournsol

09/02/2023 à 10h47

trauma occlusal de la 47 qui tape trop fort sur la 16, qui est un implant et pourrait donc amplifier le pb ?
je testerai les latéralités + propulsion pour voir comment se distribuent les points de contact


Bebe 038 nf8eum - Eugenol
danteyeah

09/02/2023 à 10h50

BONNET jc écrivait:
---------
> Fais une rétro de la 46, en distal

Y peut pas, l'est plus équipé pour ;-(


Blue eye thumb medium dx1i0w - Eugenol
bill

09/02/2023 à 10h55

Meule la 42... ;-))


--
https://docudent.fr
Tous les documents du cabinet dentaire
& l'aide au choix prothétique.
____________________________________


moritooth

09/02/2023 à 11h09

Ca sent bien le passage en phase aigue, à cause de l'instrumentation endo et de l'intralig d'une infection chronique qui sommeillait sous 47. Bref t'as fais flamber le truc.


Gbfo08o2ecy6sxsnqko0n3imhewv - Eugenol
Palpatine

09/02/2023 à 12h48

Comme Bill tu meules la 42

Tu devrais lui demander comment elle a perdu la 16 et surtout bien regarder la crête marginale distale de 16

Il faut que tu penses au guide de rétro contrôle : Tu vois quand tu serres les dents, elles sont sur amortisseurs alors le ligament de 47 n’encaisse plus et vient entraîner une propulsion exagérée et créer une interférence sur 42, créant un spasme notamment du mylo hyoïdien.

Excuse moi Enlaye, j’ai pas pu m’empêcher de raconter des sottises ^^


Nouveau image bitmap fz77zh - Eugenol
Sethef

09/02/2023 à 12h49

Y'a clairement un truc sur 46D, ça semble la cause la plus probable.


Gbfo08o2ecy6sxsnqko0n3imhewv - Eugenol
Palpatine

09/02/2023 à 12h51

Plus sérieusement
Endo 46 avec antibiotiques et anti-inflammatoires à dose vétérinaire


Vw campersurfvan bmnk1q - Eugenol
enlaye

09/02/2023 à 14h49

bill écrivait:
----
Meule la 42... ;-))

:-)) excellent :-) la réponse du berger à la bergère :-)


Vw campersurfvan bmnk1q - Eugenol
enlaye

09/02/2023 à 14h52

Prunelles écrivait:
---------
" Tu as constaté par toi même à la palpation un ganglion inflammé ? "

a la palpation , non , mais elle est arrivée en urgence bien gonfle sous la machoire


Vw campersurfvan bmnk1q - Eugenol
enlaye

09/02/2023 à 14h56

mes radios pourries avant , après endo .
pas évident sur mes radio à la con qu il y ait embrouille en 46 .
certes le compo sur 46 et 47 sont pipés , mais pas plus que ça . je ne sais pas de quand ça date , c est la 1ere fois que je la voyais

Epeb1kqxoy5255tb3momgvnjc8n9 - Eugenol

Vw campersurfvan bmnk1q - Eugenol
enlaye

09/02/2023 à 14h59

ce matin au tel , elle disait , mal à l implant au palais ... vl'a aut chose .
ça fait mega inflammation du 5 , non ?


Vw campersurfvan bmnk1q - Eugenol
enlaye

09/02/2023 à 15h04

moritooth écrivait:
---------
" Ca sent bien le passage en phase aigue, à cause de l'instrumentation endo et de l'intralig d'une infection chronique qui sommeillait sous 47. Bref t'as fais flamber le truc. "
je le vois bien comme ça . j aurais du faire quoi ?
ce qui est sur c est que mon intralig avec juste 2 gouttes j ai endormi jusque devant , j en avais déduit que cette dent trempe dans dans le nerf dentaire inf ou alors que j étais devenu super fort :-)


Nouveau image bitmap fz77zh - Eugenol
Sethef

09/02/2023 à 16h29

enlaye écrivait:
------
> ce matin au tel , elle disait , mal à l implant au palais ... vl'a aut chose .
> ça fait mega inflammation du 5 , non ?


Quand t'as mal sur une dent du fond, c'est très difficile de déterminer si c'est en bas ou en haut. Probable douleur projetée.


Ratata

09/02/2023 à 16h39

extraction de 47 =)


Vw campersurfvan bmnk1q - Eugenol
enlaye

09/02/2023 à 18h19

Palpatine écrivait:
---------
" Comme Bill tu meules la 42
Tu devrais lui demander comment elle a perdu la 16 et surtout bien regarder la crête marginale distale de 16
Il faut que tu penses au guide de rétro contrôle : Tu vois quand tu serres les dents, elles sont sur amortisseurs alors le ligament de 47 n’encaisse plus et vient entraîner une propulsion exagérée et créer une interférence sur 42, créant un spasme notamment du mylo hyoïdien.
Excuse moi Enlaye, j’ai pas pu m’empêcher de raconter des sottises "

rhooo comme c est pas beau de se moquer :-))
je ne l ai vue qu une fois mais tu n es pas loin .

-je n aurais pas dit :" surtout bien regarder la crête marginale distale de 16
Il faut que tu penses au guide de rétro contrôle "
-j aurais dit : surtout bien regarder la crête marginale distale de 16 , il faut que tu penses à lui laisser la liberté de propulser pour ne pas l obliger à se retrouver en retro pulsion .
-tu as dit : "Tu vois quand tu serres les dents, elles sont sur amortisseurs alors le ligament de 47 n’encaisse plus et vient entraîner une propulsion exagérée et créer une interférence sur 42 "
j aurais dit pareil ..........mais avec 32 à la fin , tjs au plus loin en diagonale .

ce qui est sur , c est que son dentiste s est aperçu qu il y avait un pb , elle a du distaler sa 47 et perdre son point de contact a cause de sa 16 implantaire , puisqu' il a bricolé un compo en distal de 46 pour fermer l espace .
et donc pour le moment j opterais sur nécrose de 47 du au bruxisme . la 46 sais pas .




Ylfwcw979cz1jnx9gfqeaxndiuzk - Eugenol
Algi

09/02/2023 à 18h25

Effectivement tes radios sont toutes pourries....
Ai eu le même problème l'an dernier mais j'ai changé les plaques et ça va mieux.

Concernant ta dame je vois moi aussi des images louches au niveau des dds...
Peut être un cone beam et en même temps tu fais faire des coupes au niveau de la 6 et la 7?


--

On a toujours le choix mais entre quoi et quoi?
Vas-y boulégue et l'avenir te le dira!


12...