Cookie Consent byPrivacyPolicies.comIdentification implant - Eugenol

Identification implant

Anto2b

23/02/2023 à 22h59

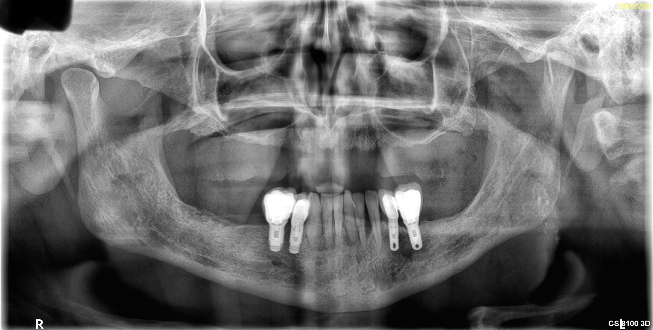
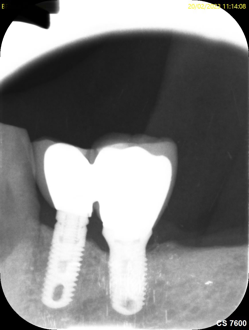
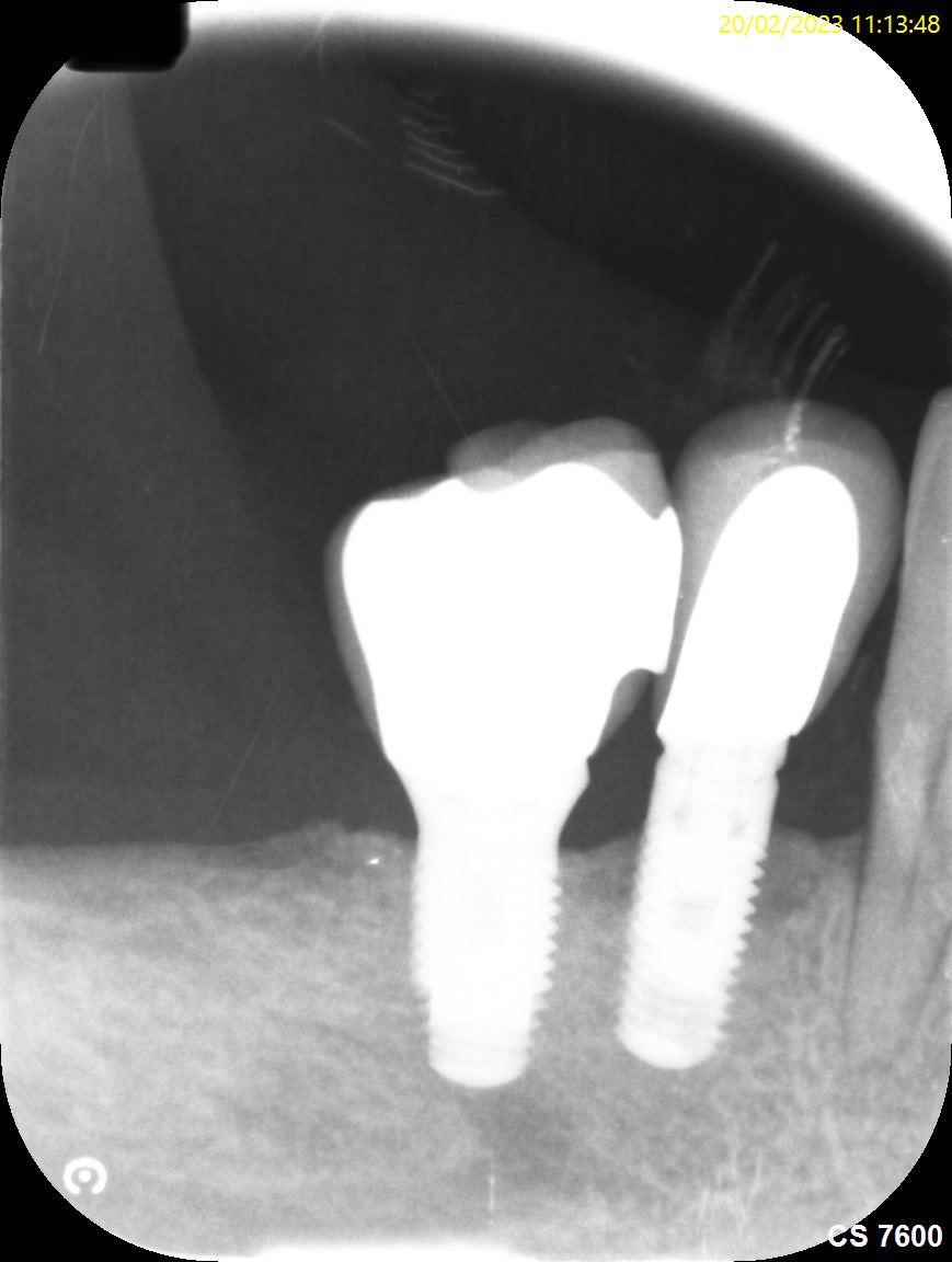
Bonsoir pourriez vous m’aider pour la marque de ces implants je pense à du zimmer tsv pour les implants en position de 4…je pense que les implants distaux sont des zimmer aussi car posé par le même praticien mais j’ai l’impression que ce sont des tissus level est ce que la connectique est identique?
Merci pour votre aide

9v6ia77yhg44b3cnjzc8acbme9xz - Eugenol
948u37j4lzdl0p0sbdtuj0x3mvsb - Eugenol
Hhoe25y9x24jap8qa9u5v695kbmr - Eugenol
9e4xqj55um0mujuc72idyaw8mj5h - Eugenol

Photo pluton1b h9n4ea - Eugenol
pluton

24/02/2023 à 00h16

Pour les premo c’est des TSV, et les molaires des AdVent zimmer pour les 2….
Connexion différente, hex interne pour les TSV, octogonale comme des straumann pour les AdVent


Anto2b

24/02/2023 à 07h35

Top merci bcp