Cookie Consent byPrivacyPolicies.comHyperplasie gingivale - Eugenol

Hyperplasie gingivale

Gabzou

01/03/2023 à 12h59

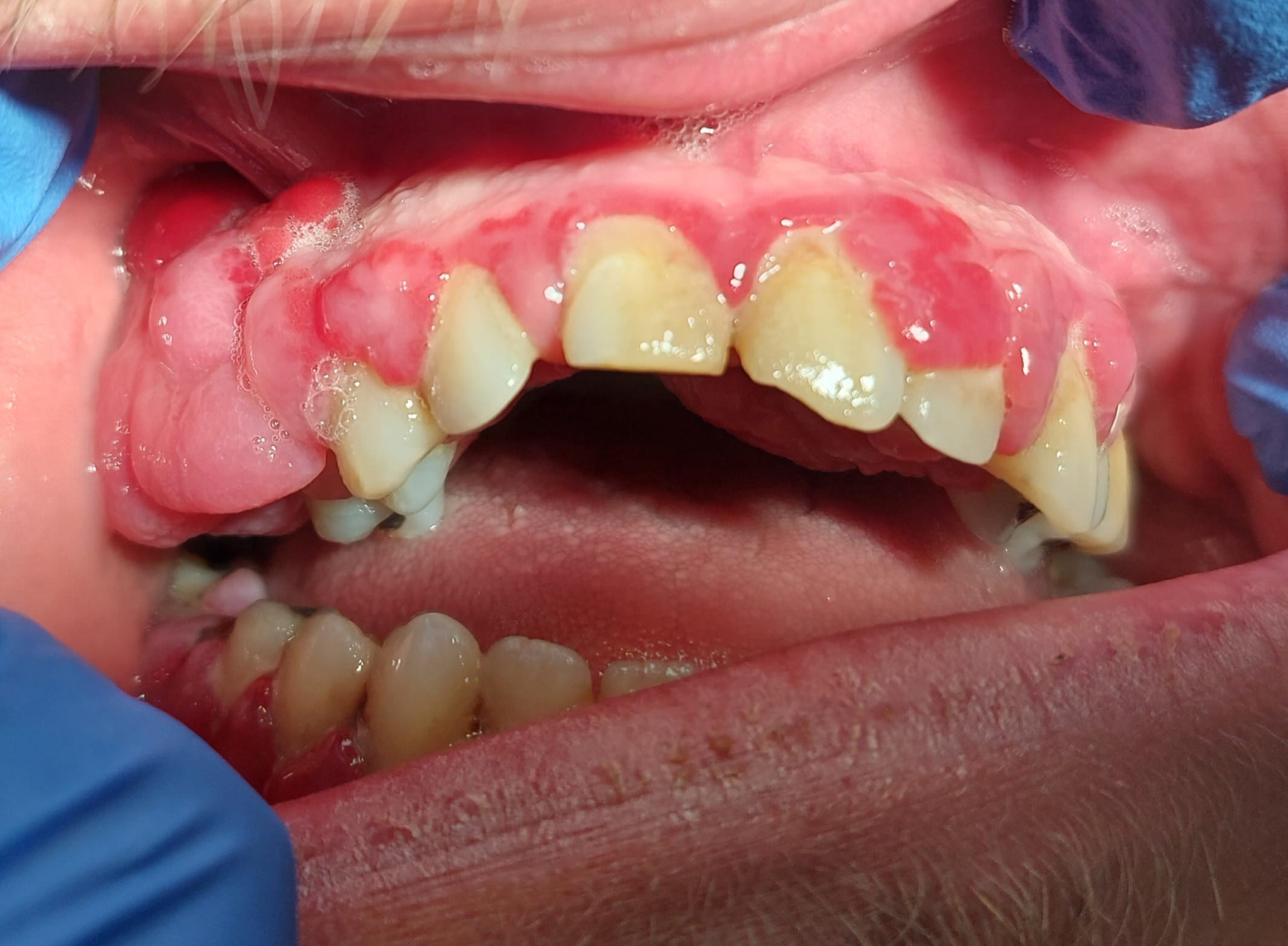
Patient de 31 ans, hépatite B depuis 1995 traitée par baraclude, à priori sans soucis mais pas de prise de sang depuis 6 mois. Également léger retard mental du à un syndrome lié à l'X.

Consulte pour hyperplasie gingivale apparue progressivement en 5 mois (RAS avant d'après lui), totalement indolores, pas de saignement sauf en insistant aux collets en gingivite.
Brossage intense du patient mais technique perfectible (cf photos).
Les 2 principales zones hyperplasiques dans le vestibule secteur 10 et palatin secteur 20 sont bien pédiculées et mobiles.

Ca part en prise de sang et biopsie prévue.
Une idée de l'étiologie? Quelqu'un en a déjà croisé?

EDIT:Zut, photos ne passent pas via téléphone, je mets ça à jour plus tard.

Qpcc4lspkudicbob8pnm8ozk4o5t - Eugenol
Ao6c3xod723tu8y94g7aixgd9hja - Eugenol
V6row55m3qdm3bbaclseazqxnd3k - Eugenol
8iggwqg56ff36crocogifkmfsiyb - Eugenol

Et7jtaj0pdi18gzjlxjiamlx15gs - Eugenol
Prunelles

01/03/2023 à 13h16

D’autres traitements ?
Consommation de cannabis ou dérivés ?


Jf35

01/03/2023 à 13h32

Il avait déjà une hépatite b à 4 ans?
Déjà vu ça avec anti hypertenseur comme nifedipine pour l’hyperplasie.
On change juste le traitement


Gabzou

01/03/2023 à 14h53

Voilà les photos.
Oui, hep b enfant. Probablement contamination à la naissance même si le diag a été plus tardif si j'ai bien compris les explications du frère.
Pas d'autres traitements ou consommations.


Et7jtaj0pdi18gzjlxjiamlx15gs - Eugenol
Prunelles

01/03/2023 à 15h28

Ah oui quand même...
Faut attendre le retour de la prise de sang pour écarter une leucémie.


Ylfwcw979cz1jnx9gfqeaxndiuzk - Eugenol
Algi

01/03/2023 à 17h03

Deja vu sur des patients handicapés mais à ce point là.....
Certains traitements neuro ou psy font cet effet là mais me souvient plus desquels ...

Possiblement lié au brossage ou plutôt au manque de brossage mais effectivement ça mérite investigations


--

On a toujours le choix mais entre quoi et quoi?
Vas-y boulégue et l'avenir te le dira!


Capture d écran 2018 05 16 à 21.30 - Eugenol
Daryl

01/03/2023 à 17h07

C'est sûrement dû au graphène contenu dans les vaccins car le brossage m'a l'air bien maitrisé


120 81 mdkvjo - Eugenol
Monaco

01/03/2023 à 18h28

Perfectible est le mot idoine !!


Gabzou

02/03/2023 à 13h10

Daryl écrivait:
-----
> C'est sûrement dû au graphène contenu dans les vaccins car le brossage m'a l'air
> bien maitrisé

Je vais me pencher sur le sujet, c'est pas bête comme théorie!
Blague à part, quand je dis léger retard mental, je veux dire qu'il sait parler et qu'il est globalement autonome en vie quotidienne; par contre c'est sa famille qui lui prends les RDV et l'amène et au bout de 30 minutes sur le fauteuil il est un peu pressé de partir et il faut négocier pour le retenir. Je ne le sens pas capable d'appréhender une technique de brossage "complexe"; je conseillerai au service de paro qui se charge du suivi de lui indiquer la brosse électrique au prochain passage.

@algi: oui, j'ai déjà vu quelques cas moins impressionnants avec des médicaments neuro ou cardiovasculaire mais là rien.


Nouveau image bitmap fz77zh - Eugenol
Sethef

02/03/2023 à 13h28

Déjà vu un machin assez similaire chez une femme enceinte, sur un terrain discrètement paro.
Brossage pate de keyes, gingivectomie une fois, puis une deuxième, j'avais averti que ça partait en stomato si ça récidivait, ça n'a pas récidivé.