Cookie Consent byPrivacyPolicies.comidentification implant - Eugenol

identification implant

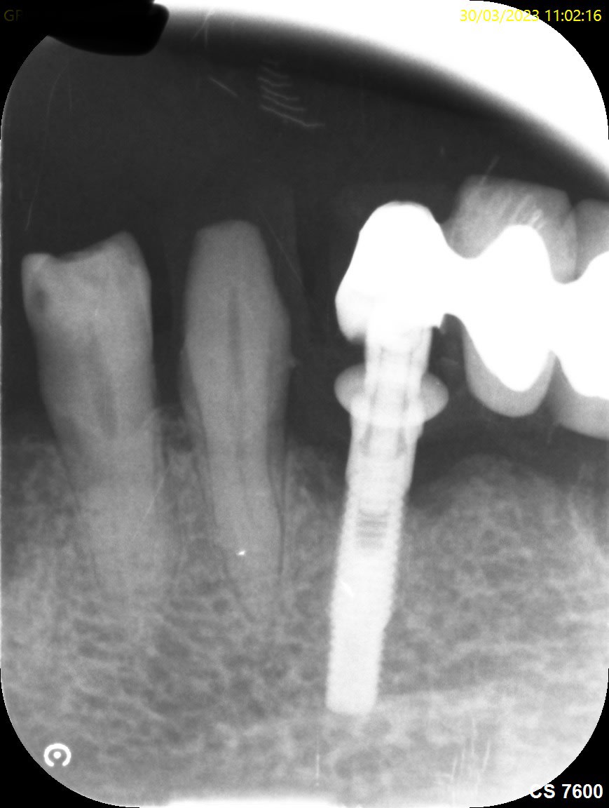
Anto2b

13/03/2023 à 15h48

bonjour
pourriez-vous m aider a identifier l'implant en 42.

merci

0qk9sqbtizuhlq5boh536wz4ytlh - Eugenol

Photo pluton1b h9n4ea - Eugenol
pluton

13/03/2023 à 16h16

retro stp


Anto2b

31/03/2023 à 17h27

Voici la rétro

3dr4blpu9oidq8n68xh10fd3jppn - Eugenol