Cookie Consent byPrivacyPolicies.comIdentification implant - Eugenol

Identification implant

Mesdiscussions 14274 y9skw0 - Eugenol
ericthedoc

20/03/2023 à 11h01

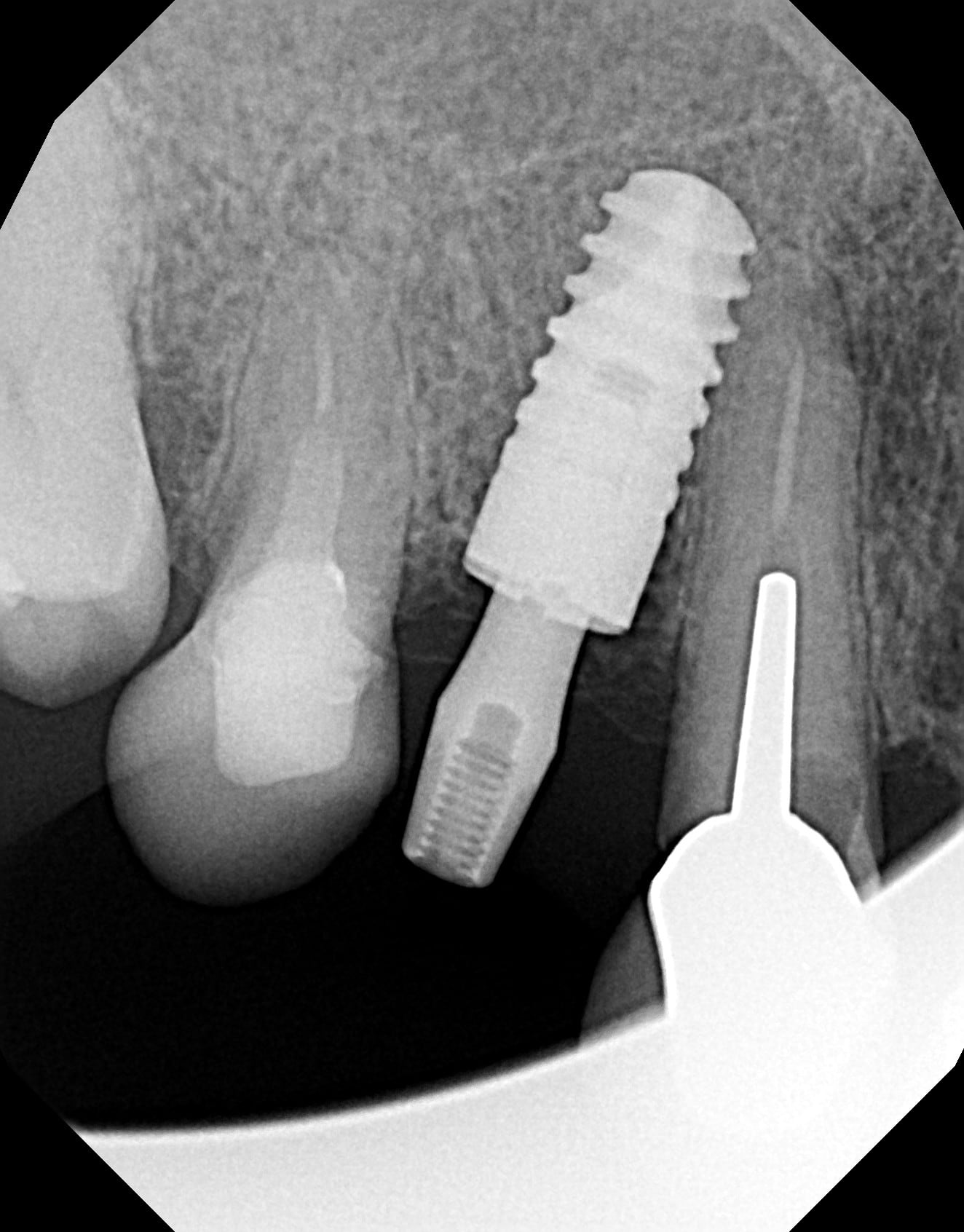
Bonjour, je cherche à identifier un implant qui me semble être un ANKYLOS mais quel modèle ?

Question subsidiaire, il faut quel tourne vis pour cette marque avec laquelle je n'ai jamais travaillé ?
De même faut-il un extracteur de pilier ?

Merci par avance

Eric

0gorxd7nkmo1faliinvksunpxah0 - Eugenol

Photo pluton1b h9n4ea - Eugenol
pluton

20/03/2023 à 11h26

Ankylos, oui certain, 100%
Fait une recherche Google ankylos implant pdf, tu auras le catalogue et donc tout le synoptique