Cookie Consent byPrivacyPolicies.comUn cas comme je ne les aime pas trop ... - Eugenol

Un cas comme je ne les aime pas trop ...

Pubg2 rjl8jc - Eugenol
lemondestvaste

20/03/2023 à 18h46

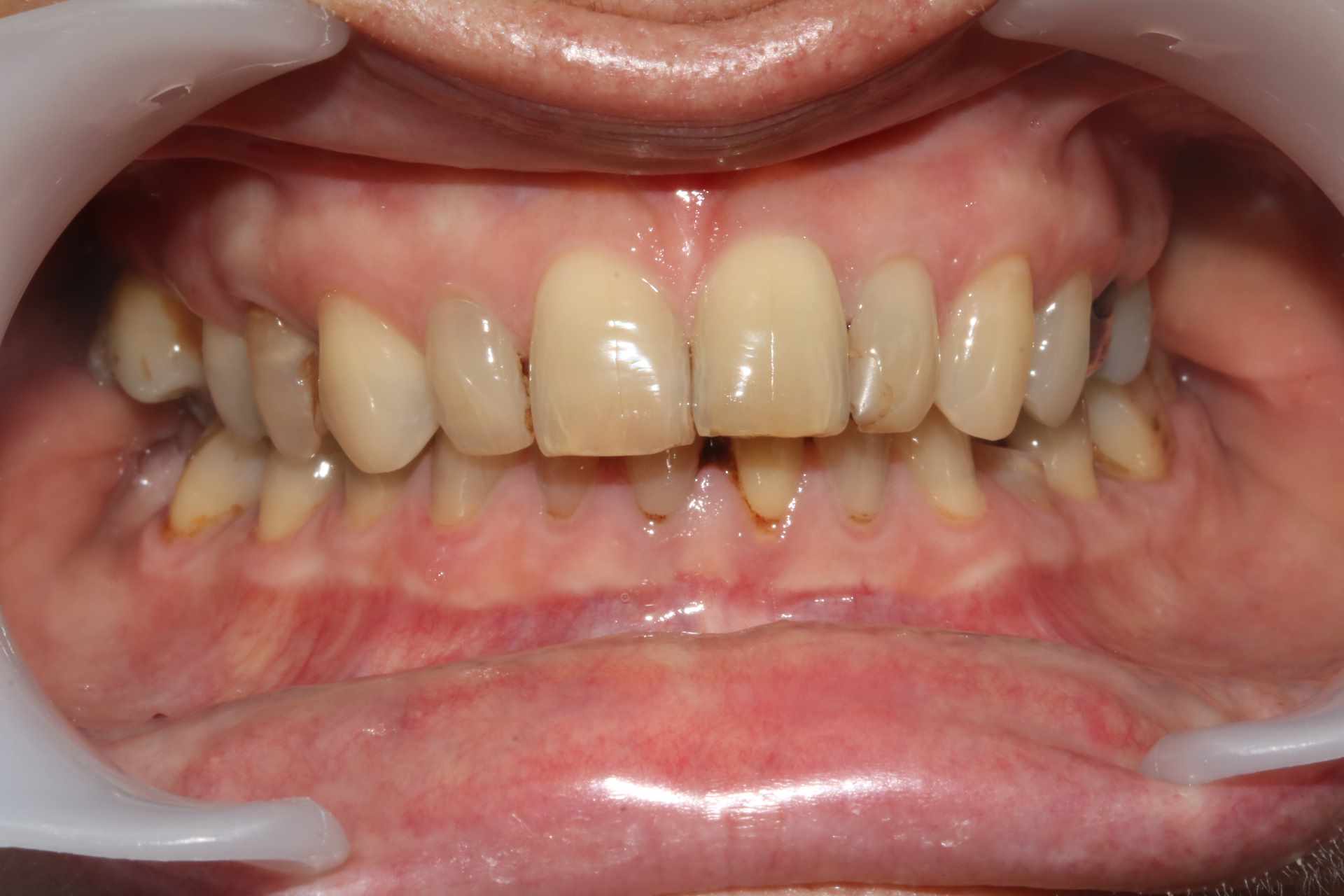
La patiente vient pour sa 34 fracturée ... mais n'a aucun calage molaire S 1. Je voudrais bien commencer par le calage postérieur mais j'aimerais les avis des implantos, manque de distance MD, proximité du sinus. Pas idéal non ?

69aotwr50bt4ne47dyxi8h06g4mj - Eugenol
Yggv78mc8qf4zos25a9reth6gdwk - Eugenol
Rgnx9e2a671bbawvh48itztsv0ad - Eugenol
Pj7z7975479zmke8nds6hrqtpzzr - Eugenol

Ylfwcw979cz1jnx9gfqeaxndiuzk - Eugenol
Algi

20/03/2023 à 19h11

Pas top ta radio.... tu sais que c'est mal vu ici hihihi...

Au niveau osseux si tu penses remplacer la 16 effectivement j'arrive pas bien à voir où est quoi mais il me semble qu'il y a de l'os. A verifier avec radio moins contrastée ou autre...

Par contre c'est aussi le fort contraste ou la 14 est fracturée horizontalement en mesial?

Ou alors tu as fait une faute de frappe quand tu dis plus haut fracture de la 34... mais comme la 34 est cassée sur les photos...

Sinon... forte supra, mandibule en arrière.

Je dirais que la dame serre les dents mais que à priori elle grince pas trop trop au vu des abrasions visibles.

Une petite photo bouche ouverte pour voir l'état des anterieures mandibulaires?

C'est quoi qu'elle fume?

Je vous laisse cogiter, A+


--

On a toujours le choix mais entre quoi et quoi?
Vas-y boulégue et l'avenir te le dira!


Et7jtaj0pdi18gzjlxjiamlx15gs - Eugenol
Prunelles

20/03/2023 à 19h18

Même doute qu’Algi entre 14 et 34.

Ce qui me chagrinerait le plus c’est la mésio-version de la 47 suite au non remplacement de la 46 si je me trompe pas. Ça et la classe II. Sont toujours chiants les classe II.


Ylfwcw979cz1jnx9gfqeaxndiuzk - Eugenol
Algi

20/03/2023 à 19h52

Et oui ils sont chiants les classe II... en vrai ils sont pas si chiants mais surtout tout bloqués vérouillés de partout, pas leur faute. Souvent des casse couille stressés qui sont nés comme ça...

Et on en voit de plus en plus....

Du coup si possible de remonter leur dv et de leur donner un peu plus d'espace pour s'épanouir....


--

On a toujours le choix mais entre quoi et quoi?
Vas-y boulégue et l'avenir te le dira!


Pubg2 rjl8jc - Eugenol
lemondestvaste

21/03/2023 à 08h04

mise a jour

Je pense plutôt à un problème de collage du composite pour la 14.
Tabac arrêté depuis qq mois.

E42i4tjz7slw57kstv7uhgfqmve3 - Eugenol
Lcnpsulo0z7aj0abwm7p2vo6056w - Eugenol

Aiguille cyboyt - Eugenol
fatboy

21/03/2023 à 09h04

Dans un monde parfait:
Ortho pour reaxer, repositioner 17 et 47et accessoirement lui faire un plus joli sourire, ensuite, ou en meme temps, sinus lift (pas evident, il y a un septum osseux dans le sinus AN 16, mais possible), implant 46 et 16, blanchiement, couronnes 14-16-46, compo 15.
Dans la vraie vie, plus probablement, couronne 14, bridge 15-16-17, couronne 47.


Pubg2 rjl8jc - Eugenol
lemondestvaste

21/03/2023 à 09h54

Merci Fatboy, je n'aurais pas eté aussi ambitieux dans mon plan de traitement (je n'avais pas pensé à l'ortho adulte pour elle), je vais en parler à mon ortho. La position de ses dents dans son sourire te choque ?


Aiguille cyboyt - Eugenol
fatboy

21/03/2023 à 11h01

C'est pas jaquouille, je suis d'accord, mais vu qu'elle va avoir des bagues, autant aligner et fermer les espaces. C'est super rapide par rapport a bouger des molaires et surtout ca pousse a l'acceptation du traitement par le patient (qui, en revanche, se contrefout de l'axe de ses molaires).


Gabzou

21/03/2023 à 12h17

fatboy écrivait:
------
> Dans la vraie vie, plus probablement, couronne 14, bridge 15-16-17, couronne 47.

Çà. Et ancrage + couronne 34, en supposant que par fracturée tu parles juste de la perte de substance coronaire mais que la racine est OK
Peut être même juste une petite coronoplastie sur la 47 plutôt qu'une couronne, juste pour permettre de faire une 16 correcte avec une occlusion décente (tout juste décente mais bon...).
L'implant + sinus lift 16 est probablement envisageable aussi si tu ne veux pas travailler la 17.

Autrement le super plan de traitement avec ortho.