Cookie Consent byPrivacyPolicies.comRepères pour nombre d’utilisation des limes endo - Eugenol

Repères pour nombre d’utilisation des limes endo

Fear and loathing in las vegas toax7t - Eugenol
Donchico

21/03/2023 à 16h42

j'utilise porte instrument Nichrominox avec index à glisser de 1 à10.
En fonction de la dent et des racines j'utilise des instruments avec le compteur de 1 à 5 pour les pluriradiculées et 5 à 10 pour les monoradiculées.
Dès qu'il y a un instrument qui a une sale tête c'est poubelle pour la séquence complète.
Si dents avec canal fin ou calcifié c'est séquence neuve.
Ensuite je pousse l'index avant de mettre le séquenceur dans le bac de décontamination.
Il faut juste avoir une 10 aine de séquences en parallèle pour avoir un peu tous les numéros dispo.


sosdébouche

21/03/2023 à 17h04

oui les petits curseurs ca marche un temps, après ils se barrent...


burnax

21/03/2023 à 17h07

Treponem écrivait:
--------
> Un coup de fraise sur le mandrin de la lime. Il me semble que j'avais lu cette
> astuce sur eugenol, il y a bien longtemps, du temps ou on se tirait pas dans les
> pattes à la moindre question ^^

Perso, le coup de fraise.


Blue eye thumb medium dx1i0w - Eugenol
bill

21/03/2023 à 18h09

Sinon il y a ça qui vient de sortir.
Bien sûr c'est pas donné et comme les cd sont des pinces...
En plus il y a un copyright ©bill dessus, gaffe, je fais pas de cadeaux... :-)


--
https://docudent.fr
500 documents dentaires
& Aide au choix prothétique
________________________


Lw2atzojpv6hjua6xqf33omnzf7c - Eugenol

Vw campersurfvan bmnk1q - Eugenol
enlaye

21/03/2023 à 19h34

Dentarue écrivait:
--------
" 🤬 "
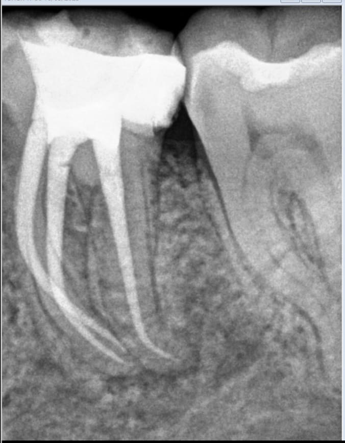
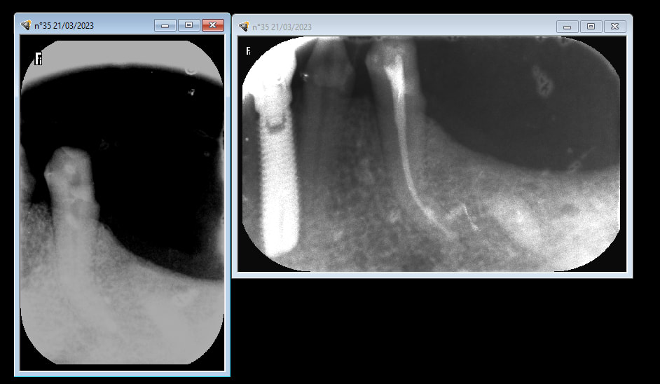
regardes le justicier inquiet , toi qui aimes voir les radios , je viens de faire une endo cet aprem .
et je t ai même pris la radio avant , chose que je ne fais pas souvent ( puisqu elles ne me servent à rien tellement elles sont pourries mes radios ) , je l ai faite rien que pour toi , pour ne pas que tu crois que je te sorte encore une " endo de ma vie " comme tu as su me le dire la dernière fois , la radio d' avant étant datée d aujourd'hui .
bon le canal est très fin , tordu et profond , et tu crois que ça m inquiète quand au choix de la pétale ou de je ne sais quoi ? :-))
m en fout complètement , je tape dans ce que j ai sous la main . du moment que ça a une bonne gueule et que c est tranchant y a pas de tress .
une lime titane bien utilisée y en a pour la vie des rats .
et y a pas plus de fatigue cyclique que de beurre au cul .
fatigue cyclique mouhahaha n importe quoi .

Tgy3ucz8ynes0b39jk1v31nxf1ei - Eugenol

Et7jtaj0pdi18gzjlxjiamlx15gs - Eugenol
Prunelles

21/03/2023 à 19h39

On peut sortir les cacahouètes ou c’est encore trop tôt ?


Capture d  cran 2015 03 12 12.28 - Eugenol
chicot29

21/03/2023 à 22h02

Mais pourquoi vous ne jetez pas vos instruments à chaque fois ?


--
Dentiste qui en a plein le cul.


Dentarue

21/03/2023 à 22h02

bon le canal est très fin , tordu et profond 🤣🤣🤣


Capture d  cran 2015 03 12 12.28 - Eugenol
chicot29

21/03/2023 à 22h06

enlaye écrivait:
------
> Dentarue écrivait:
> --------
> " 🤬 "
> regardes le justicier inquiet , toi qui aimes voir les radios , je viens de
> faire une endo cet aprem .
> et je t ai même pris la radio avant , chose que je ne fais pas souvent ( puisqu
> elles ne me servent à rien tellement elles sont pourries mes radios ) , je l ai
> faite rien que pour toi , pour ne pas que tu crois que je te sorte encore une
> " endo de ma vie " comme tu as su me le dire la dernière fois , la radio d'
> avant étant datée d aujourd'hui .
> bon le canal est très fin , tordu et profond , et tu crois que ça m inquiète
> quand au choix de la pétale ou de je ne sais quoi ? :-))
> m en fout complètement , je tape dans ce que j ai sous la main . du moment que
> ça a une bonne gueule et que c est tranchant y a pas de tress .
> une lime titane bien utilisée y en a pour la vie des rats .
> et y a pas plus de fatigue cyclique que de beurre au cul .
> fatigue cyclique mouhahaha n importe quoi .
>
Tout à fait d'accord.

--
Dentiste qui en a plein le cul.

Rdueoo3g4bebnvfk01pkmbwhbpm4 - Eugenol

8tercecn7hisbbqbde2nil4nyxrw - Eugenol
Tournsol

22/03/2023 à 20h06

J'y vais au feeling
lime fanta blue, vitesse entre 150 et 500 (selon courbure canal)

Si moindre défaut apparent (spire déformée généralement) = je jette
Si sensation de coupe réduite = je jette
Celui qui prend le plus c'est toujours le jaune 3% et donc celui changé le plus régulièrement

Donc la fréquence varie selon le foret
un jaune 2% peut aller de un seul canal (parfois j'utilise 2 forets neuf jaune 3% sur un même canal) à 10 TR
le reste va durer plus longtemps, plus d'une dizaine de TR

Extrêmement peu de casse (genre 1 par an), toujours sur les jaunes 3%, et parfois la casse peut arriver sur un instrument complètement neuf

La casse vient généralement de trois facteurs
- la vitesse de rotation de la lime
- la courbure très prononcé d'un canal
- lumière canalaire pas facilement accessible lors du cathétérisme


Vw campersurfvan bmnk1q - Eugenol
enlaye

22/03/2023 à 20h34

Oui et en plus tu peux te programmer le mouvement marche avant marche arrière , le couple et vitesse pour les limes sensibles .
Même si ce ne sont pas des limes soit disant prévues pour réciprocité.


Vw campersurfvan bmnk1q - Eugenol
enlaye

22/03/2023 à 20h56

Fripouille écrivait:
------------
"le truc c'est qu'il n'y a pas grand monde qui passe des limes en acier. On y va directement avec les limes titane en rotation continue ou en réciprocité :) "

Pourtant ca fait gagner du temps . Pour les canaux fins ou vicieux un petit coup de broche violette ou blanche enfin entre 0.8 et 15 maxi , ça te fait le pré trou et après c est du beurre . La pointe de ta lime est alors guidée et elle force beaucoup moins.


6szjws718sv1jksw54v4mpj3a6cu - Eugenol
vulpi

22/03/2023 à 21h44

+1
Longtemps j'ai fait SX, réciproc 25. Mais je me suis rendu compte que passer une k10 puis une 15 faisait gagner du temps et évitait bien des déconvenues.


12