Cookie Consent byPrivacyPolicies.comExtraction, mise en charge instantanée d'un All on 4 - Eugenol

Extraction, mise en charge instantanée d'un All on 4

Icon poker h4nm2d - Eugenol
jeff

21/03/2023 à 09h53

Bonjour,
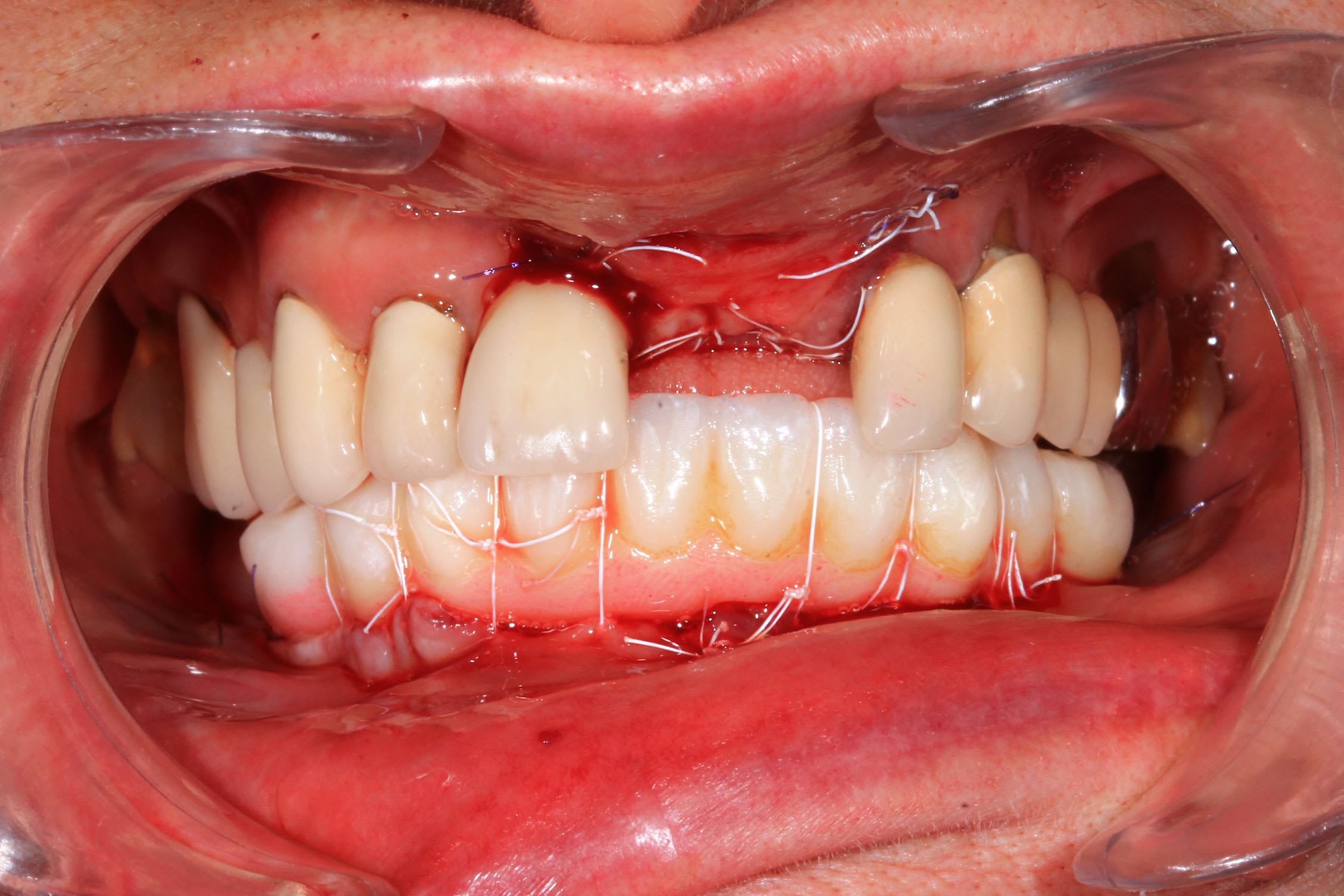
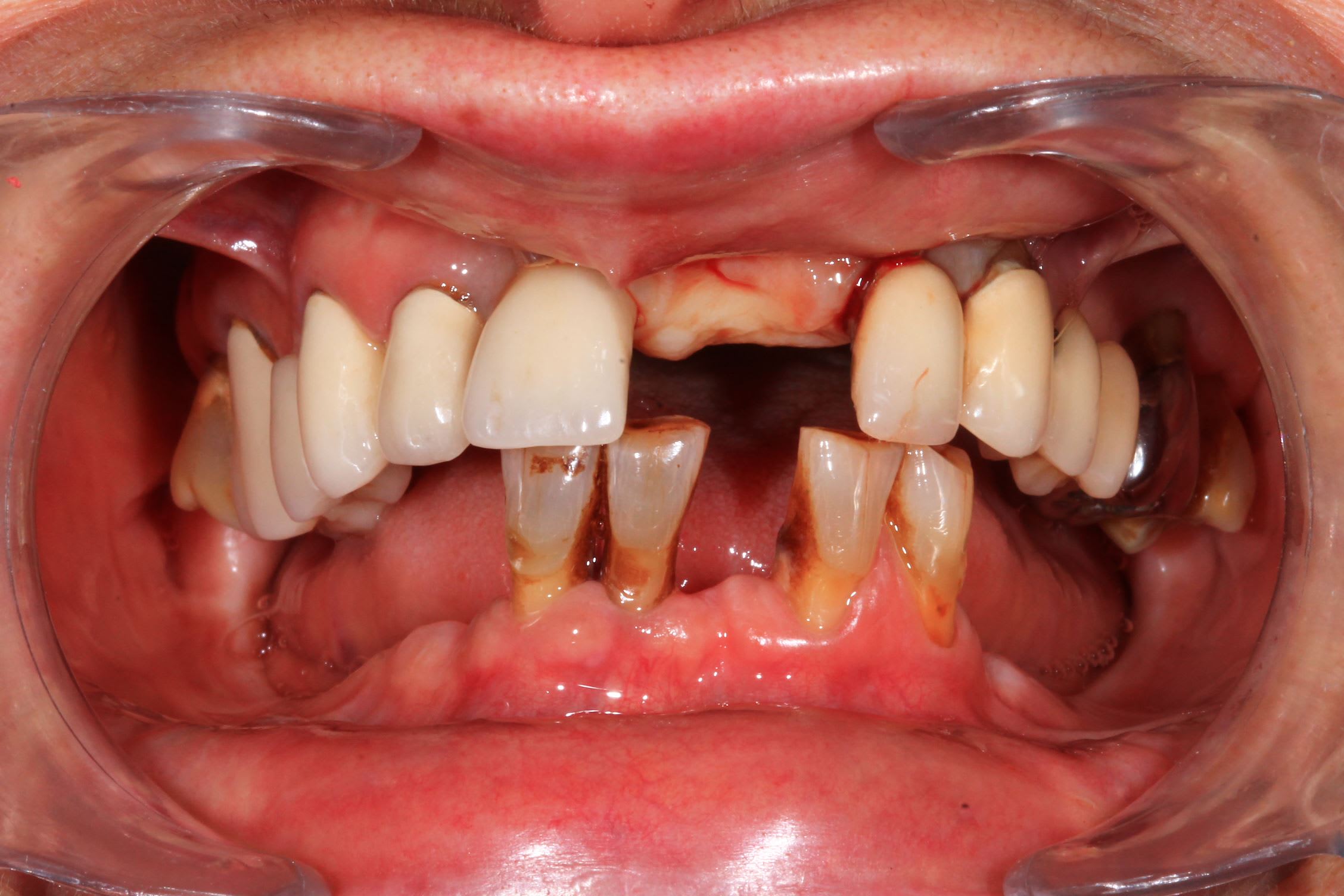
Un cas de mise en charge instantané, façon Dimitri Pascual.
Mais quand on a pas Co-diagnostic, qui permet de faire le provisoire directement de la planif, on se débrouille avec blueskyplan et meshmixer.
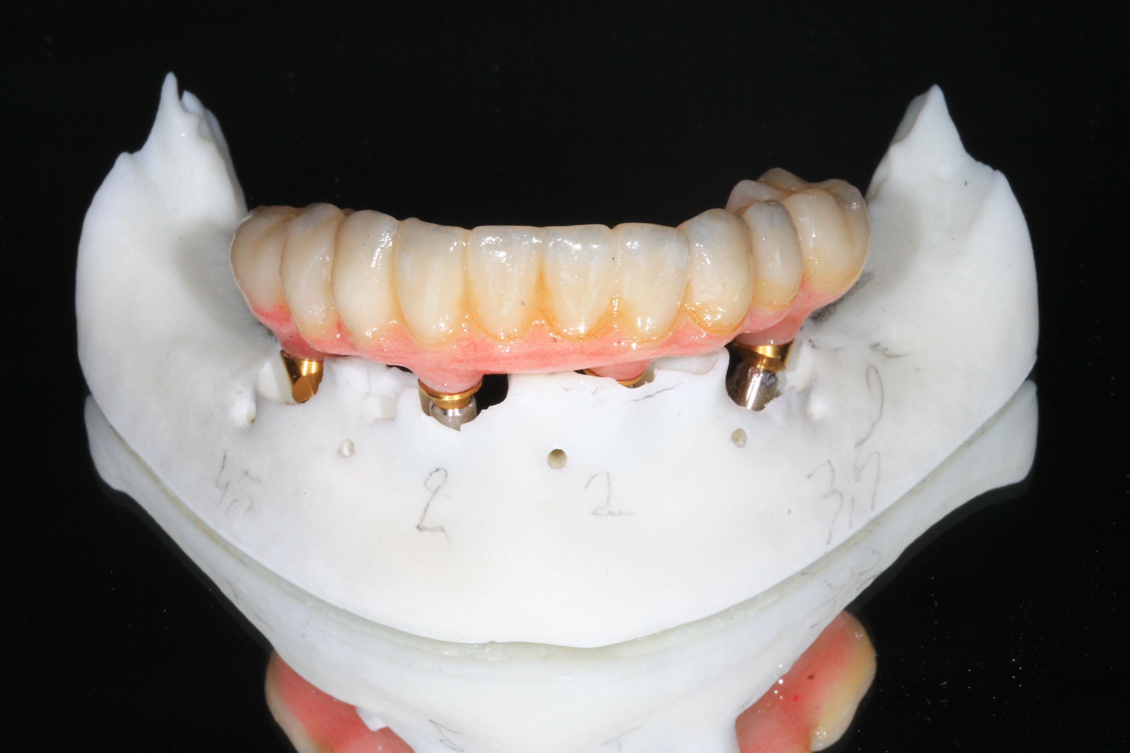
Planif BSP, export meshmixer et réalisation du guide en fusion laser ( Fridentech ).
Impression modele osseux et simulation de la chir.
Scan et matching des scanbody dans Médit design. ( j'ai fait une video , mais pas eu le temps de la mettre en ligne, si cela intéresse )
Retour meshmixer et finition de la modélisation du bridge.
Impression sur phrozen mini 4 k avec résine Flexera et maquillage.

Tres important pour la mise en charge instantanée : la precision : bien indexer les implants sur le guide en cas de piliers angulés.


Rf1kusinz8ygywscorx94dg8eyyr - Eugenol
Loyuq2bn62fkzgowe8ardlhil0r4 - Eugenol
0dzmik78yqad68fpnjcwyd6s0xye - Eugenol
Vl0k2dfecajhzu9xycnjh5xdvz05 - Eugenol
Idxhatsszlhvw1dswyonm1b7fr06 - Eugenol
Hf7eodd7v678f2s79on0ljd2g1lq - Eugenol
2vnfbddhi9hqv3cdx22lz8k6apfv - Eugenol
6s31d1n8ffdw5cevdm22grbzsoor - Eugenol
9j8rbvfey6blmredd52zjmalv9oj - Eugenol
B0lvzz5hnmonjt9wxujpqyh0uao7 - Eugenol

vernal

21/03/2023 à 12h35

Super intéressant !!
Vivement la vidéo !
Les sutures, c'est pour faire une traction ? Et si oui, cela marche -t-il ?


Pubg2 rjl8jc - Eugenol
lemondestvaste

21/03/2023 à 12h55

Merci pour le partage, le bridge est imprimé en 3 D ?


Icon poker h4nm2d - Eugenol
jeff

21/03/2023 à 14h13

Suture en matelassier horizontal sous le bridge + vertical sur le bridge : gain de gencive kératinisée .

Bridge imprimé au cab , résine flexera .
Vis rosenscrew.


bouboule

21/03/2023 à 22h19

Ta maîtrise de toute la chaîne de fabrication est assez bluffante! Chapeau!


Olieve

22/03/2023 à 08h19

Super boulot.
Juste une question pourquoi préférer les rosenscrew aux tubes titane provisoires ?
On peut plus facilement récupérer une petite déviation avec ceux ci non ?

Tu devrais essayer Implastation, comme BSP tu utilises le logiciel gratuitement et tu ne paies que pour l’export du guide. L’avantage c’est que tu peux y importer tout les fichiers STL que tu souhaites.


vernal

22/03/2023 à 09h00

Implastation, c'est pas russe ?


Olieve

22/03/2023 à 09h17

Ukrainien.


Icon poker h4nm2d - Eugenol
jeff

22/03/2023 à 09h29

La non plus je ne paye rien . ( même pas le guide, avec ma technique).
J’exporte gratuitement les tube de guidage , j’importe le STL du model , du bridge , j’aligne tout dans BSP et j’exporte ensuite dans meshmixer pour le design du guide .
Utiliser les rosenscrew me permets de reste en full numérique . J’ai un fichier du scanbody dess coulpé avec le puit rosenscrew. C’est donc très facile ensuite de finir le bridge .
Sinon, il faudrait que le fasse un trou et coller les tibase : je n’ai pas exocad pour faire cela propre : il faudrait faire un gros trou et coller au pif des pilier prov.
De plus , la zone de collage est source de fragilité, cela oblige à avoir un bridge plus volumineux.
L’avantage de codiagnostique : tu fais ta planif , choisit tes pilier ( les piliers straumann sont identiques au ETK, c’est comme cela que le laboratoire Lio m’avait fait des bridge pmma pour mise en charge instantané ) , et tu peux modéliser le bridge directement .
Pas possible avec BSP, il n’y a que des piliers avec les implants blueskybio.
Pas de pilier ETK. Et avec ton logiciel ?


Olieve

22/03/2023 à 11h29

C’est un logiciel très ouvert, tu peux y importer tout les STL que tu veux : implants, piliers, tubes de guidage… Le tout est d’avoir les bibliothèques. Et ils ont déjà par défaut pas mal de marques dans leur base de donnée (ETK je ne pense pas ).

Ici tu as une démo pour faire un guide à étages. Je pense qu’ici le provisoire est designé dans un autre logiciel. C’est possible dans Implastation.



Pour la modélisation, Medit Design est très prometteur, il évolue très vite au fil des mises à jours et je le trouve vraiment facile d’utilisation.


Hok 1b hgd3rj - Eugenol
Hokusai

22/03/2023 à 11h46

jeff écrivait:
----
> réalisation du guide en fusion laser (
> Fridentech ).

du coup c est quoi comme metal ? du stellite ?


Olieve

22/03/2023 à 12h59

Les implants ETK sont dans la bibliothèque mais pas les piliers. Si tu as les STL tu pourras les importer et créer ta bibliothèque de piliers ETK

Hbizb8qjncaexcqqk1dskcs1afj7 - Eugenol

Icon poker h4nm2d - Eugenol
jeff

22/03/2023 à 13h17

C’est intéressant pour le logiciel. Reste a demander les Stl de pilier à ETK et voir comment on les place sur les implants.
Une fois que tu as les piliers, cela doit être assez simple avec medit temp ou design.

Le métal est pour Stellite ou couronne . En fait , il n’y a que moi qui lui commande des guide ;)
Sinon , on peut faire en titane chez materialise, mais 15 jour de délais au lieu de trois .


Olieve

22/03/2023 à 15h01

La bibliothèque des piliers, chez Anthogyr c'est non, ils préfèrent me vendre le Codiagnostix.
Mais on peut modéliser avec des multi-unit et tubes d'autres marques. Par contre, j'imagine alors que c'est impossible d'utiliser les rosenscrew.


bouboule

27/03/2023 à 18h58

T’es du genre un peu geek fan d’informatique ou tu t’y es mis pour le boulot?


Icon poker h4nm2d - Eugenol
jeff

30/03/2023 à 15h57

bouboule écrivait:
--------
> T’es du genre un peu geek fan d’informatique ou tu t’y es mis pour le boulot?

j'essayais plus ou moins de suivre "un cadeau de béotien", et j'avais finis par laissé tombé. Puis j'ai lu ce post de Pierre :
https://forum.eugenol.com/sujets/419412-mci-blueskyplan-form2?page=1&scroll_to=post_954105
La révélation. Depuis, tuto youtube, réflexion. L'avantage est que si tu a une idée, le numérique , une fois maitrisé te donne la possibilité de la mettre en oeuvre.


bouboule

30/03/2023 à 18h25

Ah je l’avais pas vu passer ce post là!! Je vais me pencher dessus, ma méthode de mise en charge immédiate en cas de grande étendue mériterait un p’tit coup de modernité ! Merci


Icon poker h4nm2d - Eugenol
jeff

01/04/2023 à 18h59

Voila la video qui montre tout le process. Pas de video de la chir, j'ai un nouveau scylitique qui ne me permet plus de fixer mon caméscope. Il faut que je trouve une autre solution.


Anto2b

01/04/2023 à 22h56

Bravo pour le cas et merci de partager c’est juste incroyable de maîtriser seul tout le processus tu es dentiste prothésiste et informaticien incroyable…

Une petite question est ce qu un scanner de table ne serait pas plus adapté pour enregistrer l’empreinte sur le modèle avec scan body tu n’as pas peur de la distorsion avec la médit?


Olieve

01/04/2023 à 23h31

Anto2b écrivait:
------
> Bravo pour le cas et merci de partager c’est juste incroyable de maîtriser seul
> tout le processus tu es dentiste prothésiste et informaticien

Et tu peux ajouter monteur vidéo !
Merci pour le partage Jeff, c’est impressionnant de voir ta maîtrise de Meshmixer.


Icon poker h4nm2d - Eugenol
jeff

02/04/2023 à 09h36

Anto2b écrivait:

> Une petite question est ce qu un scanner de table ne serait pas plus adapté pour
> enregistrer l’empreinte sur le modèle avec scan body tu n’as pas peur de la
> distorsion avec la médit?

Si , certainement. J'avais hésité au tout début, sur les conseil de pierre 31, a en acheter un.
Mais ça fait le job avec la médit. Je pense qu'il y a plus de petite erreur dans le jeu des porte implant dans le guide, pour la création du modèle, que dans le scan d'un modèle, assez facile.
je suis en réflexion pour investir en photogrammétrie ( pas pic dental, ou I-Cam, trop cher ) : il y a un modèle américain qui devrait être commercialisé sous peu a 18000$.
Il y a aussi un truc qui semble très intéressant chez Oxo, mais je n'ai pas encore d'info.
Lidée serait quand meme de rester full numerique.
Soit avec co-diagnotic, Implastation si cela fonctionne. Voir ensuite les evolution de médit design.
Il y a pas mal de possibilité d'amélioration.