Cookie Consent byPrivacyPolicies.comUn cas comme je ne les aime pas trop ... II - Eugenol

Un cas comme je ne les aime pas trop ... II

Pubg2 rjl8jc - Eugenol
lemondestvaste

27/03/2023 à 18h07

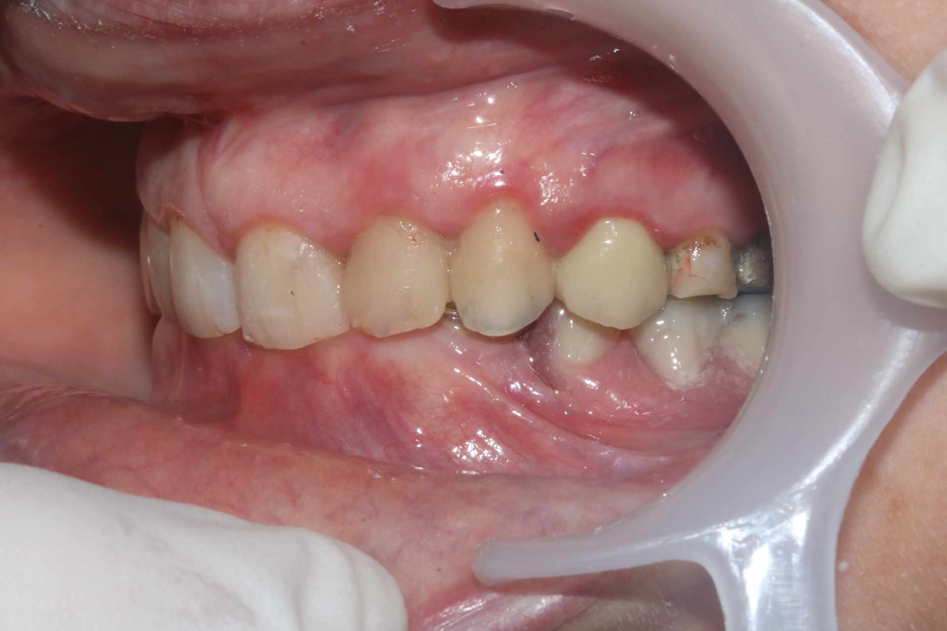
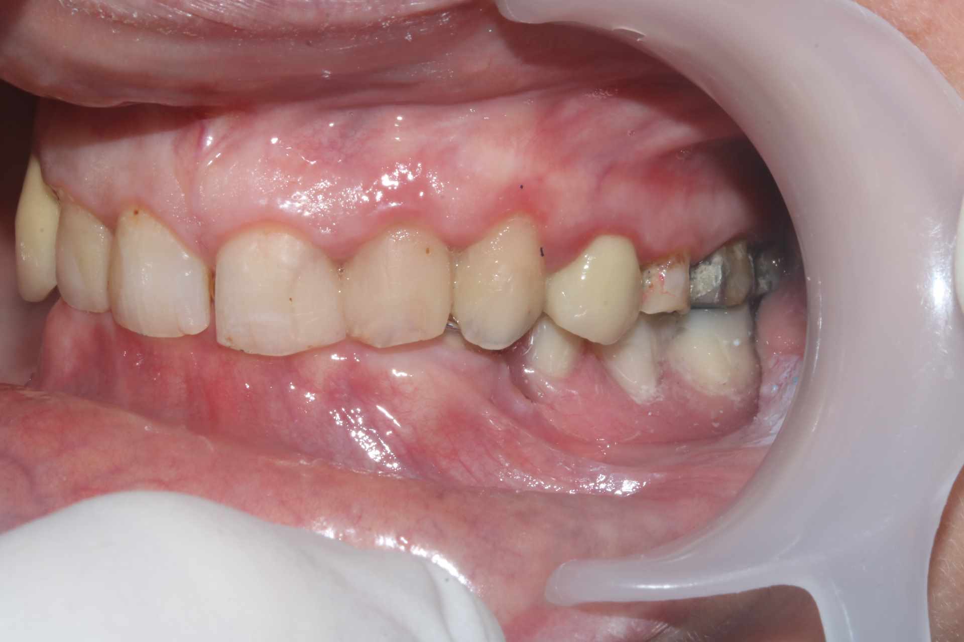
La patiente venait pour 34 35 descellées et 13 mobile. J'en suis encore au stade on traite les urgences avant de s'attaquer vraiment au cas. Vous voulez pas me donner un coup de main ? je ne sais pas trop par ou commencer !

On a une classe 2 2 majeure. ultra verrouillée. Je ne vois pas comment m'en sortir sans augmenter la DV qui a été malmenée par les soins et couronnes diverses a peu près tous en sous occ à mon avis sauf la 13 qui a explosé.

Je sens que je vais y passer un peu de temps ...

Bbjvdimxask2ko9s3cssm22ad0if - Eugenol
4h1tlb8tpibd7bzzsakc0gl78x79 - Eugenol
Fgkcbsq9xl0l3ijxnzwa0ff24yl1 - Eugenol
3ajf9g0k6o97cd5lshbg29ogcxds - Eugenol
Z711axq5sinidp3sug88p4jhso5e - Eugenol
92coi8rc3xaaes82r9ui7rt26z01 - Eugenol
Hnbr58xb1fyeh75d5yikbxxe295c - Eugenol
Ed75qnjevpa6lz4icdtegg99fi17 - Eugenol

bouboule

27/03/2023 à 18h39

Ben ça dépend ce qu’elle veut la dame… il est bon ce cas!


Pubg2 rjl8jc - Eugenol
lemondestvaste

27/03/2023 à 18h51

Mâcher et ne plus avoir de dents qui cassent tous les 4 matins ...

Moi aussi c est les cas où je m amuse le plus. Je poste juste pour animer un peu.

Bon la chir orthognatique n est pas prioritaire. La patiente habite au fin fond de la campagne et n est pas prête aux aller retours sur Clermont pour se lancer la dedans.


Pubg2 rjl8jc - Eugenol
lemondestvaste

27/03/2023 à 18h53

Je vous poste la vue du s 1 demain.


bouboule

27/03/2023 à 18h56

Si elle a rien contre les clous, ça pue le titane :-)
Si en plus y’a pas de demande esthétique t’es le roi du pétrole


Vw campersurfvan bmnk1q - Eugenol
enlaye

27/03/2023 à 19h42

lemondestvaste écrivait:
--------------
" Je vous poste la vue du s 1 demain. "
s 1 ??


Ylfwcw979cz1jnx9gfqeaxndiuzk - Eugenol
Algi

27/03/2023 à 19h47

Tu traites l'urgence pi ensuite ben.... va falloir remonter la dv.

Si tu as de la chance la courbe du haut est plus ou moins correcte (un plan de fox et tu regardes si des centrales aux 7 c'est à peu prés droit) et c'est en bas que, passé les 3 toutes les dents sont enfoncées dans la mandibule
2 provisoires sur 46/47 et rehausse de la ppa pour commencer à donner une courbe correcte antero posterieure.
Des composites sur les anterieures histoire de les aligner et les rendre moins coupantes, tu adoucis les pentes palatines des faces vestibulaires en haut histoire de cesser de taper en lateralité sur la 13 et les autres.

Pour les serrements tu peux t'enquerir de sa vie de couple, de son boulot et des ses minots et lui dire de se débarrasser des trucs qui la font caguer sinon elle va tout casser mais c'est une classe II et on sait que ceux là tu les attires et que donc tu aimes et que tu sauras gérer.

--

On a toujours le choix mais entre quoi et quoi?
Vas-y boulégue et l'avenir te le dira!


Pubg2 rjl8jc - Eugenol
lemondestvaste

28/03/2023 à 11h12

Est ce que dans un cas comme celui ci ça vous pose un problème de rependre l'ensemble les couronnes existantes, qui sont pas tout a fait ajustée et qui seront aberrantes par rapport à la nouvelle occlusion que je projette ?

Alors Bouboule j'admire beaucoup ta politique refusant le RAC ZERO, dans mon exercice et pour ce cas on va devoir composer avec.


bouboule

28/03/2023 à 13h51

Perso, je me pose pas la question comme ça. Est ce que c’est nécessaire, oui ou non.
Dans ton cas, si tu augmentes la DV t’as pas d’autre choix. Le truc est déjà bancale, rajouter des compromis en conservant d’anciennes couronnes…
Pour ce qui est du RAC 0 ici, là non plus je suis pas fan. Garder le clacos en bas c’est le ticket pour les emmerdes rapidement si tu augmentes ta DV. Surtout si en face tu as de belles full zircone RACO toutes neuves. Ton clacos va se retrouver poncé en un rien de temps!
Tout va se reporter sur les dents naturels, le tout de manière déséquilibrée puisque l’usure de la PA ne sera pas forcément uniforme.
Un cas comme ça pour moi, soit l’amovible reste et pas de hausse de DV juste de la bobologie. Soit on reprend tout correctement. L’entre deux c’est le patient en salle d’attente avec des trucs explosés régulièrement .


Gabzou

28/03/2023 à 14h41

lemondestvaste écrivait:
--------------
> Est ce que dans un cas comme celui ci ça vous pose un problème de rependre
> l'ensemble les couronnes existantes, qui sont pas tout a fait ajustée et qui
> seront aberrantes par rapport à la nouvelle occlusion que je projette ?

J'ai un problème avec le travail sur dents saines, mais refaire des couronnes c'est tout à fait logique. Comme bouboule: on fait le nécessaire. J'ai par contre moins de réserves sur le fait de faire du compromis.

Je pars sur une base RAC0 compatible sans s'amuser à faire des wax up et autres, qui pourraient avoir un intérêt tout de même.
On va se heurter au remplacement de la 13, la seule solution RAC0 étant l'amovible unitaire qui n'est pas souhaitable. Je ne vois pas comment éviter soit le bridge en extension canine qui est hors CCAM, soit la mutilation de la 12, soit l'implant (mon choix préféré). Il va falloir la convaincre.

Si on veut chronologiser tout ça:

1) L'urgence: abstention pour la 13 qui est probablement foutue; remise en place de 34 et 35 (décollées de la résine c'est ça? cyanocrylate).

2) Comme Algi, on voit la tête du maxillaire. Réévaluation de 13 (probablement fracturée non conservable). Evaluation de la (des) courbe d'occlusion. Les antérieures sont un peu courtes mais c'est de l'usure, si ça ne gène pas la patiente, pas touche.
A mon avis on va être bon pour (re)faire les couronnes sur 4-5-6 de chaque coté (+ la 7 qui reste) qui semblent bien basses. Je pense qu'on a une perte de 1 à 2 mm à vu de nez en comparant avec les antérieures. Sauf la 24 qui a l'air à peu près OK en terme de DV mais on peut refaire quand même.
Donc zou, c'est parti, dépose des couronnes, on voit s'il faut reprendre les RC et les traitements endodontiques. Puis provisoires un chouia plus haut pour restaurer une courbe correcte. On avulse la 13, implant. Soit mise en charge immédiate (mais vu l'histoire de DV je suis pas chaud), soit on fait gracieusement une extension mésiale aux provisoires sur 14 et 15.

3) On passe à la mandibule. Là encore on réévalue la DV face aux nouvelles provisoires au Mx. A mon avis ça va surtout pécher secteur 30 au niveau de l'amovible.
On refait l'amovible, si possible à chassis métallique avec taquets, ça sera mieux quand même dans la mesure où je ne vois pas de raison d'anticiper l'ajout de dents sur cet appareil.

4) Tout va bien, la patiente a une super DV qui marche, on fait toutes les couronnes définitives au Mx avec nos contraintes RAC0.

J'y crois, et vous?

Bon, évidemment c'est la version RAC0, dans l'idéal c'est évidemment wax up pour bien visualiser, implants secteur 30 et tout le tintouin.


Vw campersurfvan bmnk1q - Eugenol
enlaye

29/03/2023 à 00h36

lemondestvaste écrivait:
--------------
"La patiente venait pour 34 35 descellées et 13 mobile."

34 35 , dents décollées sur appareil ? ou bien 14 15 descellées ?
Et s1 ça veut dire quoi ?


Olieve

29/03/2023 à 06h57

Je ne suis pas certain qu’il y ait eu tant de perte de DV. Ce serait à vérifier avec d’anciennes photos ou panos.
Je dis ça parce qu’ on constate quand même peu d’usure sur les dents encore saines et elle a une fameuse supra-alvéolie maxillaire.


Vw campersurfvan bmnk1q - Eugenol
enlaye

29/03/2023 à 07h38

+1 avec Olieve .
Son pb est un pb de décentrage sur la gauche du à tous les coups au départ par la canine trop épaisse en cingulum .
et les autres couronnes ont pérennisé le bordel .


Dentarue

29/03/2023 à 07h44

Non, ça n’a rien à voir avec la canine, et les couronnes, bien plus tendres que l’émail, ne peuvent rien pérenniser bien évidemment.


Vw campersurfvan bmnk1q - Eugenol
enlaye

29/03/2023 à 07h51

La première chose à faire serait de l équilibrer en centrée pour retrouver son centrage.


Vw campersurfvan bmnk1q - Eugenol
enlaye

29/03/2023 à 07h57

Alors on t écoute .vas y .
:-))


Dentarue

29/03/2023 à 08h00

Tout est dit mon grand.
Et ton histoire « d’équilibrer en centrée » c’est vraiment du grand n’importe quoi.


Vw campersurfvan bmnk1q - Eugenol
enlaye

29/03/2023 à 08h02

A voilà . Et donc tu fais quoi ?


Dentarue

29/03/2023 à 08h03

Je gère à la Clausade.


Vw campersurfvan bmnk1q - Eugenol
enlaye

29/03/2023 à 08h05

Ahhhhh , tu vois que tu as quelque chose à dire :-)
On t écoute .


Dentarue

29/03/2023 à 08h25

Ses bouquins sont encore dispos si tu veux t’instruire.
Je te conseille « orthoposturodontie ».


Blue eye thumb medium dx1i0w - Eugenol
bill

29/03/2023 à 09h00

Bin si tu te mouillais un peu et que tu nous donnais ta solution ?
Parce que là ça ne fait pas avancer le schmilblick...



Pubg2 rjl8jc - Eugenol
lemondestvaste

29/03/2023 à 09h05

Oui la couronne sur sur 13 c'est une honte, volumineuse et beaucoup trop longue. Je suspecte une couronne faite avec un mordu unilatéral pour expliquer une telle aberration.

Sur 34 35 il y avait des couronnes jumelées qui se sont descellées peu après que la 13 se descellée / fracture.

Ok pour chercher sa rc mais pour l'instant c'est tout spasmé. , je recale (un peu) avec le provisoire mandibulaire puis je la manipulerais lors des prochain rendez vous.


Pubg2 rjl8jc - Eugenol
lemondestvaste

29/03/2023 à 09h08

Pour l'instant j'ai observé, j'ai fait mordre en fin de séance sur un coton salivaire entre les incisives pour voir un peu comment la mandibule se repositionne.


Pubg2 rjl8jc - Eugenol
lemondestvaste

29/03/2023 à 09h09

Clausade propose de reconstruire dans une légère propulsion par rapport à la RC c’est bien ça Dentarue ?


12...