Cookie Consent byPrivacyPolicies.comUn cas comme je ne les aime pas trop ... II - Eugenol

Un cas comme je ne les aime pas trop ... II

éponge magique

29/03/2023 à 09h31

enlaye écrivait:
------
> lemondestvaste écrivait:
> --------------
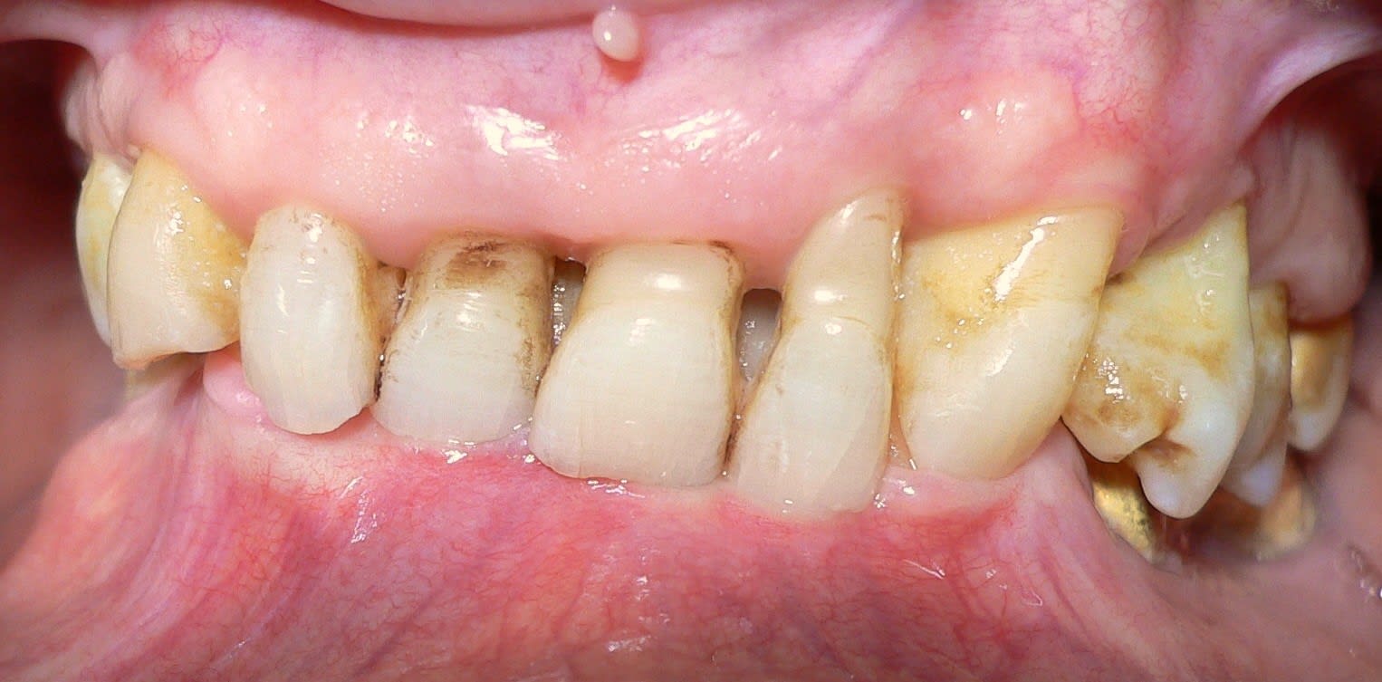
> "La patiente venait pour 34 35 descellées et 13 mobile."
>
> 34 35 , dents décollées sur appareil ? ou bien 14 15 descellées ?

Je comprends pas non plus, sur 34 et 35 il y a un partiel.


Pubg2 rjl8jc - Eugenol
lemondestvaste

29/03/2023 à 10h13

Lors du premier rendez vous d'urgence :
couronne 13 le compo tenon était partiellement décollé.
couronnes jumelées 34 35 descellées
racine 34 perdue
racine 35 pas loin de l'être. .

J'ai ensuite fait le bilan complet, pris les photos, fait un partiel résine pour caler la patiente à minima


Gabzou

29/03/2023 à 13h01

Olieve écrivait:
------
> Je ne suis pas certain qu’il y ait eu tant de perte de DV.

Faut voir, mais sur la photo de face entre les Ic centrales on voit qu'il ne doit pas y avoir plus de 2 mm entre les crètes du haut et du bas. Moi j'appelle ça une perte de DV. A la rigueur une DV trop faible si on pense qu'elle est comme ça depuis toujours mais j'en doute, les molaires semblent quand même sous le plan d'occlusion.
EDIT: c'est un peu con dit comme çà vu que ce sont les contact des dents qui le fixent ce plan d'occlusion. Je veux dire sous le plan d'occlusion virtuel que j'imaginerai avoir chez un patient sain au vu des autres dents.

L'idéal serait quand même des modèles d'étude et un ptit montage en articulateur pour voir ce qu'on peut envisager en terme de changement de DV.


Pubg2 rjl8jc - Eugenol
lemondestvaste

29/03/2023 à 13h41

> L'idéal serait quand même des modèles d'étude et un ptit montage en articulateur
> pour voir ce qu'on peut envisager en terme de changement de DV.

Je vais préparer ça pour le prochain rendez vous. Emp classique et num et classique comme ca y'en aura pour tous les goûts.


Dentarue

29/03/2023 à 14h06

Avec Clausade en gros on aligne les freins en mettant des cales dans les boitiers condyliens de l’articulateur (sam).
Le tige incisive on la règle selon besoin. On valide par une phase de gouttière mandibulaire. Si ok on monte dans la nouvelle position.
Tout ça très résumé.


Pubg2 rjl8jc - Eugenol
lemondestvaste

29/03/2023 à 15h34

Quel bouquin est à privilégier pour mieux comprendre l’approche, le 1 ou le 2 ? Le dvd a un intérêt ?


Ylfwcw979cz1jnx9gfqeaxndiuzk - Eugenol
Algi

29/03/2023 à 18h04

Dentarue écrivait:
--------
> Avec Clausade en gros on aligne les freins en mettant des cales dans les
> boitiers condyliens de l’articulateur (sam).
> Le tige incisive on la règle selon besoin. On valide par une phase de gouttière
> mandibulaire. Si ok on monte dans la nouvelle position.
> Tout ça très résumé.

Ou, comme je le fais, on aligne les freins lors de la mise en place des cartons directement en bouche et on verifie que et la nouvelle dv et le repositionnement lateral et/ou en avant ou en arriere est bien toléré.

Avancer la mandibule en se servant du guide des incisives en bouche permet de gagner de la hauteur mais aussi permet souvent de liberer les ménisques.
Se méfier quand même car à priori ça éloigne de la centrée même si c'est plus facile a trouver.

Perso depuis que je ne bosse plus en Gerber c'est la solution que je privilégie mais je sais que c'est moins bien car TOUS mes cas anciens équipés après centrée et axiographie vont bien alors que chez les nouveaux ou pour ceux qui pouvaient pas financer un protocole long lourd et onéreux ça va moins bien.
--

On a toujours le choix mais entre quoi et quoi?
Vas-y boulégue et l'avenir te le dira!


Olieve

29/03/2023 à 19h59

lemondestvaste écrivait:
--------------

> Je vais préparer ça pour le prochain rendez vous. Emp classique et num et
> classique comme ca y'en aura pour tous les goûts.

Une vidéo de la patiente qui parle ce serait très instructif aussi pour la DV.


Dentarue

29/03/2023 à 20h22

lemondestvaste écrivait:
--------------
> Quel bouquin est à privilégier pour mieux comprendre l’approche, le 1 ou le 2 ?
> Le dvd a un intérêt ?

Orthoposturodontie, Clausade Marty. Bordure rouge.
Le dvd met dans l’ambiance de mémoire.
Je ne m’en souviens plus trop, j’ai fait la formation il doit y avoir 25 ans.
En tout cas ça m’a permis de réaliser des cas complexes en remontant bcp la dv du jour au lendemain, sans souci.


Utilisateur banni

29/03/2023 à 21h33

Ce qui me fait assez rigoler c’est que la patiente vient pour 34 35 et la 13 ….. et vous voilà en train de vouloir augmenter la DVO et de vouloir tout refaire, tout ça parce qu’elle a « la gueule de travers » :) la supracclusion peut vous donner l’envie d’augmenter la DVO. Je dis attention ! Si j’étais un inspecteur des travaux finis compétent, ça me ferait tiquer……


Gabzou

29/03/2023 à 22h10

On sait qu'elle consultait en urgence pour ces dents là, on ne sait pas quelles sont ses demandes exactes.
Donc oui, à clarifier aussi, si elle est bien dans sa peau on peut laisser comme çà en gérant uniquement ce qui est problématique. Soit en gérant la 13, en remplaçant l'amovible immédiate par un amovible base métal, en remplaçant les couronnes inadaptées et les soins trop volumineux.
A ce stade on est parti pour tout refaire de toute façon.
Après le praticien propose et le patient informé dispose, mais tu ne va pas nous reprocher d'essayer d'imaginer la meilleure approche pour le meilleur résultat pour une patiente, si?


bouboule

29/03/2023 à 22h42

Dentarue écrivait:
--------
> Je gère à la Clausade.

Ha ben voilà, t’as aussi ton clocher à toi :-)


Vw campersurfvan bmnk1q - Eugenol
enlaye

29/03/2023 à 23h21

Fripouille écrivait:
------------
" Ce qui me fait assez rigoler c’est que la patiente vient pour 34 35 et la 13 ….. et vous voilà en train de vouloir augmenter la DVO et de vouloir tout refaire, tout ça parce qu’elle a « la gueule de travers » :) "

et c'est ça :-))
regarde la mamie . c'est style une cl2 , elle ne se plaignait de rien , rien de rien , sauf de ses 2 incisives du bas qui bougeaient . elle n'avait pas une tronche très effondrée .la hauteur de l étage inf était cohérent pour une mamie .

Wz3v8t70v1yz82qbotsc30htp1tx - Eugenol

Vw campersurfvan bmnk1q - Eugenol
enlaye

29/03/2023 à 23h26

eh bien , je lui ai fait son canine canine du bas , et elle l 'a gardé jusqu' à la fin :-))

8fiwyp1rnqy7lakwyyxdol57jwzl - Eugenol
269s4qs7nhlvq4xv2pv8jjpbi3xz - Eugenol

ida

30/03/2023 à 00h31

bill écrivait:
----
> Bin si tu te mouillais un peu et que tu nous donnais ta solution ?
> Parce que là ça ne fait pas avancer le schmilblick...
>
> Bonsoir Bill,
J'ouvre une parenthèse, je souhaiterais m'entretenir avec vous sur un sujet qui me tiens à cœur,
voici mon adresse mail : [email protected]



Vw campersurfvan bmnk1q - Eugenol
enlaye

30/03/2023 à 07h38

Dentarue , soyons pratique .
admettons que l on s occupe du cas de Lemondestvaste .
Tu sors ton articulateur , tu montes le haut dessus
(après avoir fait ton Split cast , très belle option de chez SAM , le moule à Split )
Et tu montes le bas avec les enregistrements de centrée.
Heuuu on est bien d accord , on monte tjs le bas en centrée, il n y a pas nouveautés là ??


Dentarue

30/03/2023 à 07h53

Le bouquin est dispo si tu veux approfondir.


Vw campersurfvan bmnk1q - Eugenol
enlaye

30/03/2023 à 07h56

Lorsque le plâtre est sec , enlève les cires de centrées, et on rabat le haut .
- On va repérer les freins sur les modèles, a mince , avec les empreintes alginate les freins sont tous ratatinés , j avais pas choisis le bon porte empreinte qui va bien pas le reflex .bon admettons que qu on les voit bien .
- au moment où j abaisse le haut , apparait la prématurité qui me fait dévier le modèle .
On suppose ici que ce soit sur la 13 , pourquoi pas .


Dentarue

30/03/2023 à 08h06

Pour résumer et faire simple, avec Clausade on n’utilise pas les dents pour conter la bonne aventure.
On a juste besoin d’un fond de marc de café.
C’est peut-être un détail pour vous mais pour moi ça veut dire beaucoup.


Dentarue

30/03/2023 à 08h11

Sinon tu peux monter ta tige incisive.
Pour les freins tu compares ton modèle avec le patient et tu les marques sur le plâtre s’ils n’y sont pas, cela me semble aller sans dire mais je suis de bonne bonne bonne bonne humeur ce matin, y’a des matins comme ça !


Et7jtaj0pdi18gzjlxjiamlx15gs - Eugenol
Prunelles

30/03/2023 à 08h48

enlaye écrivait:
------
> eh bien , je lui ai fait son canine canine du bas , et elle l 'a gardé jusqu'à la fin :-))

Tu as conservé les 2 danseuses et tu as couronné de 43 à 33 ?


Utilisateur banni

30/03/2023 à 09h00

Tu montes tes modèles en OIM Dentarue ?
T’as bien raison


Vw campersurfvan bmnk1q - Eugenol
enlaye

30/03/2023 à 09h36

Prunelles écrivait:
---------
" Tu as conservé les 2 danseuses et tu as couronné de 43 à 33 ? "
j avais enlevé les 2 danseuses et 43 42 41 / 33 sans relever la dv . et après juste joli joli par ci par là .



Vw campersurfvan bmnk1q - Eugenol
enlaye

30/03/2023 à 09h41

Fripouille écrivait:
------------
" Tu montes tes modèles en OIM Dentarue ?
T’as bien raison "
ah bon ? oui mais ça m arrange pas , pcq j ai déjà monté en centrée , j ai positionné la tige comme y m a dit , tracé les freins , mais je suis embêté il n y a que la canine qui touche , le reste est en l air .
putain de canine , j en fais quoi sur les modeles , je la gratte , non ? puisque de toute façon , cest une prothèse que je dois déposer et refaire voir l arracher


Dentarue

30/03/2023 à 10h25

Je ne peux pas t’aider, j’ai toujours raisonné en traitement global.


123...