Cookie Consent byPrivacyPolicies.comDouleur à l'ouverture et limitation d'ouverture mandibulaire - Eugenol

Douleur à l'ouverture et limitation d'ouverture mandibulaire

Hierzfr

04/04/2023 à 13h03

Bonjour !

Vu ce jour un patient avec une sensibilité qui apparaît au bâillement ou à l'ouverture importante en regard des dents maxillaires lors de la mise en tension musculaire.

Se caractérise par un point douloureux à bouche mi-ouverte, situé entre 16 et 46.

Je pensais trouver une lésion carieuse importante secteur 1.
Pas de craquement des ATM.

Qu'en pensez-vous ?

21b07v894s7kbjshrleqlk2ij9qd - Eugenol

Vw campersurfvan bmnk1q - Eugenol
enlaye

04/04/2023 à 13h06

Hierzfr écrivait:
-------
" Se caractérise par un point douloureux à bouche mi-ouverte, situé entre 16 et 46. "
quand il se mort le doigt ?
je sors :-)


Hierzfr

04/04/2023 à 13h10

en appuyant sur la zone avec le doigt.


Gabzou

04/04/2023 à 13h56

Entre 16 et 46, c'est à dire au niveau de la joue?


Hierzfr

04/04/2023 à 14h10

oui, quand la joue est en appui sur les dents maxillaires


Gabzou

04/04/2023 à 14h21

Donc si je récap:
Il a mal uniquement quand il ouvre très grand, au niveau de la joue.

Pas de blessure? D'apparition récente? Douleur intense ou modérée? Qui dure une fois la bouche refermée?
A la palpation jugale (en pinçant la joue avec un doigt endo, un doigt exo buccal), c'est douloureux? bouche ouverte et fermée? On sent quelque chose par rapport à l'autre joue?

Probablement pas dentaire, possiblement lié à la parotide, normalement surtout de la muqueuse dans cette zone là.
Si c'est récent et sans signe clair, surveillance et pis voila; il arrête d'ouvrir comme un malade.
Si c'est chronique/très intense/autres signes visibles, on réfléchit un peu plus sur la base des questions ci dessus.


Ylfwcw979cz1jnx9gfqeaxndiuzk - Eugenol
Algi

04/04/2023 à 14h42

Comme gabzou


--

On a toujours le choix mais entre quoi et quoi?
Vas-y boulégue et l'avenir te le dira!


Hierzfr

04/04/2023 à 15h22

c'est depuis une semaine. En appliquant le doigt en exobuccal, il y a un point sensible.
Patient de 35 ans. Je trouve pas qu'il y ait particulièrement de paro.
Peut-être un rapport avec 16 et le sinus ?


Gabzou

04/04/2023 à 15h41

Pourquoi tu veux chercher un problème au niveau de la 16 et du sinus si les douleurs viennent de la joue? Ou alors j'ai mal compris.
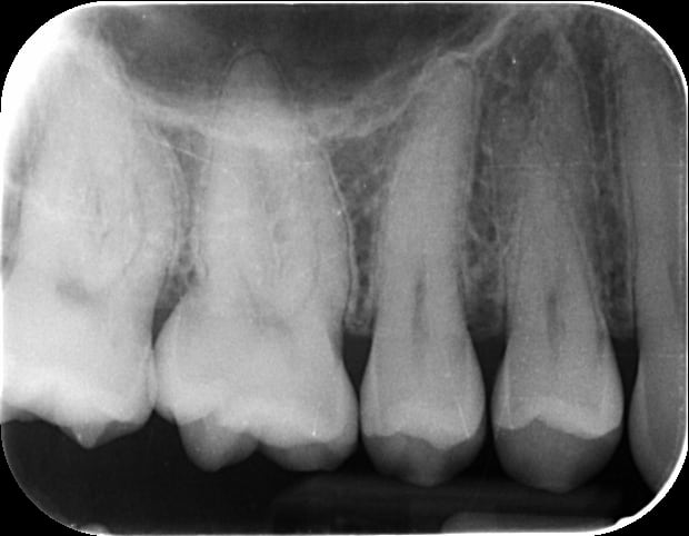
Radiologiquement, tout semble sain, je serais très très étonné que le problème soit dentaire. La 16 ne semble pas cariée, les contours ligamentaires de la racine sont très nets sans aucun élargissement, je vois rarement de dents dont je suis aussi certain du bon état sur une rétroalvéolaire. Je ne peux pas éliminer à 100% une fêlure, mais il n'y aurait pas des douleurs jugales dans ce cas là.
Le sinus semble clair, même si là encore je ne peux pas éliminer à 100% un encombrement sinusien entrainant une légère sensibilité dentaire, mais ça ne fait pas partie des symptômes que tu listais.

L'appui exobuccal c'est pas un super test: tu appuie en même temps sur la joue et l'os maxillaire sous jacent potentiellement, donc impossible de déterminer ce qui est en cause.
On est d'accord, tu as bien parlé d'une douleur entre 16 et 46 dans la joue. Non parce qu'entre 16 et 46 autrement il n'y a rien, de l'air. Ou alors c'est une faute de frappe et tu voulais dire entre 16 et 17 et là c'est très différent.

PS: ça serait sympa de nous donner les retours de tes cas après les avoir postés; c'est le 3ème auquel je réponds sans savoir quel a été le diagnostic au final ;)


Jf35

04/04/2023 à 17h03

Caillou dans le canal de stenon? Pour t’aider c’est le canal excréteur de la parotide.
Ou glande salivaire accessoire?
Y a pas 50 trucs non plus dans le coin


Vw campersurfvan bmnk1q - Eugenol
enlaye

04/04/2023 à 23h12

J avais une astuce pour le petit caillou ,
tu lui fais sucer un cornichon , il gonfle il gonfle il gonfle comme un crapaud et piouf il se dégonfle en chassant le petit caillou.

toc toc badapiouf .


Uncmury6m4drs8ssni8vwnyrlbqu - Eugenol
curdents

17/04/2023 à 13h32

et la chloroquine ?


120 81 mdkvjo - Eugenol
Monaco

19/04/2023 à 15h01

Et ben non, pas de réponse ...