Cookie Consent byPrivacyPolicies.comImplants IDI… ou pas! - Eugenol

Implants IDI… ou pas!

bouboule

05/04/2023 à 11h54

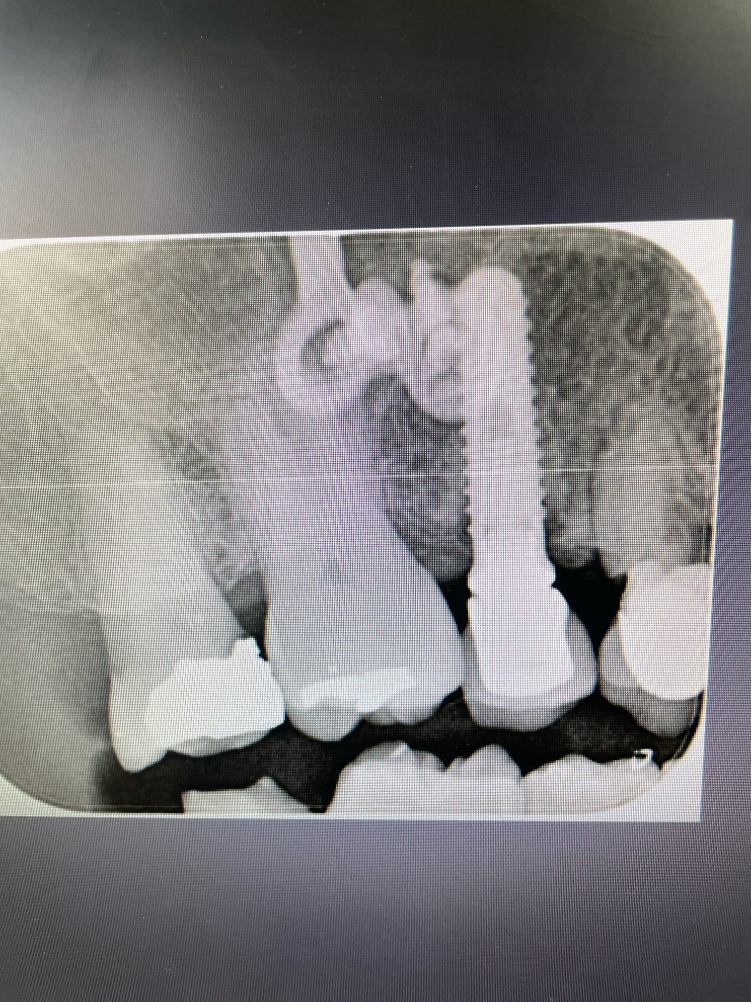
Bonjour, je cherche à confirmer que ces implants sont bien des IDI.
Si oui savez vous avec quelle marque ils sont compatibles et s’il existe des scanbody pour faire de l’empreinte optique?

Txntf0lfq4a03a9r08a5ogwno7ia - Eugenol
Y0p0fytki7ddw80wtn0ppujuv1gs - Eugenol
Ksnaar9xf80p5kwrxnrk813irgcn - Eugenol
Nps7ysnwiebx457bla6zc1na7chr - Eugenol

Photo pluton1b h9n4ea - Eugenol
pluton

05/04/2023 à 12h20

direct je te dis, c'est pas de l'IDI....
je regarde çà dans la journée/soirée pour te trouver la marque...ok?


bouboule

05/04/2023 à 14h04

😅je suis vraiment une purge en recherche d’implants! Merci


Dent de sourire 538489 zg2erl - Eugenol
hmd4

05/04/2023 à 18h02

Pas idi sur . Le seul ressemblant chez idi serait idmax mais il sont different sur plusieurs points


Photo pluton1b h9n4ea - Eugenol
pluton

05/04/2023 à 18h16

hmd4 écrivait:
----
> Pas idi sur . Le seul ressemblant chez idi serait idmax mais il sont different
> sur plusieurs points

c'est clair.....l'idmax c'est celui qui se rapproche le plus sans cocher toutes les cases....c'est ce qui fait que j'ai pas l'impression que çà soit çà, car les spires semblent différentes.....et pour l'instant, je sèche....


bouboule

05/04/2023 à 19h30

😳si même toi tu sèches c’est chaud! Va falloir bricoler! Merci d’avoir cherché .


bouboule

06/04/2023 à 08h56

Il ressemble quand même à un idmax, qu’est-ce qui vous fait dire que ça n’en est pas un?


Dent de sourire 538489 zg2erl - Eugenol
hmd4

06/04/2023 à 22h09

Taille du col et régularité des spires


bouboule

07/04/2023 à 12h02

Des nouvelles de ma galère: les implants sont bien des IDI.
J’ai remis la main sur l’associé du poseur initial. Par contre ce sont des implants qui ont 15 ans. Peut être que la forme a évolué depuis. J’attends la traçabilité exacte la semaine prochaine.


Et7jtaj0pdi18gzjlxjiamlx15gs - Eugenol
Prunelles

07/04/2023 à 15h41

Pour polluer le fil un peu.
Tu vas reprendre les couronnes pour faire un bridge 24/25/26 ou juste à cause de l'adaptation douteuse des couronnes actuelles ?


bouboule

07/04/2023 à 21h25

25 est HS. Mobilité 4 avec une pêche qui flirt dangereusement avec la fixation au dessus. Le bridge est plus simple que d’extraire et espérer récupérer un peu d’os à la cicatrisation. Pour 12 et 15, les ceram sont explosées , à reprendre. ça c’est pour les implants. Pour le reste, ça bruxe version sauvage…les incisives Mand ressemblent à des grains de riz et au max c’est super moche… il est donc prévu une hausse de DV ( aïe aïe aïe ) et une réhabilitation esthétique des blocs antérieurs…


Dent de sourire 538489 zg2erl - Eugenol
hmd4

07/04/2023 à 23h14

Merci de l info. Bon courage pr reprendre le cas


bouboule

11/04/2023 à 11h52

Traçabilité définitive reçue ce matin: IDMAX 4,4. Y a plus qu’à !


CHRISTOPHE. 78

11/04/2023 à 12h13

Pense à commander l'ancien tournevis carré qui est beaucoup plus large que le plus récent... Et évidement le tournevis adéquat pour le nouveau pilier


bouboule

11/04/2023 à 12h51

Bon à savoir cette histoire de tournevis, merci!!


Blue eye thumb medium dx1i0w - Eugenol
bill

12/04/2023 à 11h10

J'espère que les poseurs d'aujourd'hui pensent systématiquement à remettre un "passeport implantaire", ça évitera toutes ces galères...


--
https://docudent.fr
500 documents dentaires
& Aide au choix prothétique
________________________