Cookie Consent byPrivacyPolicies.comrecherche marque implant - Eugenol

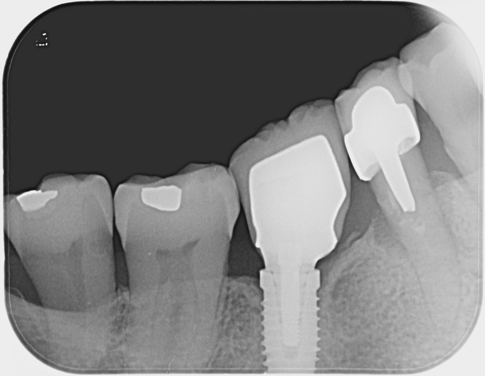
recherche marque implant

Azerty06

06/04/2023 à 12h50

Bonjour,

je cherche à savoir quel est cet implant dont la couronne est dévissée.

Merci pour vos avis

6zffgfe83izl96the77zm976asor - Eugenol