Cookie Consent byPrivacyPolicies.comquel implant ? - Eugenol

quel implant ?

Egy194 ietbqd - Eugenol
tristanavi

13/04/2023 à 08h57

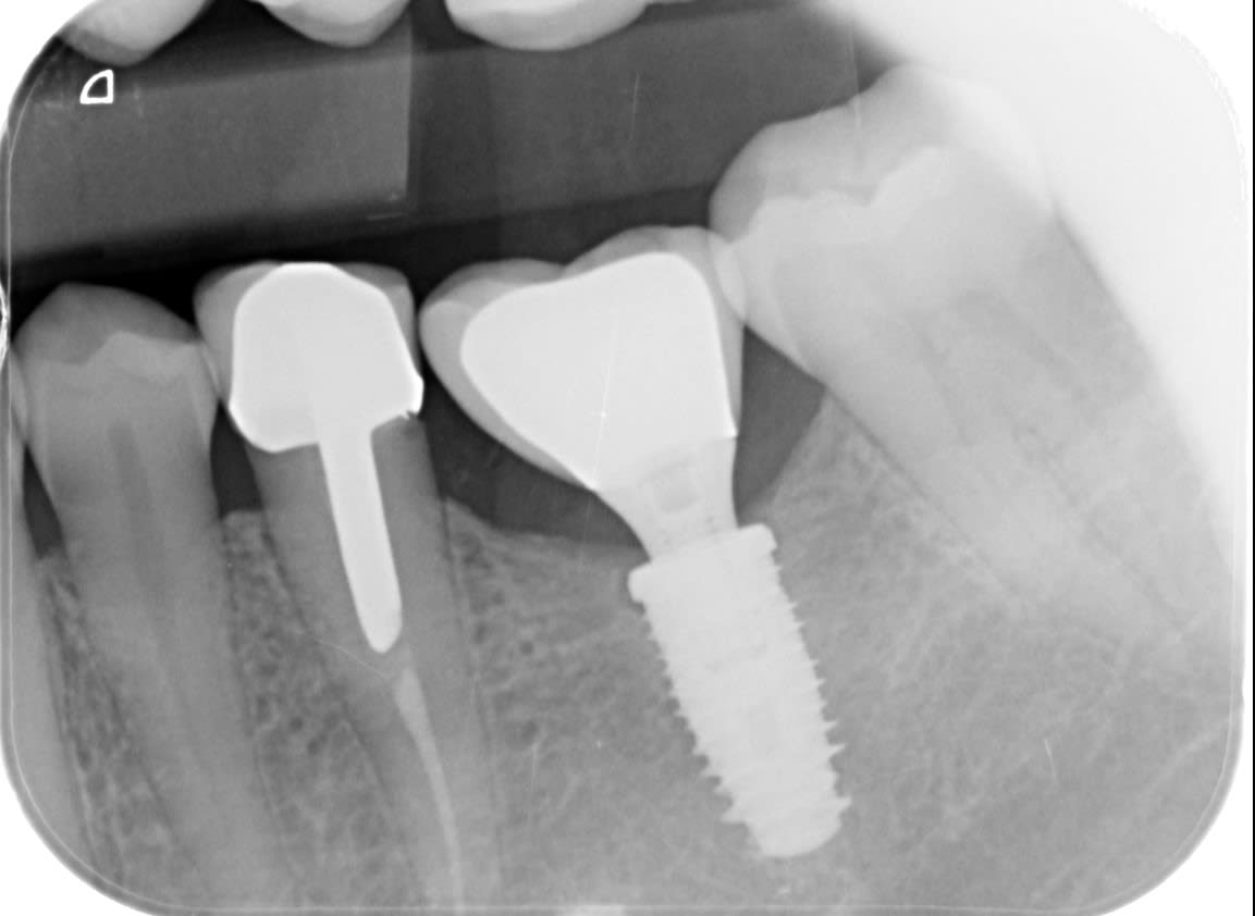
Bonjour, quel implant pour ce pilier ? merci par avance.

Qhudcp4xbgwzgkeajidy34pjjewm - Eugenol

Ylfwcw979cz1jnx9gfqeaxndiuzk - Eugenol
Algi

13/04/2023 à 09h14

Moi j'ai celui là.

Seules infos "type Kontact diamètre 4,8 mm Longueur 10 mm K 4810"

A priori je l'ai trouvé, je voudrais juste confirmation.

https://www.spotimplant.com/fr/implants-dentaire/biotech-dental/kontact-s


--

On a toujours le choix mais entre quoi et quoi?
Vas-y boulégue et l'avenir te le dira!

Au1c5zwav0jhxx87t4d7zjpx7dwi - Eugenol

Photo pluton1b h9n4ea - Eugenol
pluton

13/04/2023 à 13h54

Pour le pilier avec sa couronne….heureusement caractéristique….c’est du 3i


Pour l’implant en radio, oui biotech kontact (s ou pas, on s’en moque c’est la même connexion)


Egy194 ietbqd - Eugenol
tristanavi

13/04/2023 à 15h35

Merci Pluton


Egy194 ietbqd - Eugenol
tristanavi

13/04/2023 à 15h37

Bientôt Pluton nous donnera en plus le millésime !