Cookie Consent byPrivacyPolicies.comidentification implant - Eugenol

identification implant

2013 03 05 16.04 - Eugenol
styves

25/04/2023 à 12h00

bonjour les experts
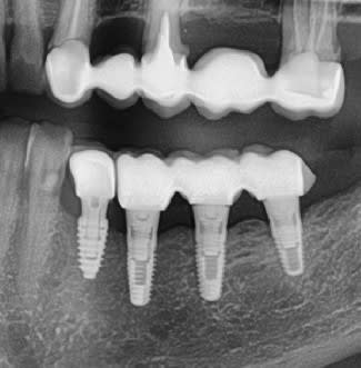
Pourriez vous me dire quel est le type d implant sur 35 36 37
en 34 c est du anyridge
C était du transvissée zircone et la céramique s est fracturée en plusieurs ,la vis du pilier multiunit est bleue et de gros diamètre j ai pu dévisser avec tournevis megagen
Merci de vos reponses


2013 03 05 16.04 - Eugenol
styves

25/04/2023 à 12h01

j ai eu du mal à poster l image

Msdkmvjy9x0ij9qpvf9f81nalts4 - Eugenol

Photo pluton1b h9n4ea - Eugenol
pluton

25/04/2023 à 13h22

Bein tu peux recommencer et en profiter pour faire une bonne rétro et faire un export des radios via ton logiciel d’imagerie par ce que la photo au smarphone de la panoramique affichée sur l’écran, c’est de la merde on voit rien tellement c’est pixelisé…


2013 03 05 16.04 - Eugenol
styves

25/04/2023 à 15h14

h

443pdoute5vg5tv1ph5s9p6iqqkh - Eugenol

Photo pluton1b h9n4ea - Eugenol
pluton

25/04/2023 à 16h11

c'est mieux.....mais pas suffisant
rétro pour avoir les détails de la connexion, tu type de spires, etc....


2013 03 05 16.04 - Eugenol
styves

25/04/2023 à 17h50

je n'ai pas le patient dispo avant 15j et il me faudrait commander l'accastillage correspondant😕


2013 03 05 16.04 - Eugenol
styves

25/04/2023 à 17h51

hexagone interne non conique


Photo pluton1b h9n4ea - Eugenol
pluton

25/04/2023 à 21h43

J’ai 1200 correspondances, on joue à plouf plouf ?
Tu convoque le patient et tu fais une rétro, sinon je ne pourrai pas t’aider plus


2013 03 05 16.04 - Eugenol
styves

26/04/2023 à 08h57

merci