Cookie Consent byPrivacyPolicies.comExtraction canine incluse - Eugenol

Extraction canine incluse

Gbfo08o2ecy6sxsnqko0n3imhewv - Eugenol
Palpatine

14/05/2023 à 12h53

Il s'agit d'un patient adressé qui ne veut plus entendre parler de traction de canine depuis l'échec de la traction de sa 23.
Enfin, je suis étonné de ne pas proposer l'implant avec extraction en 1ere intention, dévitaliser des dents pour réaliser un bridge me semble "has been"


Rape p0as4f - Eugenol
rapelapente

14/05/2023 à 15h49

Palpatine écrivait:
---------
> Il s'agit d'un patient adressé qui ne veut plus entendre parler de traction de
> canine depuis l'échec de la traction de sa 23.
> Enfin, je suis étonné de ne pas proposer l'implant avec extraction en 1ere intention, "

Ben oui évidemment.

"dévitaliser des dents pour réaliser un bridge me semble "has been"

Évidemment aussi.

Personne n'avait joué à ré-implanter des canines?
Ça durait environ 10 ans avant rhysalise. C'était bonnard.
Je fabriquais un masque en plomb avec une feuille récupérée sur un film, au dessin exact de la racine, pour me guider par radios successives dans le creusement de la neo-alveole à la fraise boule.
Du fun à l'état pur!
Bien sûr aujourd'hui plus question de ça.

--
Schooner For Ever"


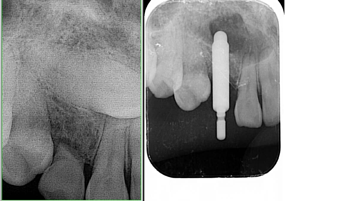
Gbfo08o2ecy6sxsnqko0n3imhewv - Eugenol
Palpatine

08/06/2023 à 10h17

Dent extraite et implant posé

1mex85rn3faa7u3ijp1jwjm4x4h4 - Eugenol

12