Cookie Consent byPrivacyPolicies.com[Etudiant] gutta gutta.... - Eugenol

[Etudiant] gutta gutta....

EndoNoob

27/05/2023 à 20h25

Bonjour ! Etudiant en 5eme année je me retrouve avec un problème et j'aimerais avoir votre avis sur mon cas

La patiente, jeune se présente avec douleur à la percussion et et test au froid négatif, la dent est morte, je refais les parois, je pose la digue et j'attaque le traitement canalaire, c'est une 36 et j'ai une difficulté à instrumenter les canaux mesiaux.

Manque de temps, je pose de l'hydroxyde de calcium et decide de laisser le produit en place une semaine avant de revoir la patiente et reprendre le traitement endodontique meme si je n'ai pas réussi à avoir ma longueur de travail sur les canaux mesiaux

La patiente se présente à l'école une semaine apres, je pose des cônes de gutta percha, boule de coton et cavit, puis je fais la radio de controle (la radiographie etant au sous sol, je suis donc obligé de refermer la dent et de retirer la digue afin de l'accompagner faire la radio)

J'estime que les canaux mesiaux sont mal instrumente alors je cherche a continuer, cependant!!!!!!!

Je constate avoir fait une erreur bête.. J'ai coupé les cones au gutta heater et donc je n'arrive pas a retirer les cones facilement... J'essaye mais je ne réussi pas ( me sentant bien nul sur le coup car j'imagine que ce n'est pas plus compliqué que ca... Prof absent ce jour la, je suis seul, donc j'improvise) je decide de proceder comme lors d'un retraitement et donc j'attaque, eucalyptol, lime rotative puis lime manuel pour retirer la gutta au 1/3 apical, cependant en distal, je pense avoir pousser le gutta au dela de l'apex...

Je suis à lapex partout selon lapex locator, je decide de reposer 1semaine d'hydroxyde de calcium car j'estime que la première fois la pose de l'hydroxyde de calcium etait peut etre inutile puisque je n'étais pas à l'apex dans les deux canaux mesiaux.

Donc je pose, j'obture provisoirement et je fais une radio de contrôle

Résultat : extrusion d'un petit bout de gutta, douleur et gonflement, la patiente prend des antibio/antiinf et se sent beaucoup mieu 3jour après l'extrusion du gutta au dela de lapex.

Je précise que tout a été fait sous digue et que j'ai bien désinfecte à l Hypo, et j'utilise de l'hypo 5,25%
(j'ai par sécurité, apres que la patiente se soit plainte de douleur violente le lendemain, revu la patiente, ouvert la dent et irrigue avec du serum phy en pensant a une brûlure hypo et mise antibio/antiinf immediate )

POUR EN VENIR A MES QUESTIONS :
1) QUEL EST LA CONDUITE A TENIR ?

Dans cette situation, est ce possible d'éviter la resection apicale et l'obturation retro ???

Existe t il une technique avec du matériel endodontique basique sans microscope pour retirer ce petit bout de gutta ???

Est ce une bonne idée de patienter et voir l'évolution sachant que la patiente a eu de forte douleur dès le lendemain ???

Extraction direct pour eviter tout risque d'infection et de complication qui pourrait impliquer le NAI ?

sachant je peux voir la patiente mardi et jeudi seulement, elle travaille les autres jours et le week end prochain, elle part pour 4mois..

Je me sens mal pour cette patiente et j'aimerais rattraper mon erreur, je lui ai annoncé que une extraction pourrait potentiellement etre la seule solution possible pour la préparer mentalement, mais je suis hyper dégouté et je me sens carrement incompétent en ce moment, je demande donc votre aide

Merci !!!!

O23jlenvmwe5z2679rrq5lmyqxyz - Eugenol
Uobaejpu3axxj1pi4qubmetwk3nc - Eugenol
E64ogc6dx64zht8t8dukli0je8a6 - Eugenol
F9dslo1h6p30jy9hir9t7kha9wws - Eugenol
0bcun3aoj1axtg567tuc9mtr1fu7 - Eugenol
2r3vpr8cszbfa1maji3o600s4m7h - Eugenol

fabz

27/05/2023 à 21h35

Ca arrive à tout le monde de foirer une endo même après 30 ans d’exercice
Je pense qu’avant d’extraire tu devrais la faire venir quand un prof calé en endo soit là


Dent de sourire 538489 zg2erl - Eugenol
hmd4

27/05/2023 à 21h42

Se sentir coupable n est pas utile. Il faut comme tu le fais chercher a comprendre pour progresser.
Meme si pas obligatoire avec un localisateur d apex, une radio lime en place ou cone en place t aurai permis de voir avant de couper les cones. Et si la radio n est pas au fauteuil, nous gardions la digue et promenions le patient a l epoque 😭.
Concernant la suspicion de depassement distal, de base tu etais loin de l apex radiologique. Il faudrait un cbct pour verifier. Ensuite meme si c est un dépassement, en vue de la distance avec le nerf alv les suites sont peu fréquentes a part le post op immediats. La question est juste si la pulpe était nécrosé et septique alors la persistance d une lesion apicale est probable malgres la digue


Capture d  cran 2015 03 12 12.28 - Eugenol
chicot29

27/05/2023 à 23h03

"(la radiographie etant au sous sol, je suis donc obligé de refermer la dent et de retirer la digue afin de l'accompagner faire la radio)" C'est une blague ?


--
Dentiste qui en a plein le cul.


EndoNoob

27/05/2023 à 23h48

chicot29 écrivait:
--------
> "(la radiographie etant au sous sol, je suis donc obligé de refermer la dent et
> de retirer la digue afin de l'accompagner faire la radio)" C'est une blague ?
>
>
> --
> Dentiste qui en a plein le cul.

Malheureusement non ce n'est pas une blague, nous disposons au sein de notre faculté seulement d'une "salle" de radiologie ou est mis a disposition une pano et une retro. J'étudie à l'étranger, en Roumanie, et c'est comme ca que ca se passe ici, une seule radio pour les etudiants et une gentille dame qui contrôle nos radios et qui nous aident à prendre les clichés comme il faut, peut être que la situation n'est pas la même en France, ce qui pourrait expliquer votre étonnement.


EndoNoob

27/05/2023 à 23h51

hmd4 écrivait:
----
> Se sentir coupable n est pas utile. Il faut comme tu le fais chercher a
> comprendre pour progresser.
> Meme si pas obligatoire avec un localisateur d apex, une radio lime en place ou
> cone en place t aurai permis de voir avant de couper les cones. Et si la radio n
> est pas au fauteuil, nous gardions la digue et promenions le patient a l epoque
> 😭.
> Concernant la suspicion de depassement distal, de base tu etais loin de l apex
> radiologique. Il faudrait un cbct pour verifier. Ensuite meme si c est un
> dépassement, en vue de la distance avec le nerf alv les suites sont peu
> fréquentes a part le post op immediats. La question est juste si la pulpe était
> nécrosé et septique alors la persistance d une lesion apicale est probable
> malgres la digue


Merci pour votre conseil, effectivement, déplacer la patiente avec la digue en bouche m'aurait évité de couper les cones de gutta et donc tous les problèmes résultant dans cette situation, je ferais comme vous dites la prochaine fois.
Mais du coup, que menconseillez vous ?
Je n'essaye pas de retirer la gutta ? Je patiente et j'observe l'évolution ?
Merci


EndoNoob

27/05/2023 à 23h53

fabz écrivait:
----
> Ca arrive à tout le monde de foirer une endo même après 30 ans d’exercice
> Je pense qu’avant d’extraire tu devrais la faire venir quand un prof calé en
> endo soit là

C'est prévu ! Mon prof d'endo sera présent lundi et je vais essayer de le chopper pour qu'il reste avec moi mardi matin quand je verrais la patiente. Merci pour votre conseil


Et7jtaj0pdi18gzjlxjiamlx15gs - Eugenol
Prunelles

28/05/2023 à 07h49

C’est fréquent que vous preniez en charge des patients sans supervision ?

Si un prof était présent il t’aurait probablement mis en garde ici sur les potentielles difficultés avant de commencer (longueur des racines, intensité de la courbure, âge de la patiente, etc…).

Comme dit Hmd4, une radio lime ou cône en place est le minimum pour t’assurer de t’a longueur de travail.


Hok 1b hgd3rj - Eugenol
Hokusai

28/05/2023 à 08h35

c est ok... t as le niveau endo moyen en france ;)


bouboule

28/05/2023 à 08h42

Hokusai écrivait:
-------
> c est ok... t as le niveau endo moyen en france ;)

T’es ouf! Entre la reconstitution pré-endo et la digue il est déjà dans l’élite


Osaekomi

28/05/2023 à 09h08

Je pense que ce n'est pas de la gutta mais de l'hydroxyde. No stress !


fabz

28/05/2023 à 10h11

Plutôt radio cône en place parce que lime en place pour descendre à la cave ça craint un peu


EndoNoob

28/05/2023 à 10h30

Prunelles écrivait:
---------
> C’est fréquent que vous preniez en charge des patients sans supervision ?
>
> Si un prof était présent il t’aurait probablement mis en garde ici sur les
> potentielles difficultés avant de commencer (longueur des racines, intensité de
> la courbure, âge de la patiente, etc…).
>
> Comme dit Hmd4, une radio lime ou cône en place est le minimum pour t’assurer de
> t’a longueur de travail.

Non, c'était exceptionnel, ke devais terminer ce cas en urgence car la session d'examen approche et j'ai pris l'accord du prof. En attendant de le revoir j'ai voulu avoir votre avis


EndoNoob

28/05/2023 à 10h31

Hokusai écrivait:
-------
> c est ok... t as le niveau endo moyen en france ;)

C'est pas ok 😭


EndoNoob

28/05/2023 à 10h31

bouboule écrivait:
--------
> Hokusai écrivait:
> -------
> > c est ok... t as le niveau endo moyen en france ;)
>
> T’es ouf! Entre la reconstitution pré-endo et la digue il est déjà dans l’élite

Vous foutez pas de ma gueule 😭😭😂


EndoNoob

28/05/2023 à 10h34

Osaekomi écrivait:
--------
> Je pense que ce n'est pas de la gutta mais de l'hydroxyde. No stress !

Merci de votre réponse, j'y ai pensé également au début mais vu la "courbure" du matériel qui depasse j'ai pensé à un petit bout de gutta qui aurait été plié par la pression avec mes limes..

Tout de même, si vous suspectez un depassement d'hydroxyde de calcium, je ferais une irrigation suivi d'une radio pour voir si "l'exces" disparaît, ce qui m'arrangerait :D


EndoNoob

28/05/2023 à 10h35

fabz écrivait:
----
> Plutôt radio cône en place parce que lime en place pour descendre à la cave ça
> craint un peu

Hahaha bien vu 😂


Gabzou

28/05/2023 à 16h57

EndoNoob écrivait:

> Résultat : extrusion d'un petit bout de gutta,

Ca ce n'est pas grave, des dépassements de gutta il y en a tout le temps. La gutta est inerte. En dehors d'une brève irritation suite au dépassement, ça rentre dans l'ordre tout seul.

douleur et gonflement, la
> patiente prend des antibio/antiinf et se sent beaucoup mieu 3jour après
> l'extrusion du gutta au dela de lapex.

Comme déjà dit pas d'autres, je pense que c'est plus l'hydoxide de calcium qui a du causer ces douleurs, mais ça ne change pas grand chose. Ton traitement était bon, anti-inflammatoire soulagent efficacement, les ATB ne sont généralement pas nécessaires mais bon, on ne sait jamais.

> POUR EN VENIR A MES QUESTIONS :
> 1) QUEL EST LA CONDUITE A TENIR ?
>
> Dans cette situation, est ce possible d'éviter la resection apicale et
> l'obturation retro ???

Oui, tu ne touches à rien, tu réobture comme il faut à l'apex et surveillance.

> Existe t il une technique avec du matériel endodontique basique sans microscope
> pour retirer ce petit bout de gutta ???

Non, au delà de l'apex la seule solution est la résection apicale; mais uniquement si'l s'avère qu'il faut vraiment intervenir. Il y a 9 chances sur 10 que tout rentre dans l'ordre tout seul.

> Est ce une bonne idée de patienter et voir l'évolution sachant que la patiente a
> eu de forte douleur dès le lendemain ???

Oui, c'était une réaction aigue suite au dépassement, si c'est fini au bout de 3 jours, c'est que c'est rentré dans l'ordre. Le problème est fini.

> Extraction direct pour eviter tout risque d'infection et de complication qui
> pourrait impliquer le NAI ?

Sûrement pas, il n'y a aucun symptôme. Pourquoi penses tu qu'un risque infectieux existe? Si tu finis ton endo sous digue comme il faut, il n'y en a pas.

> Je me sens mal pour cette patiente et j'aimerais rattraper mon erreur,

Ce n'est pas une erreur, c'est un aléa thérapeutique, il n'y a pas de faute réelle dans ta prise en charge. A la limite le fait d'avoir coupé les cônes trop tôt, et encore.


Pour conclure: tu finis ton endo proprement, tu surveilles.
Tu peux rincer si tu veux mais c'est au delà de l'apex: ca restera là de toute façon, et tu n'as pas envie de projeter quoi que ce soit de plus au delà de l'apex, ça ne ferait qu'aggraver les choses.
Sans symptômes, c'est fini, au revoir et à bientôt.
Le risque, hautement improbable, c'est l'apparition de douleurs chroniques modérées dues au dépassement. Si ça dure alors il faudra réintervenir car même modéré, ça finit par devenir insupportable. Réintervention qui consistera dans une premier temps à récupérer à rétro le matériau qui dépasse, et au pire du pire à avulser mais je n'y crois pas.

Retiens bien un truc: pas de symptômes, pas de problèmes.
Même si c'est moche, ne jamais toucher à un traitement qui ne pose pas de problème juste pour la raison qu'il est moche.
Evidemment c'est différent pour une lésion qu'on voit évoluer à la radio ou si on prévoit une couronne par dessus, mais on ne retouche jamais un truc juste pour retoucher, sauf à vouloir s'emmerder pour le plaisir.


EndoNoob

28/05/2023 à 18h17

Merci pour votre bienveillance Gabzou, vous avez répondu à toutes mes questions,

La patiente aujourd'hui me dit aller beaucoup mieu, suite à l'accord du professeur je procéderai comme vous me dites de faire, c'est à dire par une obturation définitive et la mise en place d'une surveillance post traitement.

Je demanderai à la patiente de faire une radio de controle dans 3mois et je lui ferai une radio dans 6mois

Merci à tous pour votre aide :D


EndoNoob

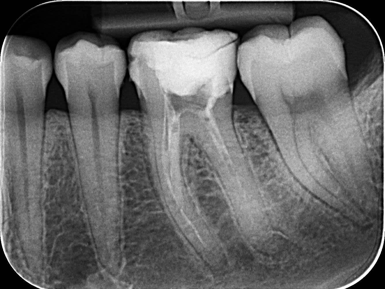
30/05/2023 à 12h32

Resultat de mon endo

Lime endomoteur casse MV :s

Et finalement en distal c'était surement de l'hydroxyde de calcium car ça a plus ou moins disparu !!

(2seances d'hydroxyde de calcium, chaque seance irrigation Hypo, toujours sous digue, d'où la décision de laisser la Lime en place, la patiente est informée et rassurée)

Obturation composite direct

468g8qcg2iebyc7ljhu0qoitk8op - Eugenol
Qglz6462mw971qgi9fedjkb49byw - Eugenol

king_zoulou

30/05/2023 à 13h13

Comme on dit, quand ça veut pas, ça veut pas ^^


Hok 1b hgd3rj - Eugenol
Hokusai

30/05/2023 à 13h17

EndoNoob écrivait:
--------
> Lime endomoteur casse MV :s

pas bravo ;)

superbe anatomie occlusale :)
c est la restauration définitive ?? a mon avis ca va casser assez vite...


Et7jtaj0pdi18gzjlxjiamlx15gs - Eugenol
Prunelles

30/05/2023 à 13h36

Hokusai écrivait:
-------
> c est la restauration définitive ?? a mon avis ca va casser assez vite...

Suis du même avis, mais on dit que j'ai le taille-crayon facile...
Tu as quand même recomposé les 2/3 de la couronne en compo.


120 81 mdkvjo - Eugenol
Monaco

30/05/2023 à 13h57

Alors qu'un bel amalgame des familles ...


EndoNoob

30/05/2023 à 14h02

C'est provisoire, juste pour l'été !
Et je préfère patienter avant de poser une prothese etant donné qu'une lime a cassé

Merci à tous pour vos conseils :)


12