Cookie Consent byPrivacyPolicies.comidentification implant - Eugenol

identification implant

bouboule

01/06/2023 à 11h03

Bonjour,

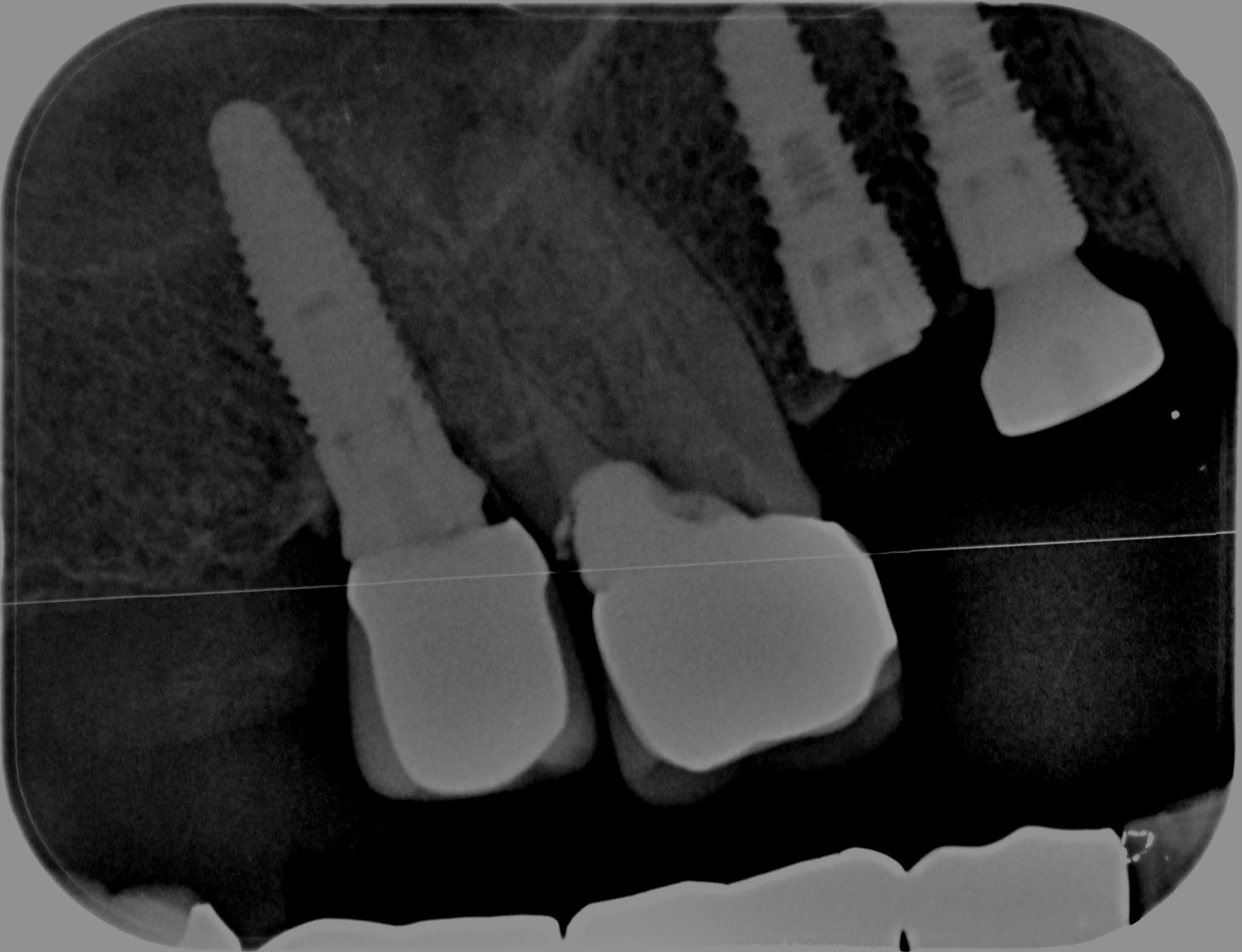
J'ai encore un cas où le poseur est décédé sans successeur... le malheureux ne donnait pas de traçabilité.

J'aimerai bien me servir de l'implant en 17 pour éviter de devoir coller un quatrième implant en 16. (14 et 15 se sont les miens).

Une idée de ce que peut être ce magnifique implant 17?

Tbuuiq173j9lww7zgy1hfwrobu0a - Eugenol

Photo pluton1b h9n4ea - Eugenol
pluton

01/06/2023 à 14h59

Un bon petit billet pour un Nobel replace.....;-)
https://whatimplantisthat.com/implants/details/nobelreplace-tapered-groovy-rp


bouboule

01/06/2023 à 21h15

J’ai des tournevis compatible dans un fond de tiroir, je vais tester l’hypothèse! Merci beaucoup!