Cookie Consent byPrivacyPolicies.comidentification implants - Eugenol

identification implants

Ylfwcw979cz1jnx9gfqeaxndiuzk - Eugenol
Algi

06/06/2023 à 12h31

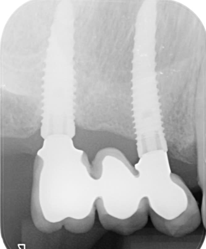
Selon la patiente qui, comme d'hab a pas eu ou a perdu son passeport..

46 Konebel replace.... je dirais nobel mais...
24 Nobel.

Implants posés en 2013 2014...

Les radios sont pas top... je la revois vendredi 9...


--

On a toujours le choix mais entre quoi et quoi?
Vas-y boulégue et l'avenir te le dira!

Ud7mcwnzhqghqix380sg5477ha56 - Eugenol
Vlvxs3we1jbshhrp7wus8zm08061 - Eugenol

Photo pluton1b h9n4ea - Eugenol
pluton

06/06/2023 à 13h32

Oui c’est du replace tapered, trilobe, pas les CC….


Ylfwcw979cz1jnx9gfqeaxndiuzk - Eugenol
Algi

06/06/2023 à 17h08

Tu le savais déjà mais en ces temps troublés ça peut pas faire de mal.

Merci tu es un amour 💘


--

On a toujours le choix mais entre quoi et quoi?
Vas-y boulégue et l'avenir te le dira!


Ylfwcw979cz1jnx9gfqeaxndiuzk - Eugenol
Algi

09/06/2023 à 10h23

Question: l'implant 13 a l'air différent de la 15 au niveau du col...

Mon protho me dit qu'il existe 3 modéles, wide, narrow et regular.... une idée de ce à quoi j'ai affaire?


--

On a toujours le choix mais entre quoi et quoi?
Vas-y boulégue et l'avenir te le dira!


Photo pluton1b h9n4ea - Eugenol
pluton

09/06/2023 à 14h30

Algi écrivait:
----
> Question: l'implant 13 a l'air différent de la 15 au niveau du col...
>
> Mon protho me dit qu'il existe 3 modéles, wide, narrow et regular.... une idée
> de ce à quoi j'ai affaire?
>
>
> --
>
> On a toujours le choix mais entre quoi et quoi?
> Vas-y boulégue et l'avenir te le dira!

tu as 2 tailles différentes c'est certain....mais c'est toi avec ton logiciel d'imagerie qui peut faire la distinction....je dirais soit un narrow (étroit) et un regular, soit un regular et un wide (large)


vernal

09/06/2023 à 15h11

Algi écrivait:
----
> Selon la patiente qui, comme d'hab a pas eu ou a perdu son passeport..
>
> 46 Konebel replace.... je dirais nobel mais...
> 24 Nobel.
>
> Implants posés en 2013 2014...
>
> Les radios sont pas top... je la revois vendredi 9...
>
>
> --
>
> On a toujours le choix mais entre quoi et quoi?
> Vas-y boulégue et l'avenir te le dira!

C'est une bonne idée, l'implant courbé ! Cela ouvre un nouveau champ de possible. Le fraisage courbé, la recherche de l'os courbé... Pas sur que l'egonomiste soit d'accord !