Cookie Consent byPrivacyPolicies.comVotre plan de traitement avec extractions "stratégiques" - Eugenol

Votre plan de traitement avec extractions "stratégiques"

Gbfo08o2ecy6sxsnqko0n3imhewv - Eugenol
Palpatine

08/06/2023 à 10h21

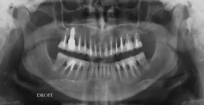
Patiente venant pour son bridge 44-(43)-42-41 mobile avec abces.
Vous lui proposeriez quoi? et comment lui présenteriez vous les choses?

Elle n'a absolument pas conscience de son probleme sur 33

Je pensais lui poser 3 implants en 43-41-33 et tout extraire le bloc incisivo canin mandibulaire...avec des extractions stratégiques de 31 et 32. (en plus du traitement parodontal pour la poche en distal de 35)

Z7mg4aux21k805l4w8w9p246j036 - Eugenol

Gabzou

08/06/2023 à 10h35

Et avant ça tu n'as pas envie de tenter le ttt endodontique et parodontal de 33 et des dents supports de bridge et de refaire un bridge?


Et7jtaj0pdi18gzjlxjiamlx15gs - Eugenol
Prunelles

08/06/2023 à 10h39

Palpatine écrivait:
---------
> et comment lui présenteriez vous les choses?

Elle a quel âge ?
Suffit simplement de lui dire que tu peux plus rien faire pour son bridge. Direct poubelle.
Qu'à la radio y'a un truc pas beau sur 33. Direct poubelle.
Que si elle veut un truc mignon joli en bas pour sourire, on peut pas garder 31 et32. Direct poubelle.
Si elle veut pas d'implants, un petit châssis des familles ca peut faire l'affaire.


Avatar transparent iqadnc - Eugenol
adhoc

08/06/2023 à 10h58

Je suis ok avec gabzou. Mais il faut reveiller sa conscience (et son intelligence): ca sera long, pas forcement victorieux, mais pour moi, ca vaut le coup d'essayer. Puis reconstitutions classiques, bridge provisoire . c'est de la com, mais si elle ne pige rien, ca sera dur pour accepter un echec éventuel (fracture a la depose, calcification, fracture instrumentale, faux canal)


Gbfo08o2ecy6sxsnqko0n3imhewv - Eugenol
Palpatine

08/06/2023 à 11h18

Pour moi c'est sans espoir... et extractions 42/41 et 33

Jud24ht82tzi5y7rp7mzaepngzsz - Eugenol

Gbfo08o2ecy6sxsnqko0n3imhewv - Eugenol
Palpatine

08/06/2023 à 11h20

Toujours interessant eugenol, je venais pour savoir comment presenter les extractions des dents "saines" et certains pensent conserver ce que j'ai condamné.


Avatar transparent iqadnc - Eugenol
adhoc

08/06/2023 à 11h28

>Patiente venant pour son bridge 44-(43)-42-41 mobile avec abces.<
Vous lui proposeriez quoi? et comment lui présenteriez vous les choses?

Elle n'a absolument pas conscience de son probleme sur 33

Je pensais lui poser 3 implants en 43-41-33 et tout extraire le bloc incisivo canin mandibulaire...avec des extractions stratégiques de 31 et 32. (en plus du traitement parodontal pour la poche en distal de 35)<
<
En quoi dans ta phrase tu as exclu l'endo? "Je pensais.... "Ce n'est pas du definitif a la lecture, palpatine. Il fallait ecrire" j'ai exclu l'endo et cherche la meilleure voie opératoire en vue implantaire, comment faire admettre cela à une patiente non consciente de ses problemes , en particulier 33?"".


Jf35

08/06/2023 à 12h21

En fait c’est le même problème qui se répète d’abord la 43 et ensuite la 33.


Gbfo08o2ecy6sxsnqko0n3imhewv - Eugenol
Palpatine

08/06/2023 à 13h00

"Toujours interessant eugenol, je venais pour savoir comment presenter les extractions des dents "saines" et certains pensent conserver ce que j'ai condamné."

C'est du 1er degré, c'est vraiment intéressant.


Gbfo08o2ecy6sxsnqko0n3imhewv - Eugenol
Palpatine

08/06/2023 à 13h01

"En quoi dans ta phrase tu as exclu l'endo?"
Je parle d'extractions et d'implants.


Avatar transparent iqadnc - Eugenol
adhoc

08/06/2023 à 13h27

ok, ok ....


Gabzou

08/06/2023 à 15h53

Palpatine écrivait:
---------
> Toujours interessant eugenol, je venais pour savoir comment presenter les
> extractions des dents "saines" et certains pensent conserver ce que j'ai
> condamné.

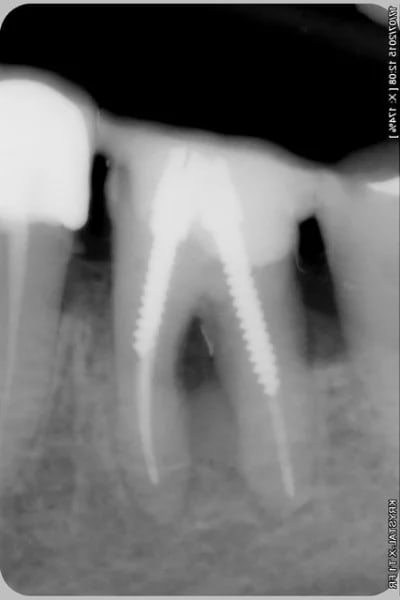
J'ai vraiment un doute pour la 33 que je tenterais car il n'y a jamais rien eu de fait, il y aurait un traitement endodontique j'aurais dit avulsion; 41 et 42 si c'est très mobile c'est vrai que ça sent mauvais.

Si vraiment c'est foutu pour toi (dans ce cas là ton plan de traitement est évidemment cohérent), tu lui montres les radios, le niveau osseux, la taille de la lésion. Ca devrait suffire pour qu'elle comprenne les extractions 41, 42, 33.
Pour 31 et 32 tu lui dit simplement que vu le niveau osseux elles seront perdues dans quelques années et que tu auras un résultat plus prévisible, plus esthétique, plus économique et plus durable si on choisit l'avulsion maintenant pour un bridge implanto-porté.
Alors que si on attends, cela veut dire à la perte de 31-32 poser de nouveaux implants, ou exploiter des implants qui n'auront pas été posés de manière optimale en refaisant un bridge: nouveaux travaux, coût plus important, période d'édentement ou d'amovible.


S2y2o1v7q53ws4r5wy6ou8czrpom - Eugenol
pxav

09/06/2023 à 14h57

Palpatine écrivait:
---------
> Patiente venant pour son bridge 44-(43)-42-41 mobile avec abces.
> Vous lui proposeriez quoi? et comment lui présenteriez vous les choses?
>
> Elle n'a absolument pas conscience de son problème sur 33
>
> Je pensais lui poser 3 implants en 43-41-33 et tout extraire le bloc incisivo
> canin mandibulaire...avec des extractions stratégiques de 31 et 32. (en plus du
> traitement parodontal pour la poche en distal de 35)
>

Visiblement, sans agressivité aucune je crois qu'il n'y a pas que la patiente qui n'a pas conscience de son problème sur 33....

étonnant d'ailleurs, que notre pro de l'occlusion, n'ai pas mis un grain de sel dans la discussion...
Dans un cas comme celui-ci, considérer que les problèmes s’arrêtent à 44-(43)-42-41 et à la poche en distal de 35 me semble particulièrement simpliste.
bien sûr elle n'a aucun problème de santé, non fumeuse, hygiène parfaite.... donc, recherche des facteurs qui ont conduit à cet état, traiter les causes, contention endo, paro , donc traitement global pour assainir, équilibrer tout ça, et si besoin d'avulser il sera toujours temps...

exemple d'un cas de 2015
https://forum.eugenol.com/sujets/410728-conduite-a-tenir?page=1&amp;items=25

--
xbk
La connaissance s'acquiert par l'expérience, tout le reste n'est que de l'information." ALBERT EINSTEIN

Fs6yodcblcedfcw404s0lsyfhoic - Eugenol
Sr1zv7dzgm4qxa7of9q8q6ics7d1 - Eugenol
Tuznmmdu2imqcs95zi6xu5a83tpw - Eugenol
7kde2aoasl3tgrhy2ta0s46o5r9b - Eugenol