Cookie Consent byPrivacyPolicies.comNos perles quotidiennes - Eugenol

Nos perles quotidiennes

Rape p0as4f - Eugenol
rapelapente

15/06/2023 à 12h39

Un fil pour poster les merveilles sur lesquelles on peut tomber.
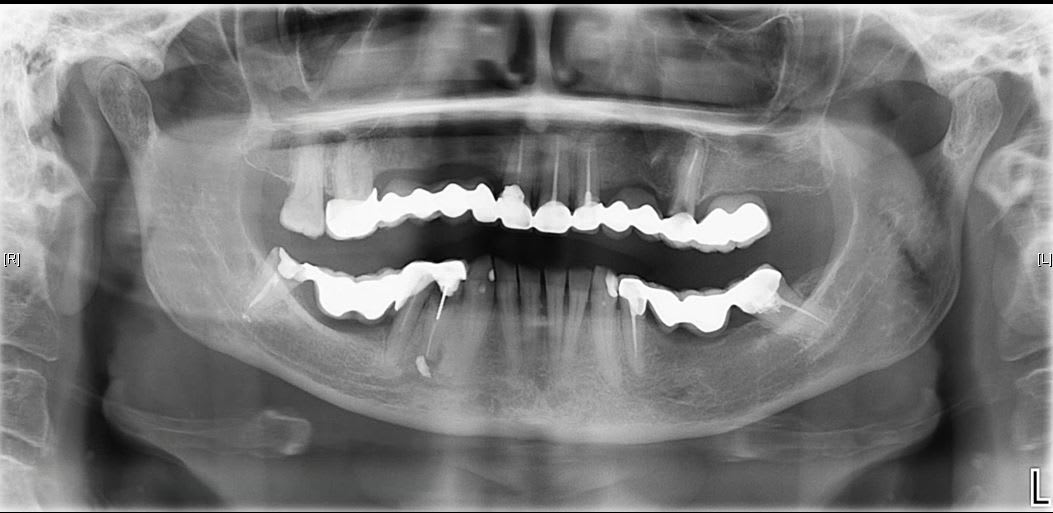
Ici une 37, complètement asymptomatique après un "soin" remontant à 5 ans...
Image extraite d'une pano.


--
Schooner For Ever

0ksbn8nf5qppk615ubtggq7nvpci - Eugenol

Leodagan

15/06/2023 à 14h58

Quand tu reprends la patientèle d'un expert dans le domaine c'est quasi hebdomadaire ! Et le pire c'est que la plupart du temps tout va bien...

Q7hlnhbxtlw6nuotao2bos27qial - Eugenol

Gabzou

15/06/2023 à 15h16

Houla, j'en ai une sacré collection si vous voulez du fun. Au moins on rigolera et ça nous changera des posts covid, je vous poste des cas au compte goutte.
Qui est un pro du all on four ici?
Et ne laissez pas ça vous détourner du "6 on 2" au maxillaire, je vous laisse imaginer le porte à faux...

Ugi9k2dltd0o0ckcy8fjjcb2xj6a - Eugenol

Fear and loathing in las vegas toax7t - Eugenol
Donchico

15/06/2023 à 15h30

Des composites pour boucher des triangles noirs et des classes 2 à l'amalgame

1y4p2dqdon4aui7fph4x5ssb134d - Eugenol
5s1i1xt9d21p4c99af7s69t2sygw - Eugenol

croc1765

15/06/2023 à 15h36

Gabzou écrivait:
------
> Houla, j'en ai une sacré collection si vous voulez du fun. Au moins on rigolera
> et ça nous changera des posts covid, je vous poste des cas au compte goutte.
> Qui est un pro du all on four ici?
> Et ne laissez pas ça vous détourner du "6 on 2" au maxillaire, je vous laisse
> imaginer le porte à faux...
gabzou tu mis la barre trop haute d'un coup
all on four 15 dents respect
pas compris pourquoi il n' y a pas d'extension en 38


Gabzou

15/06/2023 à 17h21

Donchico écrivait:
--------
> Des composites pour boucher des triangles noirs

Oh punaise ça me rappelle de mauvais souvenirs de mes débuts en cabinet ça, je m'étais engueulé avec une patiente "à mobilité augmentée" (vous savez, cette communauté de gens qui voyagent en groupes en caravane mais reviennent toujours à la même période de l'année au même endroit avec 12 caries de plus que l'année passée) qui voulait absolument que je lui bouche ses triangles noirs à coup de composite.
J'avais bien évidemment refusé pour éviter la fameuse gingivite que ta photo illustre très bien et les reprises carieuses.
20 minutes d'embrouille (Oui mais le Dr X me le fait chaque année, pourquoi vous ne voulez pas, c'est que 5 minutes, mais moi je veux, mais non ça pose pas de problème ça fait 10 ans que je le fais, ad nauseam.) avant que nous tombions d'accord sur le fait que j'étais malheureusement très jeune et très incompétent et que seul le Dr X pourrait bien lui faire son travail, qu'il valait mieux voir avec, et en tout cas surtout pas avec moi.
C'est vraiment la meilleure défense ça: "Je sais pas faire, je suis trop nul".


Vw campersurfvan bmnk1q - Eugenol
enlaye

15/06/2023 à 20h39

-" un ami m'a posé des implants , il est à la retraite maintenant ."
-"" Z' etes sur ? ""
- "de quoi ? que c est des implants ? "
- "" non , que ç était votre ami :-)) ? ""

P8vzcounvoovdoh3mdm9oipg7maq - Eugenol

Rape p0as4f - Eugenol
rapelapente

15/06/2023 à 21h21

Je suis démasqué !
Ah! non c'est pas des Ankylos ...


--
Schooner For Ever


bouboule

15/06/2023 à 22h00

Moi jai déjà démonté des prothèses qui rouillaient…


Vw campersurfvan bmnk1q - Eugenol
enlaye

15/06/2023 à 22h34

J ai vu 36 et 46 avec une énorme extension vestibulaire .
" Tiens , c'est rigolo vos tringles à rideau qui partent dans la joue , c est sexuel ? "
"" Non , c est pour me remplir les joues , c est une idée à moi , vous n'en avez jamais vu des couronnes comme ça , avouez !! ""
" Bravo "


Pubg2 rjl8jc - Eugenol
lemondestvaste

16/06/2023 à 16h00

J ai pas de photo, c est moins drôle. Réparation faite au cabinet par un confrère "avec une sorte de pistolet" dixit mon patient. 80 euros en liquide sans feuille de soin ni facture 🤣. Conseil du collègue : ca restera fragile mangez du mouliné ...


Rape p0as4f - Eugenol
rapelapente

17/06/2023 à 12h26

Osons ! Osons !
En place depuis 10 ans. Aucune mobilité.


--
Schooner For Ever

Tcdlpase7tglm5wagcs6g6qbsdra - Eugenol

Gabzou

17/06/2023 à 14h08

7 inters d'un coup! Bordel, j'ai pas autant, à part celui que j'ai déjà posté le plus joli c'est celui là.
Je vous laisse admirer les belles courbes occlusales.

9k3sny6nylm8k666mqriz8yyu2j9 - Eugenol

king_zoulou

19/06/2023 à 09h46

“Je pourrais manger dès ce soir docteur ?
-oui mais que de la soupe. Et ah oui, si vous pouviez ne manger que de la soupe dorénavant, ça serait top”


Jf35

19/06/2023 à 10h29

vous connaissez la CIV ( vestibulaire) eh bien j'ai déjà vu une CIL ( linguale) sur une 37 ...

et la meilleure pour PP , une patiente vient et me dit " vous pouvez meuler là ( une molaire) car on m'a dit que ca blessait quand je ... enfin bon vous avez compris"


Gabzou

19/06/2023 à 16h27

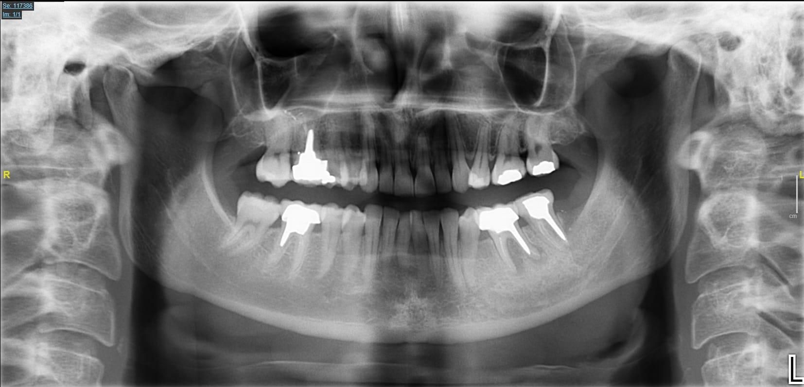
Je ne vais pas participer au concours "tenon de travers", j'en ai de jolis mais leodagan a mis la barre assez haute. Je vous propose plutôt le choix du format du tenon à la place. C'est qui qui a la plus grosse?

47mhz5w3di4h630vq2tz0xfkr5dc - Eugenol

Rape p0as4f - Eugenol
rapelapente

19/06/2023 à 16h52

Belle volonté de bien faire !


--
Schooner For Ever


Photo thumb 45 lnhuvp - Eugenol
wakrap

19/06/2023 à 18h31

Gabzou écrivait:
------
> Je ne vais pas participer au concours "tenon de travers", j'en ai de jolis mais
> leodagan a mis la barre assez haute. Je vous propose plutôt le choix du format
> du tenon à la place. C'est qui qui a la plus grosse?

Ce qui compte, c'est la largeur ou la longueur ?


Gabzou

20/06/2023 à 15h01

Si j'en crois le praticien qui a posé, les deux mon général!


Capture d  cran 2015 03 12 12.28 - Eugenol
chicot29

20/06/2023 à 22h42

Admirez la courbe de spée .


--
Dentiste qui en a plein le cul.

Vitdidr0fszqaah87u7q96qatdl8 - Eugenol
Donrioucdj6xbgnntgkl3svfxahd - Eugenol

Vw campersurfvan bmnk1q - Eugenol
enlaye

20/06/2023 à 22h56

Le crochet sur 33 est une merveille :-)


Gabzou

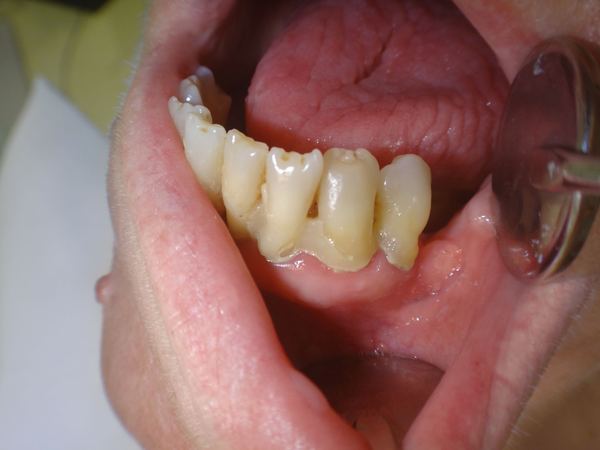
24/06/2023 à 01h39

Si jamais vous vous demandiez ce que ça finit par donner ces bridges de si grande étendue qu'on vous a montré dans les précédents posts.
"Ca bouge docteur"
"Je confirme, pour bouger, ça bouge!"

PS: J'hésitais à faire une blague sur la courbe de Spee moi aussi.

C47okhxk8at9f2phzw5889mjatfl - Eugenol

Bracket ezlegq - Eugenol
Dr. Greenthumb

24/06/2023 à 09h05

Erreur


Et7jtaj0pdi18gzjlxjiamlx15gs - Eugenol
Prunelles

08/09/2023 à 08h57

Heureusement qu'il ne connaissait pas l'existence du MV2 !

Hje6xqf8l7wuqc1lk0uy999dadqk - Eugenol

Capture d  cran 2015 03 12 12.28 - Eugenol
chicot29

08/09/2023 à 11h13

Gabzou écrivait:
------
> Je ne vais pas participer au concours "tenon de travers", j'en ai de jolis mais
> leodagan a mis la barre assez haute. Je vous propose plutôt le choix du format
> du tenon à la place. C'est qui qui a la plus grosse?

C'est moi. Comme d'hab.

--
Dentiste qui en a plein le cul.

658eoyitnxcvu3i39potombxvgkq - Eugenol

12