Cookie Consent byPrivacyPolicies.comCBCT et fêlure longitudinale de PM2 - Eugenol

CBCT et fêlure longitudinale de PM2

sosdébouche

15/06/2023 à 14h25

Bonjour à tous,
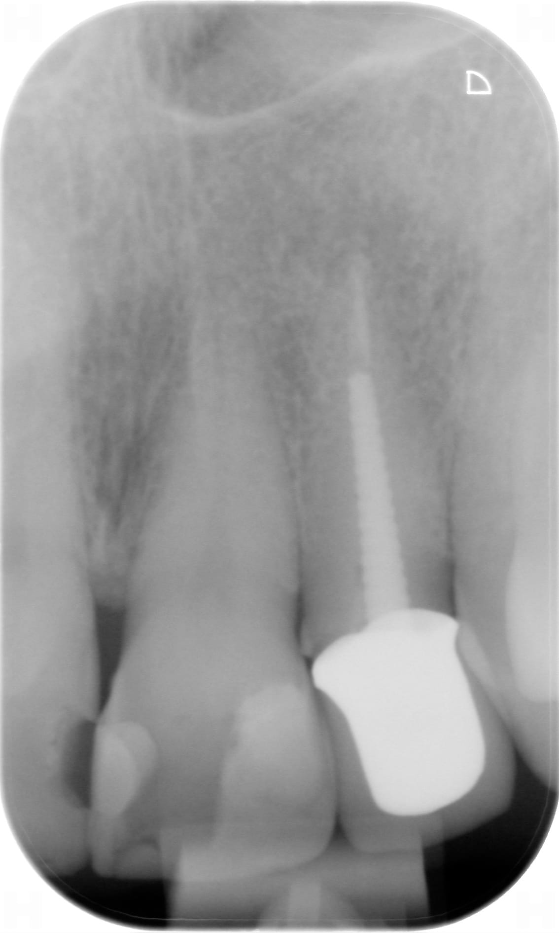
Je viens de déposer un compo sur une PM2 avec traitement endo depuis 10 ans.
Il me semble apercevoir une fissure en M .
Peut -on à coup sûr "voir" s'il y a ou non fissure en prescrivant un CBCT.
R: il y a une fistule qui aboutit ,en mettant un cone de gutta + RX ,en M de la racine (et pas du tout à l'apex)
Bref , quelle est votre prescription pour que le radiologue cible vraiment la recherche de cette éventuelle fissure et pas autre chose.
D'avance merci


Avatar transparent iqadnc - Eugenol
adhoc

15/06/2023 à 14h39

Suspicion de felure/fracture sur 15 a objectiver.


sosdébouche

15/06/2023 à 14h47

Et est-ce vraiment inratable? Aura-t-on vraiment la certitude de l'existence ou non de la fêlure?
A noter qu'il n'y a pas de tenon ou autre IC donc pas d'interférence métallique pour le CBCT


Gabzou

15/06/2023 à 15h19

Inratable, non.
Si tu as du bol, il y a un vrai déplacement des fragments avec un espace et là tu le verras alors qu'en 2D si le déplacement est léger que tu n'as pas la chance d'être pile dans le bon axe, tu peux passer à coté.
S'il y a fêlure sans déplacement, ça dépends des fois mais en général on ne voit rien.
Par contre tu peux éventuellement objectiver une perte osseuse en regard d'une racine qui n'aurait pas été visible sur une radio 2D.


Dentarue

15/06/2023 à 18h14

Tout à fait, tu vois les conséquences osseuses d’une fêlure verticale. Perte d’os tout le long du trait de fêlure, si ça ne date pas d’hier bien sûr…
Cette image radioclaire le long d’une racine peut également être la conséquence d’un canal latéral contaminé…
S’il y a une image radioclaire tout le long jusqu’à l’apex, ça peut être un trajet de fistule d’une lésion apicale, un canal latéral, une fracture verticale.
On observe souvent la même image des deux côtés, en mésial et distal.
S’il y a fracture verticale complète on observe une image « en doigt de gant » caractéristique.
Si tout est déposé le plus simple et fiable reste quand même de regarder avec le grossissement adéquat.


Lebarbu24

15/06/2023 à 21h17

Une fêlure tu la verras pas au cbct, le.nombre de cbct fait pour fêlure, tu vois que dalle, hormis la perte osseuse
Bon tu fais un diag sur un faisceau de présomption (perte osseuse, fistule, ancrage, doigt de gant etc)


Dentarue

16/06/2023 à 08h10

Je dirais même plus, une fêlure tu la verras pas au cbct, le.nombre de cbct fait pour fêlure, tu vois que dalle, hormis la perte osseuse
Bon tu fais un diag sur un faisceau de présomption (perte osseuse, fistule, ancrage, doigt de gant etc)


Gabzou

16/06/2023 à 09h18

J'ai ri.


Olieve

16/06/2023 à 10h48

Marrant parce que cette fêlure sur 22, on ne la voit pas du tout sur la rétro, mais très bien sur la reconstruction 3D du CBCT

Jwjbelah9gpo9q1h8cqdm9j3kbi5 - Eugenol
Pevaeb5p7eph9oqexipq9lo1cuwa - Eugenol

Dentarue

16/06/2023 à 10h58

Tu ne peux absolument pas conclure que ce qu’on voit ici est une fêlure. C’est plus vraisemblablement un artefact du au matériau canalaire.


Gabzou

16/06/2023 à 11h03

Gabzou écrivait:

> Si tu as du bol, il y a un vrai déplacement des fragments avec un espace et là
> tu le verras alors qu'en 2D si le déplacement est léger que tu n'as pas la
> chance d'être pile dans le bon axe, tu peux passer à coté.

Indépendamment de la remarque de dentarue (les reconstitutions 3D c'est dégueulasse et c'est compliqué de conclure quelque chose dessus. Seules les coupes sont fiables), c'est exactement ce que je disais: dans ton cas ta 2D ne montrait rien à cause du tenon. Mais si on en croit ton interprétation de la 3D, il y a déplacement des fragments et un espace visible en 3D, c'est plus une fracture qu'une fêlure à mon sens. Il faudrait peut être définir ces termes, quelqu'un sait s'il existe une vraie définition scientifique?
Moi je dis fracture quand il y a déplacement des fragments et donc apparition d'un espace visible et fêlure quand l'espace est virtuel ou qu'on sent uniquement une légère accroche à la sonde, mais on pourrait aussi dire que la fracture c'est la désolidarisation complète des 2 fragments et que tout le reste c'est de la fêlure.


Olieve

16/06/2023 à 11h23

Il n'y a qu'en modifiant les niveaux sur la recoonstruction 3D qu'on la met en évidence.
J'appelerais cela une fracture bien contenue..

5ff2w2nwnimf68wydp5d6qtlkgwo - Eugenol

Gabzou

16/06/2023 à 11h49

Mouais, ou un artefact comme dit par dentarue. La reconstitution 3D n'est à ma connaissance prévue que pour une visualisation d'ensemble, pas un diagnostic précis sur une zone limitée. La reconstruction extrapole des trucs entre les plans de coupe et n'est absolument pas fiable. Il n'y a qu'à voir tous les espèces de grumeaux qu'on voit systématiquement partout sur les images.

Une image comme ça moi je n'en conclus rien, je me fie aux symptômes (il semble quand même y avoir une perte osseuse vestibulaire bien plus marquée que sur les voisines qui pourrait signer la fracture) et je dépose pour contrôler visuellement avant de décider d'avulser.

Le terme de fracture contenue est pas mal.


Dentarue

16/06/2023 à 17h54

La 3d apporte beaucoup plus de renseignements dans le mouvement, comme une échographie, ça permet de se représenter un volume en 3d.
Si on se contente de regarder des coupes on est en 2d.


Ylfwcw979cz1jnx9gfqeaxndiuzk - Eugenol
Algi

18/06/2023 à 00h03

Extraction propre... tu regardes ta racine. Elle est OK tu reimplantes et sinon poubelle.

Moi depuis les conseils d'un ami varois je fais comme ça.


--

On a toujours le choix mais entre quoi et quoi?
Vas-y boulégue et l'avenir te le dira!


Vw campersurfvan bmnk1q - Eugenol
enlaye

18/06/2023 à 07h02

:-) eh oui simple et efficace.