Cookie Consent byPrivacyPolicies.comIdentification implant - Eugenol

Identification implant

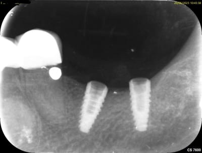
Anto2b

21/06/2023 à 15h40

Bonjour implants posés il y a une quinzaine d années.
Si quelqu’un a une idée de la marque merci

Dus959vs0mbxto0petju3e1js0jg - Eugenol
1axv3o5ohiucs7hm7jf039y3qe1w - Eugenol
Ixots70e7pmaz8y3raja9q0y1cfa - Eugenol
Spowdvypckk48da0tg7spfxd58jk - Eugenol

Photo pluton1b h9n4ea - Eugenol
pluton

21/06/2023 à 18h06

sweden martina
https://www.sweden-martina.com/fr_fr/product/implantologie_et_la_chirurgie_-17305/implants_dentaires-17317/premium_one-23219.html


Anto2b

21/06/2023 à 22h02

Merci


Hieroglyphes keith haring exposition petits g l 8ffrh5 gslhhb - Eugenol
Toine

01/08/2023 à 10h09

Bonjour,

J'ai un implant mystère, posé il y a une quinzaine d'année à Djibouti, le praticien est décédé... Une idée?
Sa couronne scellée remue...
Merci

3562vvhllgahhr10hegvgzb15zi9 - Eugenol

Hieroglyphes keith haring exposition petits g l 8ffrh5 gslhhb - Eugenol
Toine

01/08/2023 à 13h02

Un train peut en cacher un autre, au sein de la même matinée, posé il y a 15 ans, Serf ou Zimmer selon le patient...
Merci.

4gi487rflyk3g5xey6nkt2eoc7hn - Eugenol

Photo pluton1b h9n4ea - Eugenol
pluton

02/08/2023 à 16h19

Le premier SERF EVLN
le second TSV Zimmer


Hieroglyphes keith haring exposition petits g l 8ffrh5 gslhhb - Eugenol
Toine

03/08/2023 à 15h05

Super merci beaucoup!