Cookie Consent byPrivacyPolicies.comDépassement sur composite - Eugenol

Dépassement sur composite

moritooth

09/07/2023 à 18h50

enlaye écrivait:
------
> Ce qu il a voulu te dire , c est que pour les soins opposables ( cad aussi la
> prothèse ) , l excellence est inversement proportionnelle au revenu .
> Que si tu prétends a l excellence pour en avoir des retours financiers , tu
> deviens forcément border line en aménageant la convention à ta guise ,( pcq tu
> le vaux bien ), et que tu t exposes un jour ou l autre à en rendre des comptes .

Très bon résumé de la situation.


Et7jtaj0pdi18gzjlxjiamlx15gs - Eugenol
Prunelles

09/07/2023 à 21h15

enlaye écrivait:
------
> l excellence est inversement proportionnelle au revenu .

C’est pour cela qu’il faut uniquement viser le bon ou le très bon.
Et avec de l’organisation, on peut très bien gagner sa vie.
D’ailleurs je suis persuadé qu’en visant le moyen ou le mauvais, on perd tellement de temps à faire du SAV qu’on est perdant.


moritooth

09/07/2023 à 22h00

Prunelles écrivait:
---------
> D’ailleurs je suis persuadé qu’en visant le moyen ou le mauvais, on perd
> tellement de temps à faire du SAV qu’on est perdant.

Sauf si justement tu ne fais pas le SAV...


Vw campersurfvan bmnk1q - Eugenol
enlaye

09/07/2023 à 22h48

Et puis si pour le sav d un truc gratuit , tu fais un autre truc gratuit , c est le mouvement perpétuel .


8tercecn7hisbbqbde2nil4nyxrw - Eugenol
Tournsol

10/07/2023 à 08h31

moritooth écrivait:
---------
> Prunelles écrivait:
> ---------
> > D’ailleurs je suis persuadé qu’en visant le moyen ou le mauvais, on perd
> > tellement de temps à faire du SAV qu’on est perdant.
>
> Sauf si justement tu ne fais pas le SAV...

effectivement il ne font pas le SAV ou alors le SAV consiste a passer a l'étape suivante
Un compo degueu qui foirent = endo + couronne degueu pour ensuite faire implant


Capture d  cran 2015 03 12 12.28 - Eugenol
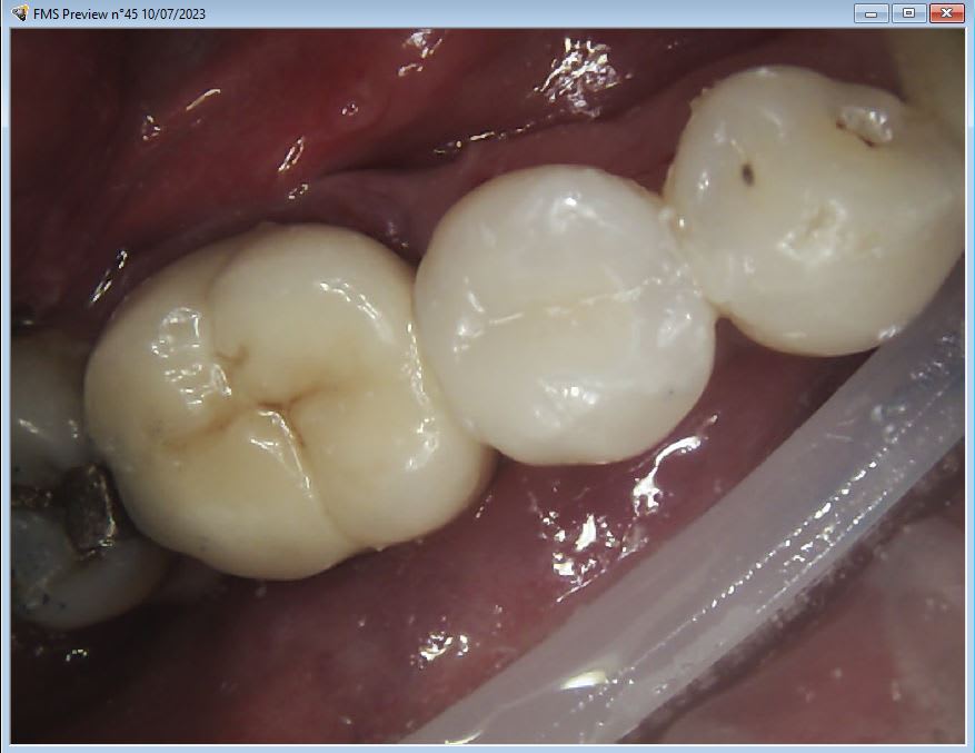
chicot29

10/07/2023 à 18h55

il est ou le compo là ?


--
Dentiste qui en a plein le cul.

Fespevr85r2jssyv7rrxapgzxxkg - Eugenol

Bebe 038 nf8eum - Eugenol
danteyeah

12/07/2023 à 09h34

chicot29 écrivait:
--------
> il est ou le compo là ?
>
>
> --Au dessus de la parodontite non ? :-))) Sinon un petit en distal de la 4 et éventuellement la totalité de la 5.....mais faut vraiment avoir que ça à foutre ici !
> Dentiste qui en a plein le cul.


1...56