Cookie Consent byPrivacyPolicies.comtoc toc badaboum le kyste - Eugenol

toc toc badaboum le kyste

Avatar transparent iqadnc - Eugenol
adhoc

28/07/2023 à 11h52

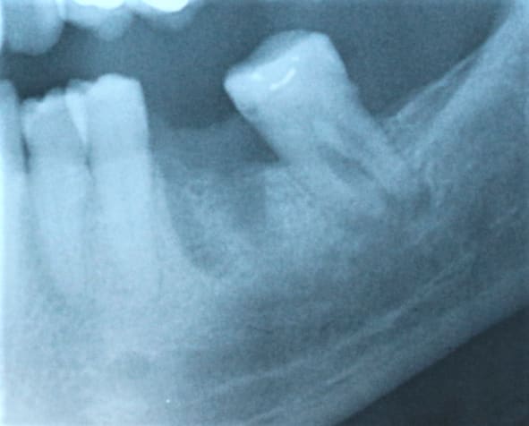
On voit quand meme assez bien sur la radio une lésion inter-radiculaire. Je ne vois pas trop l'interet de ce cas, enlaye, qui finit de toute facon un jour ou l'autre au davier :-)))

Replacée!!!! Felicitations. Et tu n'as pas vu une lesion qualque part au niveau du plancher?


Jack 2 wm3tqs - Eugenol
Treponem

28/07/2023 à 12h17

Tout finit à plus ou moins long terme en extraction (au mieux post mortem ^^). On ne fait que du palliatif, s'imaginer réaliser une endo sur un môme de 18 ans et penser que ça restera toute une vie sur l'arcade me parait un brin optimiste.
A priori déjà 6 ans de gagné non ?


Vw campersurfvan bmnk1q - Eugenol
enlaye

28/07/2023 à 12h43

adhoc écrivait:

" Et tu n'as pas vu une lesion qualque part au niveau du plancher? "

eh si bien sur et dès le 1 er jour .
il y avait du jus qui sortait de la furcation qui sentait les pieds .
tu vois l odeur d entre le petit doigt et l autre d a coté ? que ça sent le mort .
on voit le pb sur la pano du 1er rdv .

pour ça que j étais parti sur une extraction réimplantation , pour nettoyer tout ça et bien re- esquicher la furcation dans l os , en coupant les racines .
.

Sycuy78d5k4ikgidqq1b8q158ve1 - Eugenol