Cookie Consent byPrivacyPolicies.comIdentification implant - Eugenol

Identification implant

HDent

02/08/2023 à 20h29

Bonjour

Je souhaite avec votre aide distinguer ces implants pour ces deux patients :

Patient 1 :

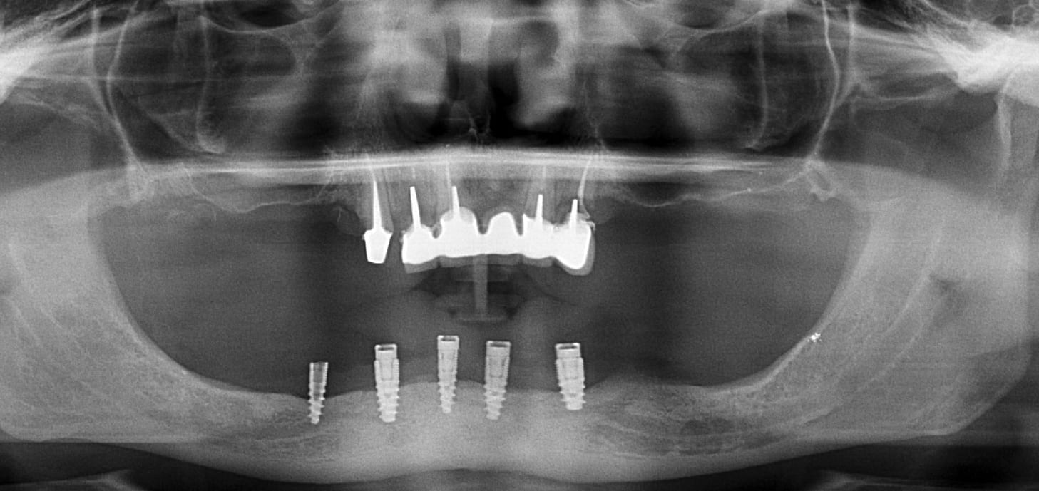
Mandibule prothèse sur amovible fixé sur locator (dentiste décédé qui a eu à poser des icx en fin de carriere)

Patient 2 :

2 implants isolés de chez le même dentiste (Liban :-), décédé hélas également. )

Merci pour votre Aide surtout à Pluton qui devrait avoir des médailles

Xonfgvfagfjy8g5snm4poixmacno - Eugenol
Ae5nfbj6q1kgsn80aqp3hfe0bx97 - Eugenol
P3rnfi0fe8fj5gdee0osyu1d4kaj - Eugenol

HDent

25/10/2023 à 05h37

hello :-)


Photo pluton1b h9n4ea - Eugenol
pluton

25/10/2023 à 15h46

Radio 1, tout au bassinet
Radio 2, rien d’identifiable sérieusement avec une pano
Radio 3, tu parles plus haut d’ICX….ça en a la gueule….


HDent

26/10/2023 à 06h03

Bonjour je te remercie pluton, je vais essayer une rétro-alvéolaire pour le deuxième patient. Lors de son prochain rendez-vous