Cookie Consent byPrivacyPolicies.comCAT resorption canalaire 8 ans - Eugenol

CAT resorption canalaire 8 ans

burnax

28/08/2023 à 10h53

Bonjour,
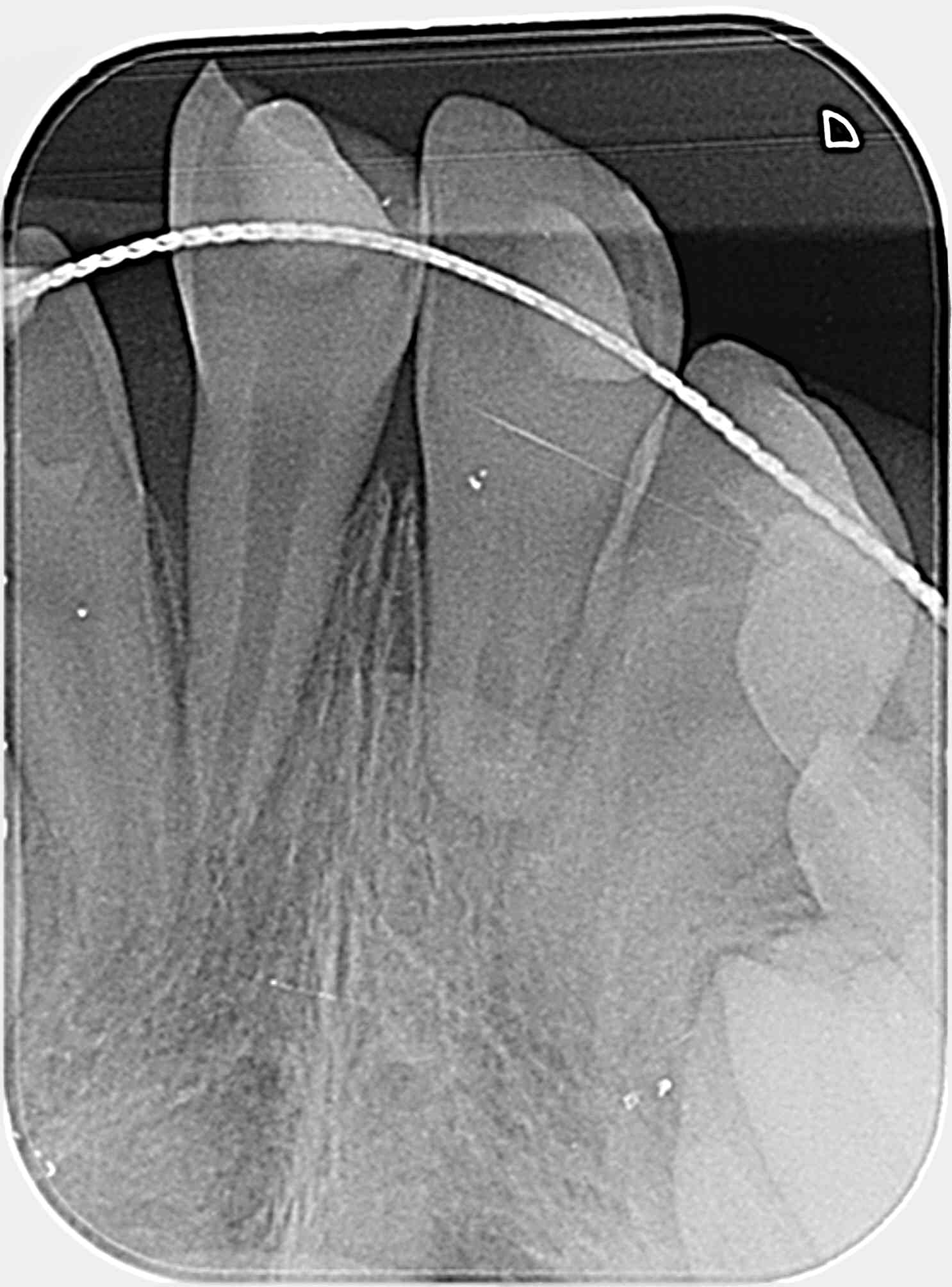
suite à l'expulsion totale et la mise en place tardive de 11.21 en urgence , la radio de contrôle 3 mois après, montre des signes de résorption avec un pronostic sombre , dans le cadre d'une cl 2.1.
Que feriez-vous ?
merci

3t6dntwwi9lfzt4nt1iol331cnbr - Eugenol
9qcyhbwgucglnmtbunjmfhblfs54 - Eugenol

Jf35

28/08/2023 à 11h39

La 11 est courte ? Et apexifiée déjà ?
Il est déjà tombé dessus ?
La 21 est en résorption rapide.
Contrôle vitalité 11 et maintient contention 21.Au pire extraction de la racine seulement 21.
Croiser les doigts pour la 11, qui rebougera avec odf.

Avis odf ++ pour l’adolescence.

Puis bridge collé en eMax pour bien coller en attendant implant à 18 20 ans.
Et j’espère que certificat d’accident est bien rempli.


Gabzou

28/08/2023 à 11h40

Traitement endodontique, possible accès chirurgical et curetage de la résorption en plus.
Pronostic réservé.


Et7jtaj0pdi18gzjlxjiamlx15gs - Eugenol
Prunelles

28/08/2023 à 12h31

Je tournerais pas autour du pot pour 21.
Elle est foutue. Davier. Poubelle.

Y’a un risque pas possible de créer une ankylose si on touche ça. Dans un contexte de classe II ça revient à creuser sa tombe.

Faire le maximum pour maintenir 11 sur l’arcade.
Surtout demander un avis ODF.
Possibilité de mettre une dent prothétique en 21, maintenue sur l’arc avec un bracket durant toute la durée du traitement ODF.
Puis comme Jf35. Éventuellement bridge collé, si traitement stabilisé, avant maturité osseuse pour implantation.