Cookie Consent byPrivacyPolicies.comIdentification implant - Eugenol

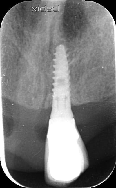
Identification implant

Casamozza

07/09/2023 à 17h10

Bonjour, pourriez-vous m'indiquer la marque et le modèle de cet implant ?
Posé en France.
Merci

Edjdr1e6kpisvg97o37i9dhn2oy4 - Eugenol

Casamozza

14/09/2023 à 13h48

Quelqu'un aurait une idée ? Pluton par exemple, au hasard :-)
Ou sinon quelle est la méthode pour pouvoir identifier un implant ?
Merci