Cookie Consent byPrivacyPolicies.comIdentification implant - Eugenol

Identification implant

WMX

06/11/2023 à 09h26

Bonjour, j'ai la couronne sur 46 à refaire. Je n'ai pas posé cet implant mais je pense que c'est un Friadent XiVE S Plus ?
En 5.5 de diametre ?
Merci pour votre aide.

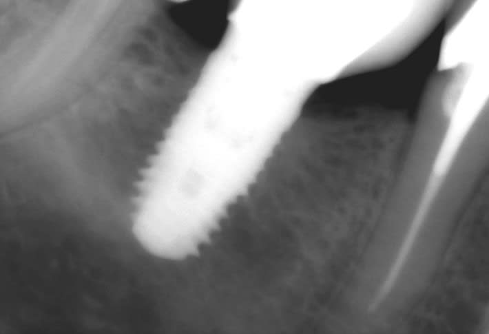
Sur8da2v8uktqf4h9wfff21h4cjq - Eugenol

WMX

06/11/2023 à 09h29

Pano

A4t4cix9e2ihw6kpvd3tdrawcnf2 - Eugenol

Implant wq5dd1 - Eugenol
sinuslift

06/11/2023 à 11h01

Bonjour,

Attention au nom sur la panoramique........


WMX

08/11/2023 à 18h24

J'ai viré le nom. Merci sinus. sinon qq'un pour m'aider ?
Merci.


Photo pluton1b h9n4ea - Eugenol
pluton

08/11/2023 à 18h28

avec une rétro pas floue çà aurait été parfait....
là j'ai une fiabilité à 70/80% pour un xive

https://www.spotimplant.com/fr/implants-dentaire/dentsply-implants/xive-s


WMX

08/11/2023 à 20h23

Merci pluton, je partais là dessus aussi et je pense que l’implanto posait ce système.
Merci.