Cookie Consent byPrivacyPolicies.comRadio-Opacité - Eugenol

Radio-Opacité

ZoroRoronoa

24/01/2024 à 18h17

Bonjour,

J’ai eu un patient en consultation, il se présente car l’ORL a vu un petit épaississement de la paroi sinusienne.

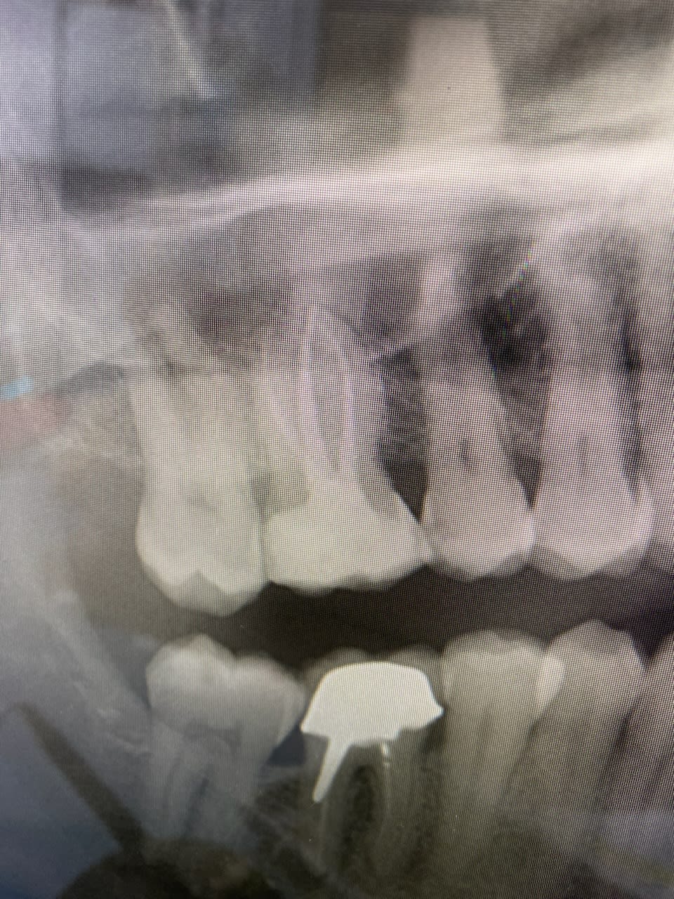
En lisant le scan et le compte rendu je vois que c’est au niveau de la 16 déjà dévitalisée le traitement a l’air bon.

À la radio il y a une masse radio-opaque. Aucun symptôme de la part du patient.

Quand j’en ai parlé à mon praticien (je suis en collaboration et sorti de fac récemment), il m’a dit de lui faire le RTE … Alors que moi je suis plutôt d’avis de surveiller ?

Qu’en pensez-vous ?

Bonne journée et merci

Dniygcj37hivnszvuqrrybx2p090 - Eugenol

Jf35

24/01/2024 à 19h31

J’en pense que je ferai une rétro.
Y a une image au dessus de l’apex.


Et7jtaj0pdi18gzjlxjiamlx15gs - Eugenol
Prunelles

24/01/2024 à 19h32

T’arrives à voir sur le scanner si le MV2 n’aurait pas été oublié ?


ZoroRoronoa

25/01/2024 à 00h22

Oui j’ai fait une retro que je n’ai pas prise en photo mais on voyait à peu près la même chose : une masse radio-opaque au niveau des apex.

Pour ce qui est du scan j’ai essayé de voir pour le MV2 mais je n’ai rien vu de particulier


Gabzou

25/01/2024 à 03h27

Pas de symptômes...