Cookie Consent byPrivacyPolicies.comEndo sur morphologie radiculaire atypique - Eugenol

Endo sur morphologie radiculaire atypique

Et7jtaj0pdi18gzjlxjiamlx15gs - Eugenol
Prunelles

25/01/2024 à 10h44

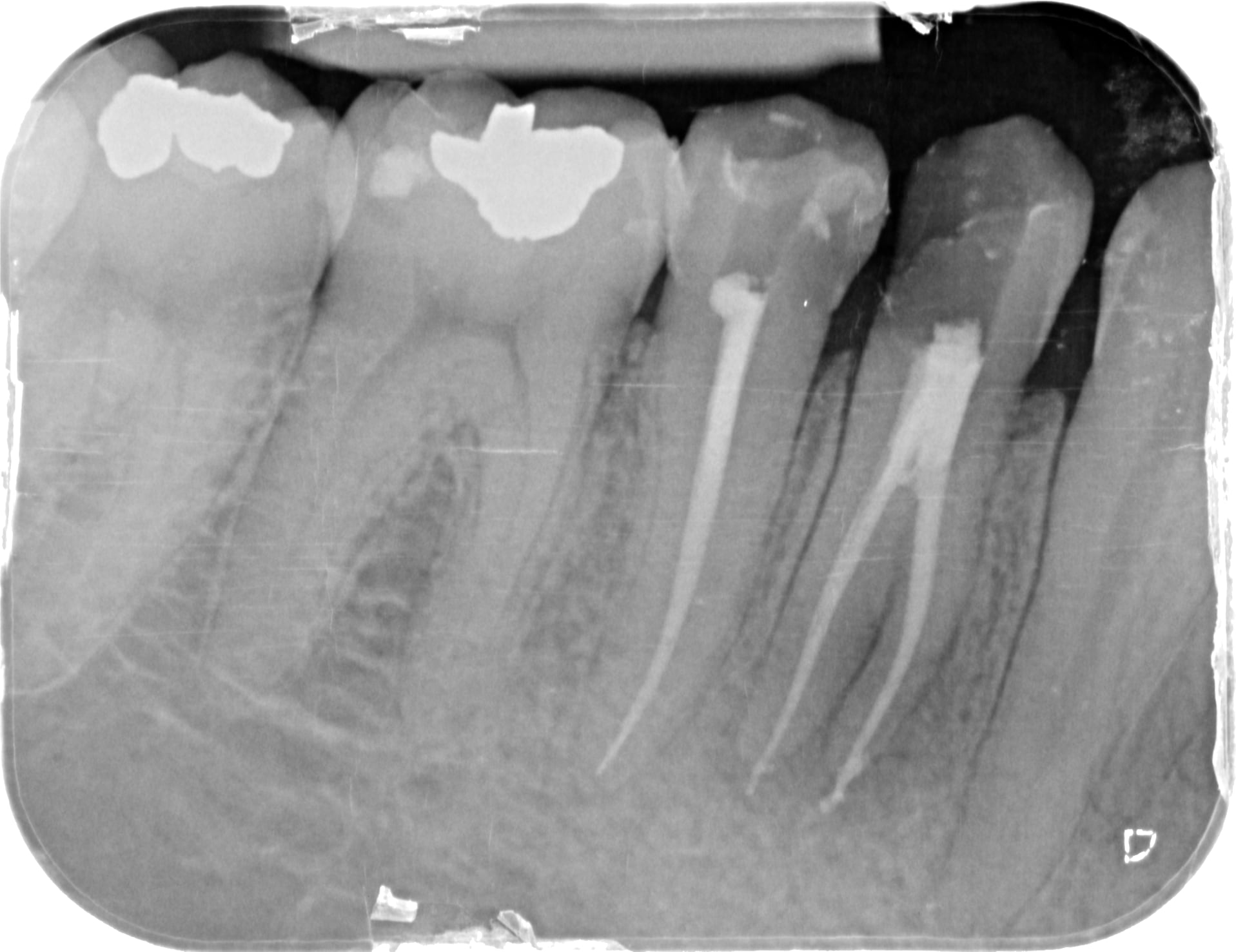
J'ai besoin de votre avis face à cette situation.
Je dénombre au moins 3 apex sur la rétro.
L'endo se tente ? Si oui comment ?

Jdh2clazpttxuwgdlhoj3itz7215 - Eugenol

carrototo

25/01/2024 à 10h52

Très atypique, en effet!!
Ca me parait ingérable, sauf à être très délabrant pour l'accès, et donc se retrouver avec une racine inexploitable!


Fluor123

25/01/2024 à 11h12

Oui, il suffit d'ouvrir Word, et d'adresser à l'endodontiste le plus proche.


Hok 1b hgd3rj - Eugenol
Hokusai

25/01/2024 à 11h38

avulsion puis implant... ca me parait objectivement le meilleur choix.
sauf contre indication d'implanto...


Ulysse90

25/01/2024 à 12h08

Endo exclusif ou implant .
Éducation thérapeutique payante pour ne pas fidéliser le patient.


Nouveau image bitmap fz77zh - Eugenol
Sethef

25/01/2024 à 12h23

Déjà fait une fois, il y a longtemps.
De mémoire, j'avais du négocier ça au protaper, en élargissant largement l'entrée commune, mais surtout sans descendre jusqu'à la pseudo furcation pour ne pas foirer les entrées.
L'obturation avait été compliquée, je pense que j'avais du mettre un cone en place, couper à la furcation, mettre le second en place, couper à nouveau, mettre le troisième, et mc spadden dans le bordel.

Si tu es certain de la vitalité canalaire (mais vu la radio ça m'étonnerait), un protocole type pulpo basse serait une bonne alternative.

(j'ai souvenir d'un second cas similaire, sur nécrose+cellulite, pour lequel je n'ai trouvé que le canal principal. J'avais obturé en forçant un peu sur le thermocompacteur, avec une disparition de l'image apicale, et pas de récidive. Jusqu'à quand...)


Dentarue

25/01/2024 à 15h16

Aucun souci pour traiter ces vraissemblablement 3 canaux. C’est un métier !))


Et7jtaj0pdi18gzjlxjiamlx15gs - Eugenol
Prunelles

25/01/2024 à 16h56

Merci pour vos réponses.
Par le passé j'ai déja traité avec succès des canines biradiculées. Avec une furcation plus haute et moins abrupte.
Mais là ca dépasse mes compétences.
Et malheureusement, niveau financier, le patient n'ira jamais chez le spé endo du coin.
Je vais faire le mauvais élève, mais cette histoire se finira donc au davier.


Jack 2 wm3tqs - Eugenol
Treponem

25/01/2024 à 17h55

Dommage, ça se tente, en général un canal lingual qui descend tout seul, et deux vestibulaires un peu plus cotons à passer, mais là sur ta radio, ils sont bien visualisables, et l'angulation entrée canalaire/chambre n'est pas à 90°. Un beau challenge.


Dentarue

25/01/2024 à 18h16

Sans microscope c’est chronophage…


Jack 2 wm3tqs - Eugenol
Treponem

25/01/2024 à 18h36

Clairement.


Img 5097 lxchd7 - Eugenol
Queixal

25/01/2024 à 19h16

Il y aurait une épidémie ? J'ai eu la même cet après-midi.

Zyz3djm011to8hmuddi8u171u90l - Eugenol
1osff7kk16ybclkejie7yhaqia0r - Eugenol

Dentarue

26/01/2024 à 07h32

A peine terminé et déjà contaminé par la salive et son milliard de bactéries par mm3.


Capture d  cran 2015 03 12 12.28 - Eugenol
chicot29

26/01/2024 à 09h37

Prunelles écrivait:
---------
> Merci pour vos réponses.
> Par le passé j'ai déja traité avec succès des canines biradiculées. Avec une
> furcation plus haute et moins abrupte.
> Mais là ca dépasse mes compétences.
> Et malheureusement, niveau financier, le patient n'ira jamais chez le spé endo
> du coin.
> Je vais faire le mauvais élève, mais cette histoire se finira donc au davier.

Je serais toi je ne ferais rien du tout. A moins que tu veuilles lui offrir en plus de l'endo sécu un implant.

--
Dentiste qui en a plein le cul.

Wxmk0y8n6m62fpg00cp73ulvq0ej - Eugenol

Capture d  cran 2015 03 12 12.28 - Eugenol
chicot29

26/01/2024 à 09h40

Dentarue écrivait:
--------
> A peine terminé et déjà contaminé par la salive et son milliard de bactéries par
> mm3.

N'importe quoi.


--
Dentiste qui en a plein le cul.


Capture d  cran 2015 03 12 12.28 - Eugenol
chicot29

26/01/2024 à 09h42

Mmmm


--
Dentiste qui en a plein le cul.

Tyyh72nq8zxg8vkvtmicno17ligs - Eugenol

Dentarue

26/01/2024 à 10h38

Que de radios ! Tu devrais investir dans un localisateur d’apex ☝️


Dentarue

26/01/2024 à 10h40

chicot29 écrivait:
--------
> Dentarue écrivait:
> --------
> > A peine terminé et déjà contaminé par la salive et son milliard de bactéries
> par
> > mm3.
>
> N'importe quoi.
>
>
> --
> Dentiste qui en a plein le cul.
>

La plupart de ciments mettent plusieurs heures à faire leur prise.
Quand tu fais ta radio de contrôle t’as encore la digue, tu devrais l’enlever puisque je raconte n’importe quoi, tu pourrais prendre de meilleurs radios ☝️


Et7jtaj0pdi18gzjlxjiamlx15gs - Eugenol
Prunelles

26/01/2024 à 10h55

J'entends ton point de vue Chicot.
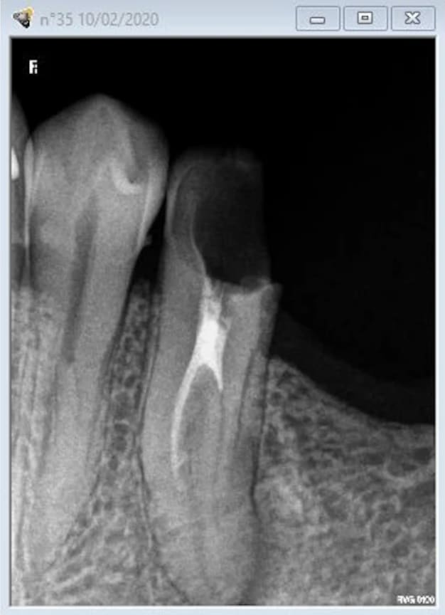
Mais pour vous donner une vision plus global du cas, le patient a, entre autre, le maxillaire à l'état de racine.
J'ai bien 7 couronnes et 2 chassis à réaliser avec une grosse réhausse de DV et tout ce qui précède pour que ca roule.
Il est au courant du soucis sur la 35 et déja ok pour l'extraction.
J'avais quelques remords sur ca et je voulais avoir votre avis sur le sujet.


Capture d  cran 2015 03 12 12.28 - Eugenol
chicot29

26/01/2024 à 11h26

Dentarue écrivait:
--------
> chicot29 écrivait:
> --------
> > Dentarue écrivait:
> > --------
> > > A peine terminé et déjà contaminé par la salive et son milliard de bactéries
> > par
> > > mm3.
> >
> > N'importe quoi.
> >
> >
> > --
> > Dentiste qui en a plein le cul.
> >
>
> La plupart de ciments mettent plusieurs heures à faire leur prise.
> Quand tu fais ta radio de contrôle t’as encore la digue, tu devrais l’enlever
> puisque je raconte n’importe quoi, tu pourrais prendre de meilleurs radios ☝️
>


--
Dentiste qui en a plein le cul.

Non ça marche très bien comme ça et le localisateur ne te dit pas dans quel canal tu es


Capture d  cran 2015 03 12 12.28 - Eugenol
chicot29

26/01/2024 à 11h27

Prunelles écrivait:
---------
> J'entends ton point de vue Chicot.
> Mais pour vous donner une vision plus global du cas, le patient a, entre autre,
> le maxillaire à l'état de racine.
> J'ai bien 7 couronnes et 2 chassis à réaliser avec une grosse réhausse de DV et
> tout ce qui précède pour que ca roule.
> Il est au courant du soucis sur la 35 et déja ok pour l'extraction.
> J'avais quelques remords sur ca et je voulais avoir votre avis sur le sujet.
C’est vrai que ça dépends du contexte. Te fais pas chier vires la

--
Dentiste qui en a plein le cul.


Dentarue

26/01/2024 à 12h02

Je disais ça pour t’aider à progresser. Maintenant si tu n’as pas d’aides visuelles, que tu n’as pas peur des RX et que tu as du temps à perdre, ne change rien.
Attention quand même à ne pas oublier le ciment !


Capture d  cran 2015 03 12 12.28 - Eugenol
chicot29

26/01/2024 à 12h06

Ce qui m'aiderait à gagner du temps c'est de m'en branler complètement comme celui qui a fait le traitement initial.


--
Dentiste qui en a plein le cul.

Zr32ja7r9f6viaiw533mfxiggkgb - Eugenol

Dentarue

26/01/2024 à 12h07

Tu m’as l’air bien soupe au lait aujourd’hui, je dois te laisser.


Capture d  cran 2015 03 12 12.28 - Eugenol
chicot29

26/01/2024 à 12h12

Une radio broche en place te donne une idée des courbures et de la distance à la quelle tu es de l'apex surtout dans les cas complexes. . Des infos que le localisateur ne te donne pas.


--
Dentiste qui en a plein le cul.


12