Cookie Consent byPrivacyPolicies.comAie Aie Aie - Eugenol
120 81 mdkvjo - Eugenol
Monaco

09/02/2024 à 14h43

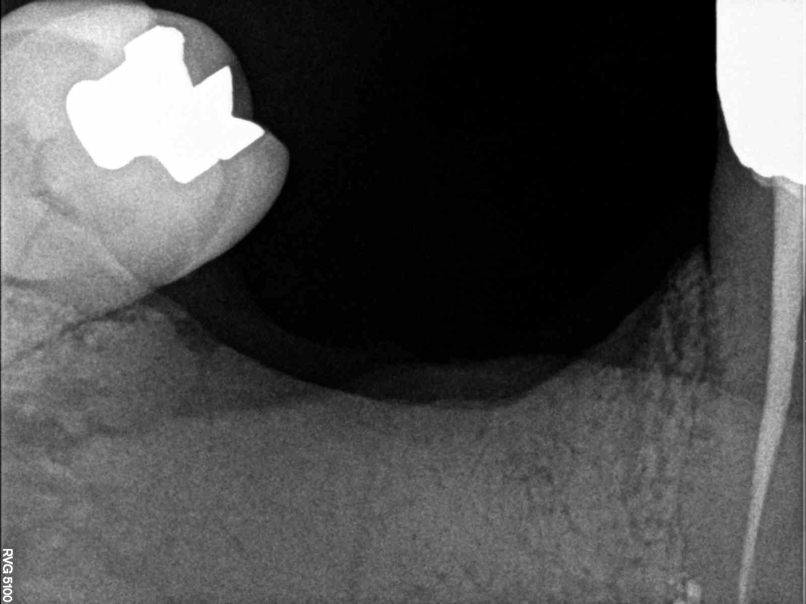
Découverte fortuite à la pano ... gamine de 17ans
Aucun signe clinique SAUF mobilité de 37 qui m'a inquiété .
Adressée en urgence au service maxillo du chu

2hfhuubzxp84stalqxelx1n6kdep - Eugenol

O1axgfa3wz9a4zf6qedj9s4gj223 - Eugenol
ELGY

09/02/2024 à 14h49

Salut,

Tu avais quoi sur la pano de début de traitement ? Et sur les panos de contrôle annuel ?


120 81 mdkvjo - Eugenol
Monaco

09/02/2024 à 14h51

Rien.
Cette pano datait de décembre.
La précédente date de novemnbre 2022 sans rien de spécial...


Rape p0as4f - Eugenol
rapelapente

09/02/2024 à 14h55

C'est moche quand même.
Si ils font une biopsie, tu nous diras ?


--
Schooner For Ever


O1axgfa3wz9a4zf6qedj9s4gj223 - Eugenol
ELGY

09/02/2024 à 14h59

En bouche il n'y a pas de voussure suspecte ?


Hok 1b hgd3rj - Eugenol
Hokusai

09/02/2024 à 15h00

c est l ameloblastome ???


120 81 mdkvjo - Eugenol
Monaco

09/02/2024 à 15h01

Biopsie prévue en effet.
La maxillo m'a fait un retour en précisant suspicion d'améloblastome.


120 81 mdkvjo - Eugenol
Monaco

12/03/2024 à 05h01

Update : C'est bien un améloblastome.
Mandibulectomie sectorielle prévue avec reconstitution fibulaire ..


P2eqdh3csim6s7nb09ktdq3e7ev8 - Eugenol
barbabapat

12/03/2024 à 18h42

Râler sur le radiologue qui a fait la pano, où surveiller?

L5j4r08ifryshkdk6xfedk9fh3od - Eugenol
0pz48viciozx7l0ax5xmflnucdnq - Eugenol
Wypa3n6twgqyi7tfv4egrt394ql5 - Eugenol

king_zoulou

12/03/2024 à 19h42

Monaco écrivait:
------
> Update : C'est bien un améloblastome.
> Mandibulectomie sectorielle prévue avec reconstitution fibulaire ..

😢
C’est effrayant la vitesse à laquelle ça a progressé 😔


Capture d  cran 2015 03 12 12.28 - Eugenol
chicot29

12/03/2024 à 20h36

ELGY écrivait:
----
> Salut,
>
> Tu avais quoi sur la pano de début de traitement ? Et sur les panos de contrôle
> annuel ?
Panos de contrôle annuels. Tiens donc. Oublie pas ton IRM annuelle de la tête aux pieds non plus. -)

"Les radiographies panoramiques ne doivent être prises qu'en présence de signes et de symptômes cliniques spécifiques. Il n'est pas justifié d’effectuer des radiographies panoramiques à des intervalles de temps réguliers ou de façon systématique. En complément, il n’est pas justifié de réaliser une imagerie (panoramique ou autre imagerie) dans le seul but de prouver aux organismes de protection sociale (caisse primaire d’assurance maladie ou mutuelles) l’effective réalisation d’un acte."

https://www.asn.fr/l-asn-informe/actualites/principales-indications-des-radiographies-panoramiques
--
Dentiste qui en a plein le cul.


Ulysse90

12/03/2024 à 21h14

chicot29 écrivait:
--------

> Panos de contrôle annuels. Tiens donc. Oublie pas ton IRM annuelle de la tête
> aux pieds non plus. -)
>

Tu m'as pas payé mes droits d'auteur... :-)))


Rape p0as4f - Eugenol
rapelapente

12/03/2024 à 22h23

Merci Monaco pour le suivi.
C'est un beau cas.
Ça serait génial d'avoir la pano post op et à 6 mois.



--
Schooner For Ever


120 81 mdkvjo - Eugenol
Monaco

13/03/2024 à 14h54

rapelapente écrivait:
-----------
> Merci Monaco pour le suivi.
> C'est un beau cas.
> Ça serait génial d'avoir la pano post op et à 6 mois.
>
>
>
> --
> Schooner For Ever


Si je peux je vous transmettrai.


king_zoulou

13/03/2024 à 16h17

chicot29 écrivait:
--------

> Panos de contrôle annuels. Tiens donc. Oublie pas ton IRM annuelle de la tête
> aux pieds non plus. -)

Et les multiples échographies.
Comme les milliardaires quoi.




O1axgfa3wz9a4zf6qedj9s4gj223 - Eugenol
ELGY

26/03/2024 à 18h31

chicot29 écrivait:

> Panos de contrôle annuels. Tiens donc. Oublie pas ton IRM annuelle de la tête
> aux pieds non plus. -)




"Radiographies Panoramiques de contrôle:
Les clichés panoramiques de contrôle doivent s’appuyer sur des nécessités thérapeutiques justifiables. Cependant un cliché annuel est conseillé pendant le traitement actif , et le cliché terminal doit être réalisé avant la fin de la thérapeutique afin de permettre des finitions orthodontiques. Ensuite contrôles annuels si besoin ( évolution dents de sagesse par exemple )"

Ça aurait certainement évité à cette gamine de se retrouver avec un mandibulectomie sectorielle.


Avatar transparent iqadnc - Eugenol
adhoc

26/03/2024 à 19h09

Exact, Elgy, ca calmera un peu les anti panos.


Chris

26/03/2024 à 19h33

chicot29 écrivait:
--------
> ELGY écrivait:
> ----
> > Salut,
> >
> > Tu avais quoi sur la pano de début de traitement ? Et sur les panos de
> contrôle
> > annuel ?
> Panos de contrôle annuels. Tiens donc. Oublie pas ton IRM annuelle de la tête
> aux pieds non plus. -)
>
> "Les radiographies panoramiques ne doivent être prises qu'en présence de signes
> et de symptômes cliniques spécifiques. Il n'est pas justifié d’effectuer des
> radiographies panoramiques à des intervalles de temps réguliers ou de façon
> systématique. En complément, il n’est pas justifié de réaliser une imagerie
> (panoramique ou autre imagerie) dans le seul but de prouver aux organismes de
> protection sociale (caisse primaire d’assurance maladie ou mutuelles)
> l’effective réalisation d’un acte."
>
> https://www.asn.fr/l-asn-informe/actualites/principales-indications-des-radiographies-panoramiques
> --
> Dentiste qui en a plein le cul.
>

Faudrait expliquer à ces abrutis ce qu’est une lésion . La douleur n’est pas systématiquement présente , elle peut même être absente …


Avatar transparent iqadnc - Eugenol
adhoc

26/03/2024 à 19h48

Ils doivent imperativement changer ce texte alac et rendre la pano tres fortement conseillée aux visites bbd de 9 et 12 ans, et pas a ces tarifs deshonorants pour les radiologues et nous. Et ca fait longtemps qu'on le dit(.... Mais tellement prisonniers de leurs certitudes .


Avatar transparent iqadnc - Eugenol
adhoc

26/03/2024 à 20h06

Ce qui et affolant, en dehors de l'aspect medical de l'interet de la pano, c'esl l'aspect financier. Quand j'ai commence mon exercice , une pano faite par le chirurgien dentiste , c'etait un peu plus de deux coupes hommes chez le coiffeur, maintenant une pano faite par un dentistaillon, c'est meme pas une coupe faite par M. le Capilliculteur.
Le socialisme effréné, la lacheté , la veulerie et la peur des dentistes dirigeants, et le deplacement des valeurs.
20 euros pour la panoramique et l'analyse. Ca , c'est pour nos amis canadiens qui nous lisent. Un pur scandale a la francaise.


Chris

26/03/2024 à 22h42

La vérité c’est que nous sommes à la merci des patients et de la sécu.
Quoiqu’on fasse on peut être emmerdé. Si on fait une pano tous les ans , la sécu peut nous le reprocher. Et si on ne fait pas de pano et qu’on passe à côté d’une lésion, un patient peut nous emmerder ….

Nous sommes la dernière roue du carrosse. Absolument pas protégés. Et à la merci de la sécu et des patients.


Avatar transparent iqadnc - Eugenol
adhoc

27/03/2024 à 11h05

On rappelle pour les culpabilisateurs que la radio activité naturelle en France est de 630 µSv pa an et qu'une pano en moyenne c'est 12 µSv et une retro c'est 3 µSv. Qu'on arrete absolument de nous emmouscailler avec des trucs bidon; on fera toujours cela avec mesure.


Grifix-Gezucri

27/03/2024 à 11h13

adhoc écrivait:
-----
> On rappelle pour les culpabilisateurs que la radio activité naturelle en France
> est de 630 µSv pa an et qu'une pano en moyenne c'est 12 µSv et une retro c'est 3
> µSv. Qu'on arrete absolument de nous emmouscailler avec des trucs bidon; on fera
> toujours cela avec mesure.

Poutine va augmenter les doses de la radioactivité "naturelle" alors ne nous privons pas 🤣🤣🤣🤣!!!!


Et7jtaj0pdi18gzjlxjiamlx15gs - Eugenol
Prunelles

27/03/2024 à 12h07

adhoc écrivait:
-----
> On rappelle pour les culpabilisateurs que la radio activité naturelle en France est de 630 µSv pa an

Euh c'est plus de l'ordre des 3 mSv/an pour la radioactivité naturelle en France.

EDIT : Je viens de comprendre que tu parlais des rayonnements telluriques.


Avatar transparent iqadnc - Eugenol
adhoc

28/03/2024 à 09h14

Euh c'est plus de l'ordre des 3 mSv/an pour la radioactivité naturelle en France
:-)
soit 3000 µSv, par an, ce qui montre encore plus le dosage ridiculepar patient de nos radios. Le motif qu'on lit , irradiation therapeutique , est donc completement stupide. Il faudrait surtout qu'au lieu des recommandations idiotes sous le couvert reel d'economies sur notre dos cessent un petit peu. surtout que ces recommandatuions sont faites par des prats qui ont peu d'experience du terrain. Ils ne peuvent ^pas etre au four et au moulin.